PPP2R1B antibody
Quick Overview for PPP2R1B antibody (ABIN7800022)
Target
See all PPP2R1B AntibodiesReactivity
Host
Clonality
Conjugate
Application
Grade
Clone
-
-
Purpose
- KD-Validated PPP2R1B Mouse mAb
-
Purification
- Affinity Purified
-
Immunogen
- Recombinant protein of human PPP2R1B
-
Isotype
- IgG1
-
-
-
-
Application Notes
- Western Blotting (WB): 1:500-1:2,500, Flow Cytometry (FCM): 1:200-1:2,000
-
Comment
-
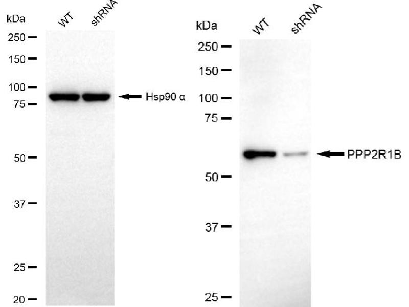
We assess the antibodies’ specificity and selectivity using knockdown techniques. Our validation approach is straightforward: if an antibody identifies a signal in wild-type (WT) cells, but this signal is absent or noticeably reduced in gene-silenced (KD) cells, we consider the antibody to be highly specific.
-
Restrictions
- For Research Use only
-
-
-
Format
- Liquid
-
Buffer
- PBS (pH 7.4) containing 50% glycerol and 0.02% sodium azide.
-
Preservative
- Sodium azide
-
Precaution of Use
- This product contains Sodium azide: a POISONOUS AND HAZARDOUS SUBSTANCE which should be handled by trained staff only.
-
Storage
- -20 °C
-
Storage Comment
- Store at -20 °C for one year.
-
Expiry Date
- 12 months
-
-
- PPP2R1B (Protein Phosphatase 2, Regulatory Subunit A, beta (PPP2R1B))
-
Alternative Name
- PPP2R1B
-
Molecular Weight
- 66 kDa
-
Gene ID
- 5519
-
UniProt
- P30154
-
Pathways
- PI3K-Akt Signaling, Mitotic G1-G1/S Phases, Hepatitis C, Toll-Like Receptors Cascades
Target
-