UCHL1 antibody
Quick Overview for UCHL1 antibody (ABIN4915017)
Target
See all UCHL1 AntibodiesReactivity
Host
Clonality
Conjugate
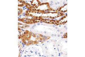
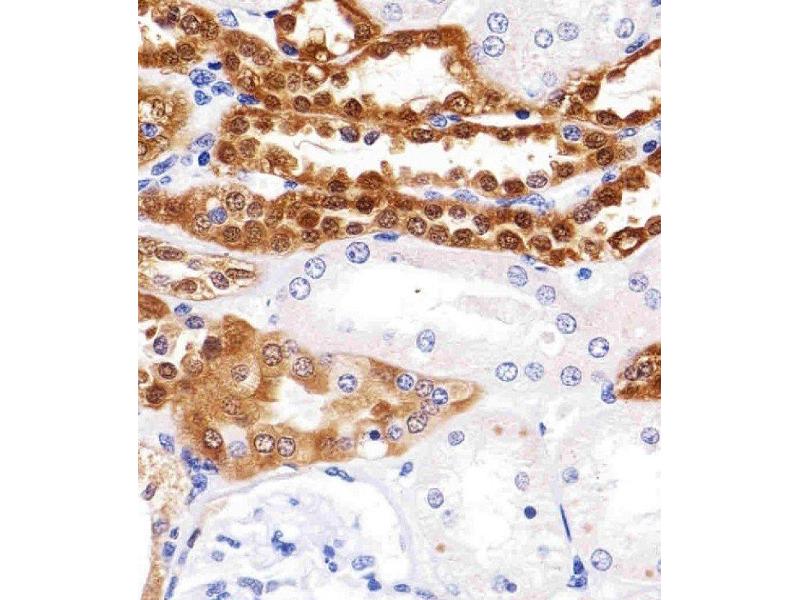
Application
Clone
-
-
Cross-Reactivity
- Human, Mouse
-
Purification
- Purified monoclonal antibody supplied in PBS with 0.09% (W/V) sodium azide. This antibody is purified through a protein G column, eluted with high and low pH buffers and neutralized immediately, followed by dialysis against PBS.
-
Immunogen
- This UCHL1 monoclonal antibody is generated from mouse immunized with UCHL1 recombinant protein.
-
Isotype
- IgG1
-
-
-
-
Application Notes
-
WB 1:300-5000
IHC-P 1:200-400
IF() -
Restrictions
- For Research Use only
-
-
-
Format
- Liquid
-
Concentration
- 0.5 μg/μL
-
Buffer
- 0.01M TBS( pH 7.4) with 1 % BSA, 0.02 % Proclin300 and 50 % Glycerol.
-
Preservative
- ProClin
-
Precaution of Use
- This product contains ProClin: a POISONOUS AND HAZARDOUS SUBSTANCE, which should be handled by trained staff only.
-
Storage
- 4 °C,-20 °C
-
Storage Comment
- Shipped at 4°C. Store at -20°C for one year. Avoid repeated freeze/thaw cycles.
-
Expiry Date
- 12 months
-
-
- UCHL1 (Ubiquitin Carboxyl-terminal Esterase L1 (Ubiquitin Thiolesterase) (UCHL1))
-
Alternative Name
- UCHL1
-
Background
-
Synonyms: NDGOA, PARK5, PGP95, PGP9.5, Uch-L1, HEL-117, PGP 9.5, HEL-S-53, Ubiquitin carboxyl-terminal hydrolase isozyme L1, Neuron cytoplasmic protein 9.5, Ubiquitin thioesterase L1, UCHL1
Background: Ubiquitin-protein hydrolase involved both in the processing of ubiquitin precursors and of ubiquitinated proteins. This enzyme is a thiol protease that recognizes and hydrolyzes a peptide bond at the C-terminal glycine of ubiquitin. Also binds to free monoubiquitin and may prevent its degradation in lysosomes. The homodimer may have ATP-independent ubiquitin ligase activity.
-
Gene ID
- 7345
-
UniProt
- P09936
-
Pathways
- Feeding Behaviour
Target
-