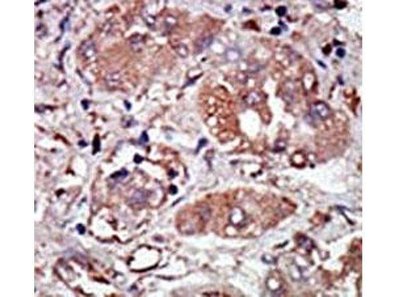
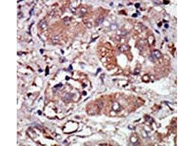
The Rabbit Polyclonal anti-EIF2AK2 antibody (ABIN3030885) specifically detects EIF2AK2 in WB, IHC and ELISA.
The antibody is reactive with Human and Mouse samples.
The stated application concentrations are suggested starting amounts. Titration of the PRKR antibody may be required due to differences in protocols and secondary/substrate sensitivity.\. Western blot: 1:1000,IHC (Paraffin): 1:50-1:100
Restrictions
For Research Use only
Format
Liquid
Buffer
In 1X PBS pH 7.4 with 0.09 % sodium azide
Preservative
Sodium azide
Precaution of Use
This product contains Sodium azide: a POISONOUS AND HAZARDOUS SUBSTANCE which should be handled by trained staff only.
Storage
-20 °C
Storage Comment
Aliquot the PRKR antibody and store frozen at -20°C or colder. Avoid repeated freeze-thaw cycles.
Interferon-induced, double-stranded RNA-activated protein kinase is a serine-threonine kinase. Activation by dsRNAs leads to autophosphorylation of PRKR and allows the kinase to phosphorylate its natural substrate, the alpha subunit of eukaryotic protein synthesis initiation factor-2 (EIF2-alpha), leading to the inhibition of protein synthesis. Human gamma-interferon (IFNG) mRNA exploits localized activation of PRKR in the cell to regulate its own translation. IFNG mRNA activates PRKR through a pseudoknot in its 5-prime untranslated region. The HCV envelope protein E2 contains a sequence identical with phosphorylation sites of the interferon-inducible protein kinase PRKR and the translation initiation factor EIF2-alpha, a target of PRKR. E2 inhibits the kinase activity of PRKR and blocks its inhibitory effect on protein synthesis and cell growth, which provides one mechanism by which HCV may circumvent the antiviral effect of interferon.