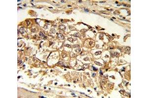
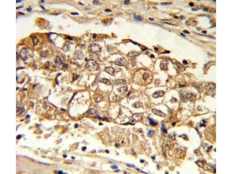
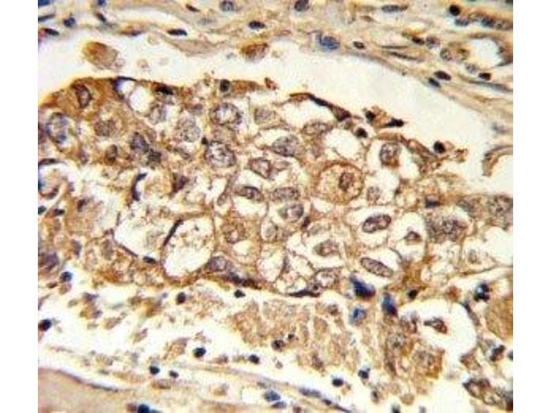
The Rabbit Polyclonal anti-MCL-1 antibody (ABIN3031299) specifically detects MCL-1 in WB, ELISA, IHC and FACS.
The antibody is reactive with Human and Mouse samples.
MCL1
Reactivity: Human
WB, IHC, ICC, IP
Host: Rabbit
Polyclonal
unconjugated
Application Notes
Titration of the MCL1 antibody may be required due to differences in protocols and secondary/substrate sensitivity.\. Western blot: 1:1000,IHC (Paraffin): 1:10-1:50,Flow Cytometry: 1:10-1:50
Restrictions
For Research Use only
Format
Liquid
Buffer
In 1X PBS, pH 7.4, with 0.09 % sodium azide
Preservative
Sodium azide
Precaution of Use
This product contains Sodium azide: a POISONOUS AND HAZARDOUS SUBSTANCE which should be handled by trained staff only.
Storage
-20 °C
Storage Comment
Aliquot the MCL1 antibody and store frozen at -20°C or colder. Avoid repeated freeze-thaw cycles.
Target
MCL-1 (MCL1)
(Induced Myeloid Leukemia Cell Differentiation Protein Mcl-1 (MCL1))
Alternative Name
MCL1
Background
The Mcl-1 protein belongs to the Bcl-2 family. Alternative splicing occurs at this locus and two transcript variants encoding distinct isoforms have been identified. The longer gene product (isoform 1) enhances cell survival by inhibiting apoptosis while the alternatively spliced shorter gene product (isoform 2) promotes apoptosis and is death-inducing.