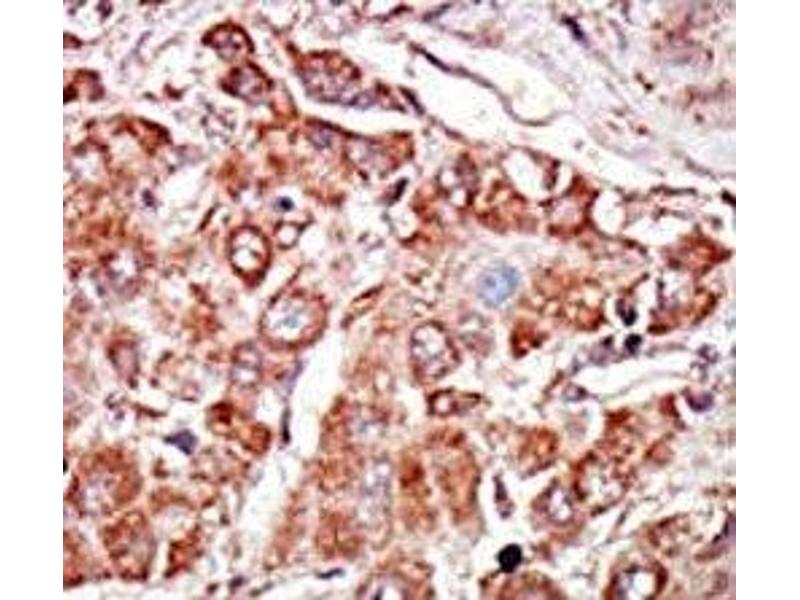
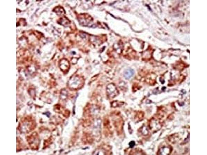
The Rabbit Polyclonal anti-EIF2AK2 antibody is suitable to detect EIF2AK2 in samples from Human and Mouse. It has been validated for WB, IHC and ELISA.
Titration of the PKR antibody may be required due to differences in protocols and secondary/substrate sensitivity.\. Western blot: 1:1000,IHC (Paraffin): 1:50-1:100
Restrictions
For Research Use only
Format
Liquid
Buffer
In 1X PBS pH 7.4 with 0.09 % sodium azide
Preservative
Sodium azide
Precaution of Use
This product contains Sodium azide: a POISONOUS AND HAZARDOUS SUBSTANCE which should be handled by trained staff only.
Storage
-20 °C
Storage Comment
Aliquot the PKR antibody and store frozen at -20°C or colder. Avoid repeated freeze-thaw cycles.
Interferon-induced, double-stranded RNA-activated protein kinase (PRKR/PKR) is a serine-threonine kinase. Activation by dsRNAs leads to autophosphorylation of PKR and allows the kinase to phosphorylate its natural substrate, the alpha subunit of eukaryotic protein synthesis initiation factor-2 (EIF2-alpha), leading to the inhibition of protein synthesis. PRKR, which is involved in TLR signaling and mediates apoptosis in fibroblasts in response to viral infection and inflammatory cytokines, activates IKK and NFKB, thereby suppressing apoptosis. Apoptosis induced by live pathogenic gram-positive and gram-negative bacteria requirs both TLR4 and PKR, possibly representing a major mechanism for pathogenic bacteria that use specific virulence factors to avoid detection and destruction by the innate immune system.