Phone:
+1 877 302 8632
Fax:
+1 888 205 9894 (Toll-free)
E-Mail:
orders@antibodies-online.com

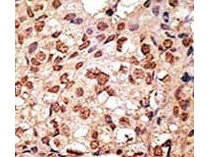
SIGLEC7 antibody (AA 1-30)

The Rabbit Polyclonal anti-SIGLEC7 antibody (ABIN3032556) specifically detects SIGLEC7 in WB, IHC and ELISA. The antibody is reactive with Human samples.
Catalog No. ABIN3032556
$612.54
Plus shipping costs $50.00
Shipping to: United States
Delivery in 2 to 4 Business Days

Quick Overview for SIGLEC7 antibody (AA 1-30) (ABIN3032556)

Target

See all SIGLEC7 Antibodies
SIGLEC7 (Sialic Acid Binding Ig-Like Lectin 7 (SIGLEC7))

Reactivity

  • 82
  • 11
  • 6
  • 3
  • 2
  • 2
  • 1
  • 1
Human

Host

  • 58
  • 24
  • 2
Rabbit

Clonality

  • 57
  • 23
  • 2
Polyclonal

Conjugate

  • 47
  • 9
  • 9
  • 4
  • 4
  • 3
  • 1
  • 1
  • 1
  • 1
  • 1
  • 1
This SIGLEC7 antibody is un-conjugated

Application

  • 58
  • 35
  • 34
  • 17
  • 13
  • 9
  • 9
  • 2
  • 2
  • 2
  • 2
  • 1
  • 1
  • 1
  • 1
  • 1
Western Blotting (WB), Immunohistochemistry (IHC), ELISA
  • Binding Specificity

    • 8
    • 8
    • 6
    • 5
    • 4
    • 3
    • 3
    • 3
    • 3
    • 2
    • 2
    • 2
    • 1
    • 1
    • 1
    • 1
    • 1
    • 1
    • 1
    • 1
    • 1
    AA 1-30

    Purification

    Antigen affinity purified

    Immunogen

    A portion of amino acids 1-30 from the human protein was used as the immunogen for this SIGLEC7 antibody.

    Isotype

    Ig Fraction
  • Application Notes

    Titration of the SIGLEC7 antibody may be required due to differences in protocols and secondary/substrate sensitivity.\. Western blot: 1:1000,IHC (Paraffin): 1:50-1:100

    Restrictions

    For Research Use only
  • Format

    Liquid

    Buffer

    In 1X PBS pH 7.4 with 0.09 % sodium azide

    Preservative

    Sodium azide

    Precaution of Use

    This product contains Sodium azide: a POISONOUS AND HAZARDOUS SUBSTANCE which should be handled by trained staff only.

    Storage

    -20 °C

    Storage Comment

    Aliquot the SIGLEC7 antibody and store frozen at -20°C or colder. Avoid repeated freeze-thaw cycles.
  • Target

    SIGLEC7 (Sialic Acid Binding Ig-Like Lectin 7 (SIGLEC7))

    Alternative Name

    SIGLEC7

    Background

    SIGLECs are cell surface proteins of the Ig superfamily. Most SIGLECs have 1 or more cytoplasmic immune receptor tyrosine-based inhibitory motifs, or ITIMs. A large subgroup of SIGLECs share high homology with SIGLEC3 (CD33) and are localized to 19q13.4. The cDNA for the SLG gene encodes 2 variants, SLG-long (SLGL) and SLG-short (SLGS). The 595-amino acid SLGL protein contains a signal peptide and 2 V-set N-terminal Ig-like domains. The 477-amino acid SLGS protein has a weak signal sequence and, like most SIGLEC3-like SIGLECs, has only 1 V-set N-terminal Ig-like domain. Both variants contain 2 C2-set N-terminal Ig-like domains, a transmembrane domain, and a cytoplasmic tail with a putative ITIM and a putative SLAM-like tyrosine-based motif. The conserved arginine residue thought to be essential for sialic acid binding in other SIGLECs is replaced by a glutamine in SLGS and by a cysteine in SLGL. RT-PCR analysis detected high expression of both variants in spleen and small intestine, and SLGS was highly expressed in adrenal gland and SLGL was highly expressed in bone marrow.

    UniProt

    Q9Y286
You are here:
Chat with us!