Phone:
+1 877 302 8632
Fax:
+1 888 205 9894 (Toll-free)
E-Mail:
orders@antibodies-online.com

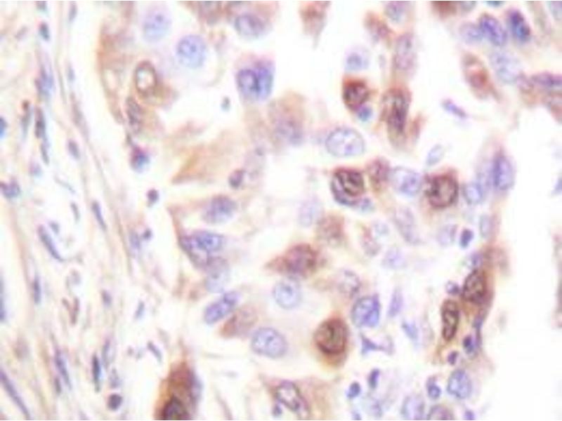
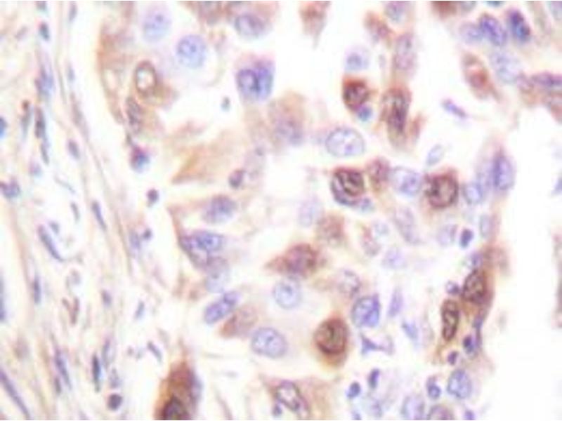
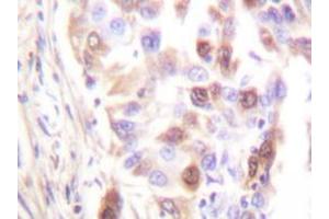
RPA2 antibody (AA 115-129)

The Rabbit Polyclonal anti-RPA2 antibody is suitable to detect RPA2 in samples from Human and Mouse. It has been validated for WB, IF and IHC (p).
Catalog No. ABIN498167
$666.00
Plus shipping costs $50.00
0.1 mg
Shipping to: United States
Delivery in 1 to 2 Business Days

Quick Overview for RPA2 antibody (AA 115-129) (ABIN498167)

Target

See all RPA2 Antibodies
RPA2 (Replication Protein A2, 32kDa (RPA2))

Reactivity

  • 148
  • 93
  • 59
  • 4
  • 4
  • 4
  • 3
  • 2
  • 2
  • 1
  • 1
Human, Mouse

Host

  • 148
  • 32
  • 2
  • 1
Rabbit

Clonality

  • 106
  • 77
Polyclonal

Conjugate

  • 92
  • 10
  • 6
  • 5
  • 5
  • 5
  • 5
  • 5
  • 5
  • 5
  • 2
  • 2
  • 2
  • 2
  • 2
  • 2
  • 2
  • 2
  • 2
  • 2
  • 2
  • 2
  • 2
  • 2
  • 2
  • 2
  • 2
  • 2
  • 2
  • 2
This RPA2 antibody is un-conjugated

Application

  • 153
  • 53
  • 44
  • 40
  • 29
  • 28
  • 26
  • 23
  • 14
  • 13
  • 6
  • 5
  • 4
  • 3
  • 3
  • 2
  • 1
Western Blotting (WB), Immunofluorescence (IF), Immunohistochemistry (Paraffin-embedded Sections) (IHC (p))
  • Binding Specificity

    • 42
    • 15
    • 8
    • 7
    • 5
    • 5
    • 4
    • 3
    • 2
    • 2
    • 2
    • 2
    • 2
    • 2
    • 2
    • 2
    • 2
    • 1
    • 1
    • 1
    • 1
    • 1
    • 1
    • 1
    • 1
    • 1
    • 1
    • 1
    • 1
    • 1
    • 1
    AA 115-129

    Specificity

    This antibody detects endogenous levels of RFA2 protein.

    Cross-Reactivity (Details)

    Species reactivity (expected):Mouse.
    Species reactivity (tested):Human.

    Purification

    Affinity chromatography using epitope-specific immunogen

    Purity

    > 95 % (by SDS-PAGE)

    Immunogen

    synthetic peptide corresponding to aa 115-129 (of 273) of yeast DNA Replication Factor A (RFA2). The RFA complex consists of a heterotrimer of RFA1, RFA2 and RFA3, 69, 36 and 13 kda chains respectively.
  • Application Notes

    Western blot: 1: 500 - 1: 1000. immunohistochemistry on paraffin sections: 1: 50 - 1: 200. Immunoflourescence: 1: 50 - 1: 200.
    Other applications not tested.
    Optimal dilutions are dependent on conditions and should be determined by the user.

    Restrictions

    For Research Use only
  • Concentration

    1.0 mg/mL

    Buffer

    Phosphate buffered saline (PBS) with 0.05 % sodium azide, approx. pH 7.2

    Preservative

    Sodium azide

    Precaution of Use

    This product contains sodium azide: a POISONOUS AND HAZARDOUS SUBSTANCE which should be handled by trained staff only.

    Handling Advice

    Avoid repeated freezing and thawing.

    Storage

    4 °C/-20 °C

    Storage Comment

    Store at 2 - 8 °C for up to one month or (in aliquots) at -20 °C for longer.
  • Target

    RPA2 (Replication Protein A2, 32kDa (RPA2))

    Alternative Name

    RPA2

    Background

    This phospho specific polyclonal antibody is specific for phosphorylated pS122 of yeast RFA2. Reactivity with non-phosphorylated yeast RFA2 is minimal by ELISA. Immunogen: synthetic peptide corresponding to aa 115-129 (of 273) of yeast DNA Replication Factor A (RFA2). The RFA complex consists of a heterotrimer of RFA1, RFA2 and RFA3, 69, 36 and 13 kda chains respectively.Synonyms: REPA2, RF-A protein 2, RFA2, RP-A p32, RP-A p34, RPA32, RPA34, Replication factor A protein 2, Replication protein A, Replication protein A 32 kDa subunit, Replication protein A 34 kDa subunit

    Molecular Weight

    approx. 32 kDa

    Gene ID

    855404

    NCBI Accession

    NP_014087

    UniProt

    P26754

    Pathways

    Telomere Maintenance, DNA Damage Repair, Mitotic G1-G1/S Phases, DNA Replication, Synthesis of DNA
You are here:
Chat with us!