Phone:
+1 877 302 8632
Fax:
+1 888 205 9894 (Toll-free)
E-Mail:
orders@antibodies-online.com

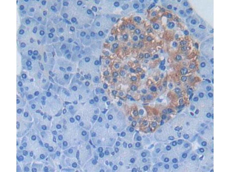
KREMEN1 antibody (AA 157-390)

This Rabbit Polyclonal antibody specifically detects KREMEN1 in WB, IHC, IP and ICC. It exhibits reactivity toward Human.
Catalog No. ABIN5013842
$245.00
Plus shipping costs $50.00
100 μL
Shipping to: United States
Delivery in 15 to 19 Business Days

Quick Overview for KREMEN1 antibody (AA 157-390) (ABIN5013842)

Target

See all KREMEN1 Antibodies
KREMEN1 (Kringle Containing Transmembrane Protein 1 (KREMEN1))

Reactivity

  • 34
  • 8
  • 6
  • 4
  • 4
  • 3
  • 3
  • 2
  • 2
  • 2
  • 1
  • 1
  • 1
  • 1
Human

Host

  • 31
  • 3
  • 2
Rabbit

Clonality

  • 32
  • 4
Polyclonal

Conjugate

  • 21
  • 3
  • 3
  • 3
  • 3
  • 3
This KREMEN1 antibody is un-conjugated

Application

  • 29
  • 25
  • 16
  • 8
  • 3
  • 1
  • 1
  • 1
  • 1
Western Blotting (WB), Immunohistochemistry (IHC), Immunoprecipitation (IP), Immunocytochemistry (ICC)
  • Binding Specificity

    • 8
    • 8
    • 7
    • 6
    • 2
    • 2
    • 2
    • 1
    • 1
    • 1
    • 1
    AA 157-390

    Purpose

    Polyclonal Antibody to Kringle Containing Transmembrane Protein 1 (KREMEN1)

    Specificity

    The antibody is a rabbit polyclonal antibody raised against KREMEN1. It has been selected for its ability to recognize KREMEN1 in immunohistochemical staining and western blotting.

    Cross-Reactivity

    Mouse, Rat

    Purification

    Antigen-specific affinity chromatography followed by Protein A affinity chromatography

    Immunogen

    RPC557Hu01Recombinant Kringle Containing Transmembrane Protein 1 (KREMEN1)

    Isotype

    IgG
  • Application Notes

    Western blotting: 0.2-2 μg/mL,1:250-2500 Immunohistochemistry: 5-20 μg/mL,1:25-100 Immunocytochemistry: 5-20 μg/mL,1:25-100 Optimal working dilutions must be determined by end user.

    Comment

    The thermal stability is described by the loss rate. The loss rate was determined by accelerated thermal degradation test, that is, incubate the protein at 37°C for 48h, and no obvious degradation and precipitation were observed. The loss rate is less than 5% within the expiration date under appropriate storage condition.

    Restrictions

    For Research Use only
  • Format

    Liquid

    Concentration

    0.5 mg/mL

    Buffer

    PBS, pH 7.4, containing 0.02 % Sodium azide, 50 % glycerol.

    Preservative

    ProClin, Sodium azide

    Storage

    4 °C,-20 °C

    Storage Comment

    Store at 4°C for frequent use. Stored at -20°C in a manual defrost freezer for two year without detectable loss of activity. Avoid repeated freeze-thaw cycles.
  • Target

    KREMEN1 (Kringle Containing Transmembrane Protein 1 (KREMEN1))

    Alternative Name

    KREMEN1

    Background

    KRM1, KREMEM1, Dickkopf receptor, Kringle-containing protein marking the eye and the nose

    Pathways

    WNT Signaling
You are here:
Chat with us!