Phone:
+1 877 302 8632
Fax:
+1 888 205 9894 (Toll-free)
E-Mail:
orders@antibodies-online.com

MED15 antibody (AA 1-285)

The Rabbit Polyclonal anti-MED15 antibody has been validated for WB, ELISA, IHC, IF, FACS and ICC. It is suitable to detect MED15 in samples from Human, Mouse and Rat.
Catalog No. ABIN5519035

Quick Overview for MED15 antibody (AA 1-285) (ABIN5519035)

Target

See all MED15 Antibodies
MED15 (Mediator Complex Subunit 15 (MED15))

Reactivity

  • 31
  • 8
  • 7
  • 2
  • 2
  • 2
  • 2
  • 2
  • 1
Human, Mouse, Rat

Host

  • 27
  • 5
  • 1
Rabbit

Clonality

  • 28
  • 5
Polyclonal

Conjugate

  • 23
  • 2
  • 1
  • 1
  • 1
  • 1
  • 1
  • 1
  • 1
  • 1
This MED15 antibody is un-conjugated

Application

  • 21
  • 14
  • 7
  • 5
  • 5
  • 3
  • 1
  • 1
  • 1
Western Blotting (WB), ELISA, Immunohistochemistry (IHC), Immunofluorescence (IF), Flow Cytometry (FACS), Immunocytochemistry (ICC)
  • Binding Specificity

    • 5
    • 4
    • 3
    • 2
    • 2
    • 2
    • 2
    • 1
    • 1
    • 1
    • 1
    • 1
    • 1
    • 1
    • 1
    AA 1-285

    Purpose

    Anti-MED15 Antibody Picoband®

    Cross-Reactivity (Details)

    No cross-reactivity with other proteins.

    Characteristics

    Anti-MED15 Antibody Picoband® (ABIN5519035). Tested in ELISA, Flow Cytometry, IF, IHC, ICC, WB applications. This antibody reacts with Human, Mouse, Rat. The brand Picoband indicates this is a premium antibody that guarantees superior quality, high affinity, and strong signals with minimal background in Western blot applications. Only our best-performing antibodies are designated as Picoband, ensuring unmatched performance.

    Purification

    Immunogen affinity purified.

    Immunogen

    E. coli-derived human MED15 recombinant protein (Position: M1-A285).

    Isotype

    IgG
  • Application Notes

    Western blot, 0.1-0.5 μg/mL, Human
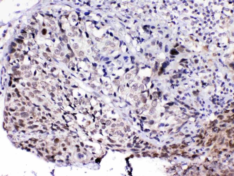
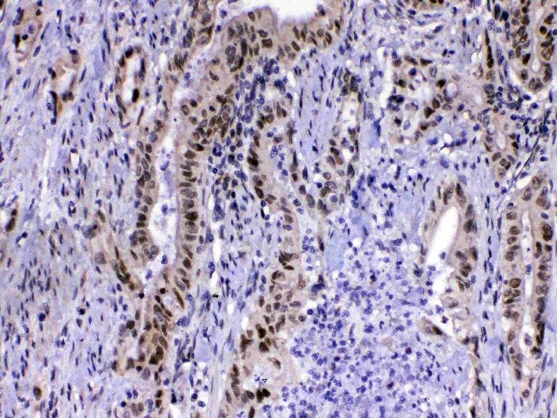
    Immunohistochemistry (Paraffin-embedded Section), 0.5-1 μg/mL, Human, Mouse, Rat
    Immunocytochemistry/Immunofluorescence, 2 μg/mL, Human
    Flow Cytometry (Fixed), 1-3 μg/1x106 cells, Human
    ELISA, 0.1-0.5 μg/mL, -
    1. Fassler JS, Winston F (Dec 1989). "The Saccharomyces cerevisiae SPT13/GAL11 gene has both positive and negative regulatory roles in transcription". Molecular and Cellular Biology. 9 (12): 5602-9. 2. Suzuki Y, Nogi Y, Abe A, Fukasawa T (Nov 1988). "GAL11 protein, an auxiliary transcription activator for genes encoding galactose-metabolizing enzymes in Saccharomyces cerevisiae". Molecular and Cellular Biology. 8 (11): 4991-9.

    Comment

    We recommend Enhanced Chemiluminescent Kit with anti-Rabbit IgG (ABIN921124) for Western blot, and HRP Conjugated anti-Rabbit IgG Super Vision Assay Kit (SV0002-1) for IHC(P).

    Restrictions

    For Research Use only
  • Format

    Lyophilized

    Reconstitution

    Add 0.2 mL of distilled water will yield a concentration of 500 μg/mL.

    Concentration

    500 μg/mL

    Buffer

    Each vial contains 4 mg Trehalose, 0.9 mg NaCl, 0.2 mg Na2HPO4, 0.05 mg Sodium azide.

    Preservative

    Sodium azide

    Precaution of Use

    This product contains Sodium azide: a POISONOUS AND HAZARDOUS SUBSTANCE which should be handled by trained staff only.

    Storage

    4 °C,-20 °C

    Storage Comment

    Store at -20°C for one year from date of receipt. After reconstitution, at 4°C for one month.
    It can also be aliquotted and stored frozen at -20°C for six months. Avoid repeated freeze-thaw cycles.
  • Target

    MED15 (Mediator Complex Subunit 15 (MED15))

    Alternative Name

    MED15

    Background

    Synonyms: Mediator of RNA polymerase II transcription subunit 15, Activator-recruited cofactor 105 kDa component, ARC105, CTG repeat protein 7a, Mediator complex subunit 15, Positive cofactor 2 glutamine/Q-rich-associated protein, PC2 glutamine/Q-rich-associated protein, TPA-inducible gene 1 protein, TIG-1, Trinucleotide repeat-containing gene 7 protein, MED15, ARC105, CTG7A, PCQAP, TIG1, TNRC7,

    Tissue Specificity: Expressed in all tissues examined, including heart, brain, lung, spleen, thymus, pancreas, blood leukocyte and placenta. However, the level of expression varied, with highest expression in the placenta and peripheral blood and lowest in the pancreas and kidney.

    Background: Mediator of RNA polymerase II transcription subunit 15, also known as Gal11, Spt13 in yeast and PCQAP, ARC105, or TIG-1 in humans is a protein encoded by the MED15 gene. The protein encoded by this gene is a subunit of the multiprotein complexes PC2 and ARC/DRIP and may function as a transcriptional coactivator in RNA polymerase II transcription. This gene contains stretches of trinucleotide repeats and is located in the chromosome 22 region which is deleted in DiGeorge syndrome.

    Molecular Weight

    97 kDa

    Gene ID

    51586

    Pathways

    Stem Cell Maintenance, Regulation of Lipid Metabolism by PPARalpha
You are here:
Chat with us!