Phone:
+1 877 302 8632
Fax:
+1 888 205 9894 (Toll-free)
E-Mail:
orders@antibodies-online.com

MICU1 antibody (AA 113-126)

The Goat Polyclonal anti-MICU1 antibody is suitable to detect MICU1 in samples from Human. It has been validated for WB, ELISA and IHC.
Catalog No. ABIN5539809
$488.25
Plus shipping costs $50.00
100 μg
Shipping to: United States
Delivery in 1 to 3 Business Days

Quick Overview for MICU1 antibody (AA 113-126) (ABIN5539809)

Target

See all MICU1 Antibodies
MICU1 (Mitochondrial Calcium Uptake 1 (MICU1))

Reactivity

  • 33
  • 10
  • 9
  • 2
  • 2
  • 2
  • 2
  • 2
  • 1
  • 1
  • 1
  • 1
Human

Host

  • 26
  • 8
Goat

Clonality

  • 27
  • 7
Polyclonal

Conjugate

  • 17
  • 3
  • 3
  • 3
  • 1
  • 1
  • 1
  • 1
  • 1
  • 1
  • 1
  • 1
This MICU1 antibody is un-conjugated

Application

  • 23
  • 13
  • 4
  • 4
  • 2
  • 2
  • 1
Western Blotting (WB), ELISA, Immunohistochemistry (IHC)

Grade

Verified
  • Binding Specificity

    • 7
    • 5
    • 3
    • 3
    • 2
    • 2
    • 1
    • 1
    • 1
    • 1
    • 1
    AA 113-126

    Purpose

    CBARA1 (aa113-126)

    Sequence

    EYENRIRAYS TPDK

    Specificity

    This antibody is expected to recognize reported isoforms 1 and 2 (NP_006068.2, NP_001182447.1).

    Cross-Reactivity

    Cow, Dog, Human, Mouse, Pig, Rat

    Purification

    Purified from goat serum by ammonium sulphate precipitation followed by antigen affinity chromatography using the immunizing peptide.

    Isotype

    IgG
  • Application Notes

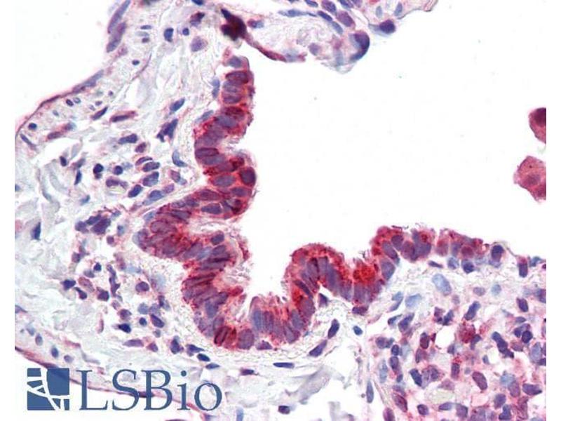
    Immunohistochemistry: Paraffin embedded Human Lung. Recommended concentration: 3.75 μg/mL.

    Western Blot: Approx 55 kDa band observed in lysates of cell line K562 (calculated MW of 54.6 kDa according to NP_006068.2). Recommended concentration: 0.5-2 μg/mL. An additional band of unknown identity was also consistently observed at 37 kDa. This band wa

    Peptide ELISA: antibody detection limit dilution 1:32000.

    Restrictions

    For Research Use only
  • Format

    Liquid

    Concentration

    0.5 mg/mL

    Buffer

    Supplied at 0.5 mg/mL in Tris saline, 0.02 % sodium azide, pH 7.3 with 0.5 % bovine serum albumin.

    Preservative

    Sodium azide

    Precaution of Use

    This product contains Sodium azide: a POISONOUS AND HAZARDOUS SUBSTANCE which should be handled by trained staff only.

    Handling Advice

    Minimize freezing and thawing.

    Storage

    -20 °C

    Storage Comment

    Aliquot and store at -20°C, with minimal freeze/thawing. A working aliquot may be refrigerated at 4°C for a few weeks and still remain viable.
  • Target

    MICU1 (Mitochondrial Calcium Uptake 1 (MICU1))

    Alternative Name

    MICU1

    Background

    CBARA1, calcium binding atopy-related autoantigen 1, CALC, DKFZp564C246, EFHA3, FLJ12684, OTTHUMP00000019787, ara CALC, atopy related autoantigen, atopy-related autoantigen CALC, calcium-binding atopy-related autoantigen 1

    Gene ID

    10367, 216001, 365567

    NCBI Accession

    NP_006068, NP_001182447
You are here:
Chat with us!