Phone:
+1 877 302 8632
Fax:
+1 888 205 9894 (Toll-free)
E-Mail:
orders@antibodies-online.com

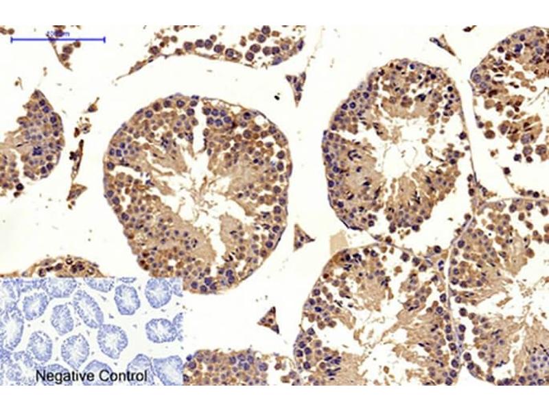
MICU1 antibody

The Mouse Monoclonal anti-MICU1 antibody (ABIN7206382) specifically detects MICU1 in WB, IHC and IF. The antibody is reactive with Human, Rat and Mouse samples.
Catalog No. ABIN7206382
$367.10
Plus shipping costs $50.00
100 μL
Shipping to: United States
Delivery in 12 to 16 Business Days

Quick Overview for MICU1 antibody (ABIN7206382)

Target

See all MICU1 Antibodies
MICU1 (Mitochondrial Calcium Uptake 1 (MICU1))

Reactivity

  • 33
  • 9
  • 8
  • 2
  • 2
  • 2
  • 2
  • 2
  • 1
  • 1
  • 1
  • 1
Human, Rat, Mouse

Host

  • 26
  • 7
  • 1
Mouse

Clonality

  • 28
  • 6
Monoclonal

Conjugate

  • 17
  • 3
  • 3
  • 3
  • 1
  • 1
  • 1
  • 1
  • 1
  • 1
  • 1
  • 1
This MICU1 antibody is un-conjugated

Application

  • 23
  • 14
  • 5
  • 3
  • 2
  • 1
  • 1
Western Blotting (WB), Immunohistochemistry (IHC), Immunofluorescence (IF)
  • Purpose

    Mouse Anti-MICU1 Monoclonal Antibody

    Specificity

    The antibody detects endogenous MICU1 protein.

    Purification

    The antibody was affinity-purified from mouse ascites by affinity-chromatography using epitope-specific immunogen.

    Immunogen

    Recombinant Protein

    Isotype

    IgG1
  • Application Notes

    Optimal working dilutions should be determined experimentally by the investigator. Suggested starting dilutions are as follows: WB 1:1000-2000,IHC 1:100-200,IF 1:200

    Restrictions

    For Research Use only
  • Format

    Liquid

    Concentration

    1 mg/mL

    Buffer

    PBS, pH 7.4, containing 0.5 % BSA, 0.02 % sodium azide as Preservative and 50 % Glycerol.

    Preservative

    Sodium azide

    Precaution of Use

    This product contains Sodium azide: a POISONOUS AND HAZARDOUS SUBSTANCE which should be handled by trained staff only.

    Storage

    -20 °C

    Storage Comment

    Stable for one year at -20°C from date of shipment. For maximum recovery of product, centrifuge the original vial after thawing and prior to removing the cap. Aliquot to avoid repeated freezing and thawing.

    Expiry Date

    12 months
  • Target

    MICU1 (Mitochondrial Calcium Uptake 1 (MICU1))

    Alternative Name

    MICU1

    Background

    Most PKMT substrates are histone proteins and transcription factors, emphasizing the importance of lysine methylation in regulating chromatin structure and gene expression. Lys9 of histone H3 is mono- or di-methylated by G9A/GLP and tri-methylated by SETDB1 to activate transcription. JHDM3A-mediated demethylation of the same residue creates mono-methyl Lys9 and inhibits gene transcription . Tumor suppressor p53 is regulated by methylation of at least four sites. p53-mediated transcription is repressed following mono-methylation of p53 at Lys370 by SMYD2, di-methylation at the same residue further inhibits p53 by preventing association with 53BP1. Concomitant di-methylation at Lys382 inhibits p53 ubiquitination following DNA damage. Mono-methylation at Lys382 by SET8 suppresses p53 transcriptional activity, while SET7/9 mono-methylation at Lys372 inhibits SMYD2 methylation at Lys370 and stabilizes the p53 protein. Di-methylation at Lys373 by G9A/GLP inhibits p53-mediated apoptosis and correlates with tri-methylation of histone H3 Lys9 at the p21 promoter . Overexpression of PKMTs is associated with multiple forms of human cancer, which has generated tremendous interest in targeting protein lysine methyltransferases in drug discovery research.

    Molecular Weight

    55kD

    Gene ID

    10367

    UniProt

    Q9BPX6
You are here:
Chat with us!