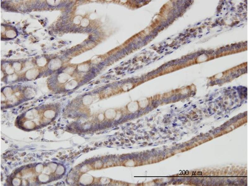
This Mouse Monoclonal antibody specifically detects TIMM9 in ELISA, WB and IHC (p). It exhibits reactivity toward Human.It has been mentioned in 1 publication
Optimal working dilution should be determined by the investigator.
Restrictions
For Research Use only
Buffer
In 1x PBS, pH 7.4
Handling Advice
Aliquot to avoid repeated freezing and thawing.
Storage
-20 °C
Storage Comment
Store at -20°C or lower. Aliquot to avoid repeated freezing and thawing.
Lin, Fang, Sun, Hseu, Uen, Lin, Lin: "High expression of mitochondrial intermembrane chaperone TIMM9 represents a negative prognostic marker in gastric cancer." in: Journal of the Formosan Medical Association = Taiwan yi zhi, Vol. 116, Issue 6, pp. 476-483, (2016) (PubMed).
Target
TIMM9
(Translocase of Inner Mitochondrial Membrane 9 (TIMM9))
Alternative Name
TIMM9
Background
Full Gene Name: translocase of inner mitochondrial membrane 9 homolog (yeast) Synonyms: TIM9,TIM9A