HSPD1 antibody
Quick Overview for HSPD1 antibody (ABIN5707621)
Target
See all HSPD1 AntibodiesReactivity
Host
Clonality
Conjugate
Application
Clone
-
-
Purification
- Purified
-
Purity
- Protein A affinity chromatography
-
Immunogen
- Recombinant human protein was used as the immunogen for the recombinant HSP60 antibody.
-
Isotype
- IgG kappa
-
-
-
-
Application Notes
-
Optimal dilution of the recombinant HSP60 antibody should be determined by the researcher.
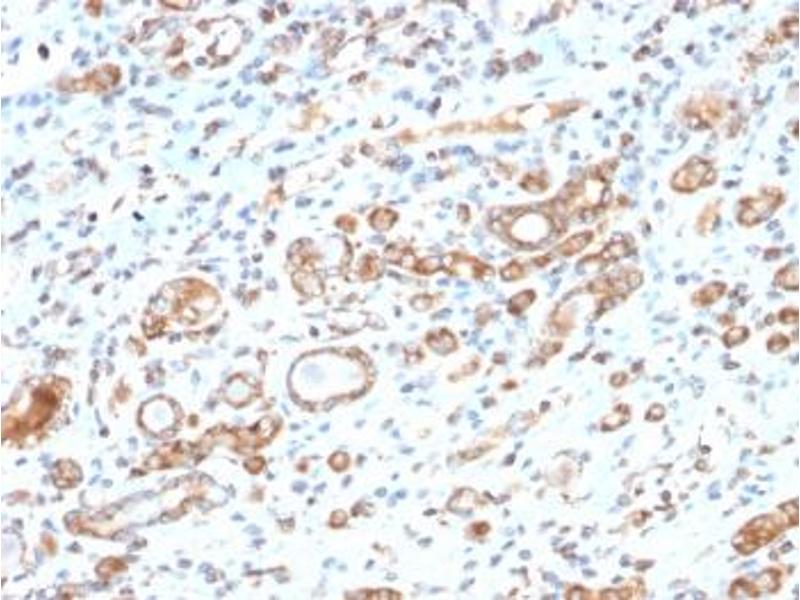
1. The prediluted format is supplied in a dropper bottle and is optimized for use in IHC. After epitope retrieval step (if required), drip mAb solution onto the tissue section and incubate at RT for 30 min.\. Immunohistochemistry (FFPE): 0.5-1 μg/mL for 30 min at RT,Prediluted IHC only format: incubate for 30 min at RT (1) -
Restrictions
- For Research Use only
-
-
-
Buffer
- 1 mg/mL in 1X PBS, BSA free, sodium azide free
-
Preservative
- Azide free
-
Storage
- 4 °C,-20 °C
-
Storage Comment
- Store the recombinant HSP60 antibody at 2-8oC (with azide) or aliquot and store at -20oC or colder (without azide).
-
-
- HSPD1 (Heat Shock 60kDa Protein 1 (Chaperonin) (HSPD1))
-
Alternative Name
- HSP60
-
Background
- HSP60 has been implicated in mitochondrial protein import and macromolecular assembly. May facilitate the correct folding of imported proteins. May also prevent misfolding and promote the refolding and proper assembly of unfolded polypeptides generated under stress conditions in the mitochondrial matrix. [UniProt]
-
Pathways
- Activation of Innate immune Response, Regulation of Leukocyte Mediated Immunity, Positive Regulation of Immune Effector Process, Production of Molecular Mediator of Immune Response, Positive Regulation of Endopeptidase Activity
Target
-