IGF1 antibody (Internal Region)
Quick Overview for IGF1 antibody (Internal Region) (ABIN571240)
Target
See all IGF1 AntibodiesReactivity
Host
Clonality
Conjugate
Application
Grade
-
-
Binding Specificity
- Internal Region
-
Purpose
- IGF1
-
Sequence
- RSVRAQRHTD
-
Specificity
- This antibody is expected to recognize all reported isoforms (NP_001104753.1, NP_001104754.1, NP_001104755.1, NP_000609.1).
-
Cross-Reactivity
- Cow, Dog, Human, Mouse, Pig, Rat
-
Purification
- Purified from goat serum by ammonium sulphate precipitation followed by antigen affinity chromatography using the immunizing peptide.
-
Immunogen
- C-RSVRAQRHTD
-
Isotype
- IgG
-
-
-
-
Application Notes
-
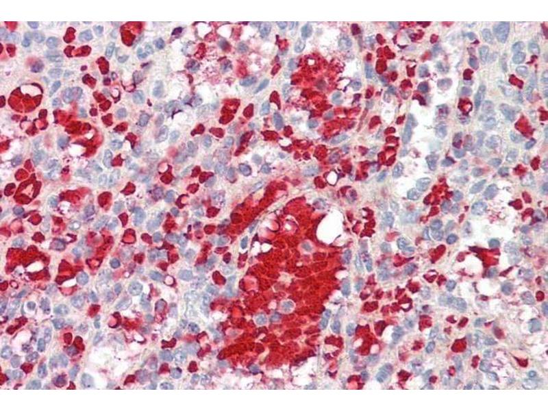
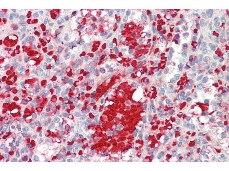
Immunohistochemistry: Paraffin embedded Human Spleen. Recommended concentration: 3.75 μg/mL.
Western Blot: Approx 15 kDa band observed in Human Uterus lysates (calculated MW of 15.2 kDa according to NP_001104754.1). Recommended concentration 0.5-2 μg/mL. Primary incubation 1 hour at room temperature. Negative Control: HepG2 cell
Peptide ELISA: antibody detection limit dilution 1:32000.
-
Comment
-
Immunofluorescence: Strong expression of the protein seen in the cytoplasm of HEK293 cells. Recommended concentration: 10μg/ml.
Flow Cytometry: Flow cytometric analysis of A549 cells. Recommended concentration: 10ug/ml
-
Restrictions
- For Research Use only
-
-
-
Format
- Liquid
-
Concentration
- 0.5 mg/mL
-
Buffer
- Supplied at 0.5 mg/mL in Tris saline, 0.02 % sodium azide, pH 7.3 with 0.5 % bovine serum albumin.
-
Preservative
- Sodium azide
-
Precaution of Use
- This product contains Sodium azide: a POISONOUS AND HAZARDOUS SUBSTANCE which should be handled by trained staff only.
-
Handling Advice
- Minimize freezing and thawing.
-
Storage
- -20 °C
-
Storage Comment
- Aliquot and store at -20°C, with minimal freeze/thawing. A working aliquot may be refrigerated at 4°C for a few weeks and still remain viable.
-
-
- IGF1 (Insulin-Like Growth Factor 1 (IGF1))
-
Alternative Name
- IGF1
-
Background
- IGF1, insulin-like growth factor 1 (somatomedin C), IGF1A, IGFI, OTTHUMP00000195084, insulin-like growth factor 1
-
Gene ID
- 3479, 16000, 24482
-
NCBI Accession
- NP_001104753, NP_001104754, NP_001104755, NP_000609
-
Pathways
- RTK Signaling, Intracellular Steroid Hormone Receptor Signaling Pathway, Peptide Hormone Metabolism, Hormone Activity, Regulation of Intracellular Steroid Hormone Receptor Signaling, Regulation of Hormone Metabolic Process, Regulation of Hormone Biosynthetic Process, Stem Cell Maintenance, Glycosaminoglycan Metabolic Process, Regulation of Carbohydrate Metabolic Process, Autophagy, Smooth Muscle Cell Migration, Activated T Cell Proliferation, Positive Regulation of fat Cell Differentiation
Target
-