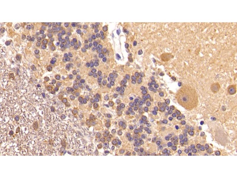
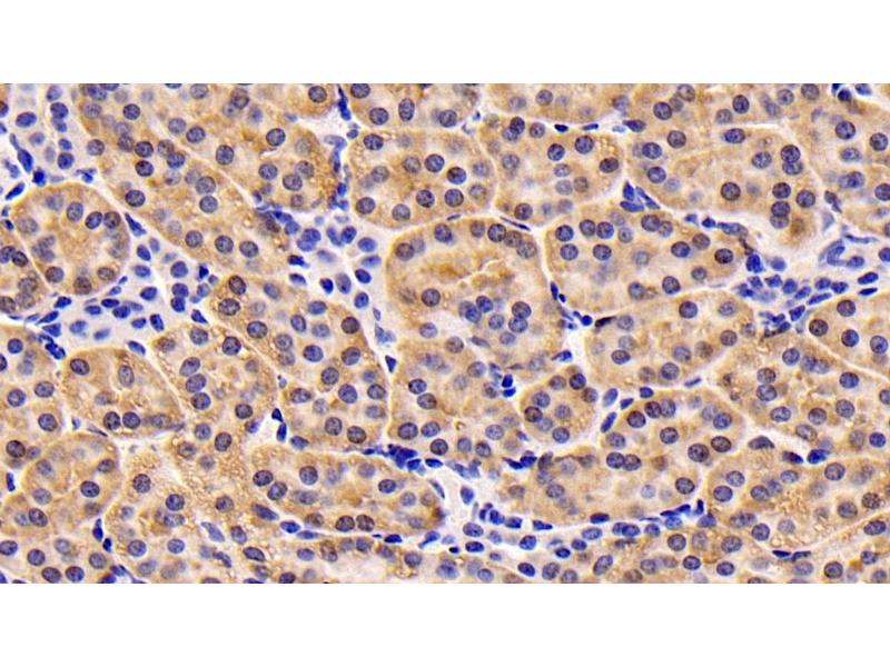
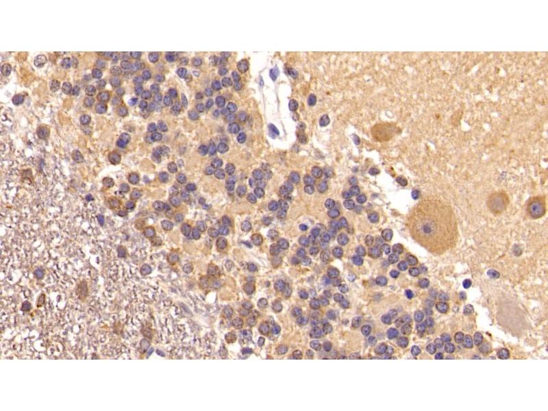
IGF1 antibody (AA 49-118)
Quick Overview for IGF1 antibody (AA 49-118) (ABIN7427897)
Target
See all IGF1 AntibodiesReactivity
Host
Clonality
Conjugate
Application
Clone
-
-
Binding Specificity
- AA 49-118
-
Purpose
- Monoclonal Antibody to Insulin Like Growth Factor 1 (IGF1)
-
Specificity
- The antibody is a mouse monoclonal antibody raised against IGF1. It has been selected for its ability to recognize IGF1 in immunohistochemical staining and western blotting.
-
Cross-Reactivity
- Pig
-
Purification
- Protein A + Protein G affinity chromatography
-
Immunogen
- Recombinant Insulin Like Growth Factor 1 (IGF1) corresdonding to Gly49~Ala118 with N-terminal His and GST Tag
-
Isotype
- IgG2b kappa
-
-
-
-
Application Notes
- Western blotting: 0.5-6 μg/mL,Immunohistochemistry: 5-20 μg/mL,Immunocytochemistry: 5-20 μg/mL,Optimal working dilutions must be determined by end user.
-
Comment
-
The thermal stability is described by the loss rate. The loss rate was determined by accelerated thermal degradation test, that is, incubate the protein at 37°C for 48h, and no obvious degradation and precipitation were observed. The loss rate is less than 5% within the expiration date under appropriate storage condition.
-
Restrictions
- For Research Use only
-
-
-
Format
- Liquid
-
Concentration
- 1 mg/mL
-
Buffer
- 0.01M PBS, pH 7.4, containing 0.05 % Proclin-300, 50 % glycerol.
-
Preservative
- ProClin
-
Precaution of Use
- This product contains ProClin: a POISONOUS AND HAZARDOUS SUBSTANCE which should be handled by trained staff only.
-
Storage
- 4 °C,-20 °C
-
Storage Comment
- Store at 4°C for frequent use. Stored at -20°C in a manual defrost freezer for two year without detectable loss of activity. Avoid repeated freeze-thaw cycles.
-
Expiry Date
- 24 months
-
-
- IGF1 (Insulin-Like Growth Factor 1 (IGF1))
-
Alternative Name
- IGF1
-
Background
- IGFI, IGF1A, IBP1, MGF, Somatomedin C, Mechano Growth Gactor
-
UniProt
- P05019
-
Pathways
- RTK Signaling, Intracellular Steroid Hormone Receptor Signaling Pathway, Peptide Hormone Metabolism, Hormone Activity, Regulation of Intracellular Steroid Hormone Receptor Signaling, Regulation of Hormone Metabolic Process, Regulation of Hormone Biosynthetic Process, Stem Cell Maintenance, Glycosaminoglycan Metabolic Process, Regulation of Carbohydrate Metabolic Process, Autophagy, Smooth Muscle Cell Migration, Activated T Cell Proliferation, Positive Regulation of fat Cell Differentiation
Target
-