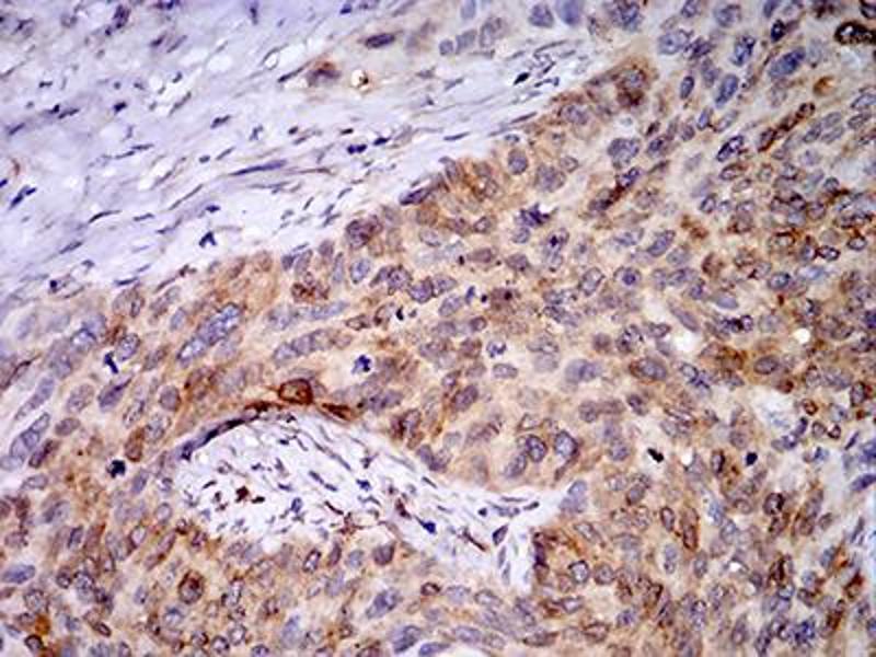
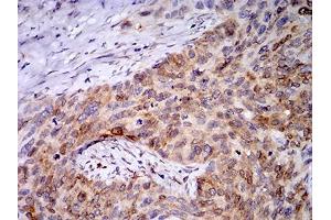
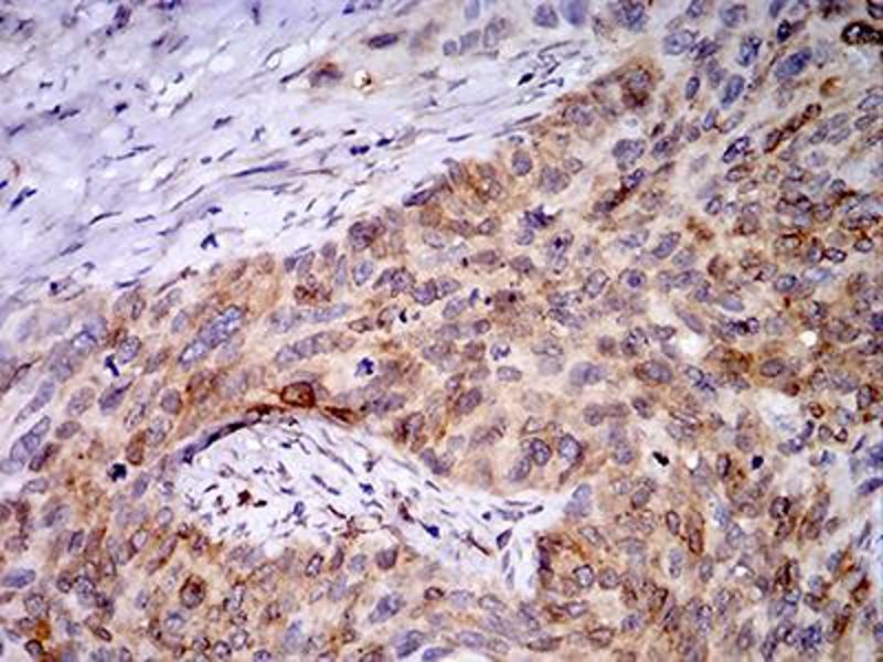
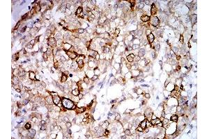
PGRMC1 antibody (AA 1-195)
Quick Overview for PGRMC1 antibody (AA 1-195) (ABIN5873919)
Target
See all PGRMC1 AntibodiesReactivity
Host
Clonality
Conjugate
Application
-
-
Binding Specificity
- AA 1-195
-
Characteristics
- Isotype: Mouse IgG1
-
Immunogen
- Purified recombinant fragment of human PGRMC1 (AA: 1-195) expressed in E. Coli.
-
Isotype
- IgG1
-
-
-
-
Restrictions
- For Research Use only
-
-
-
Format
- Liquid
-
Buffer
- Purified antibody in PBS with 0.05 % sodium azide.
-
Preservative
- Sodium azide
-
Precaution of Use
- This product contains Sodium azide: a POISONOUS AND HAZARDOUS SUBSTANCE which should be handled by trained staff only.
-
Storage
- -20 °C
-
Storage Comment
- Aliquot and store at -20 °C. Avoid repeated freeze/thaw cycles.
-
-
- PGRMC1 (Progesterone Receptor Membrane Component 1 (PGRMC1))
-
Alternative Name
- PGRMC1
-
Molecular Weight
- 21.7 kDa
-
Gene ID
- 10857
-
UniProt
- O00264
Target
-