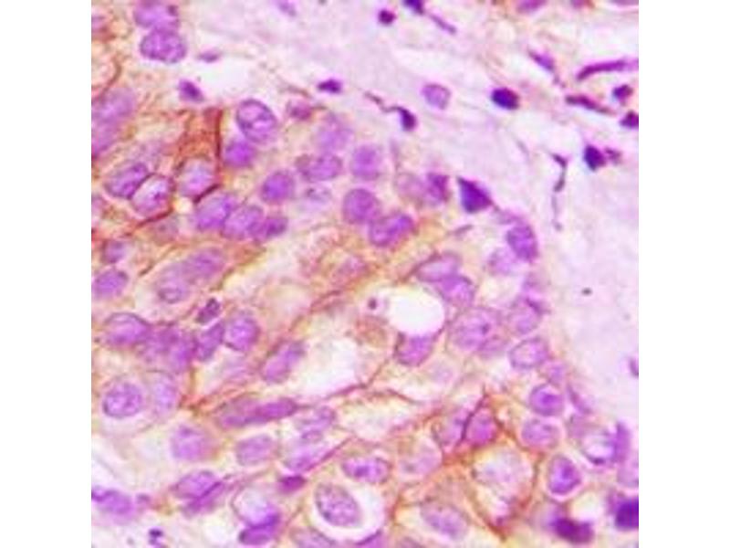
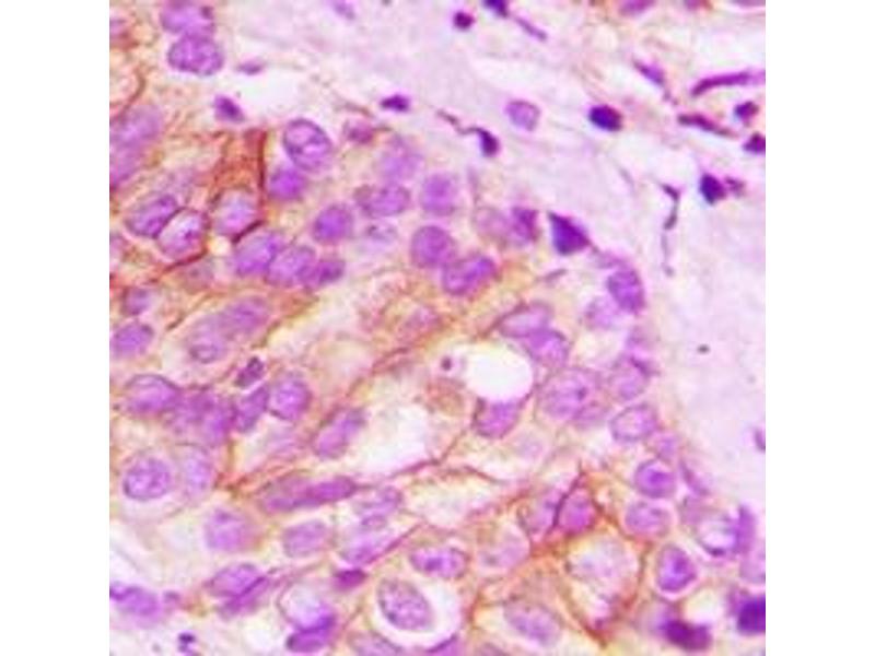
TAPBP antibody (full length)
Quick Overview for TAPBP antibody (full length) (ABIN6006160)
Target
See all TAPBP AntibodiesReactivity
Host
Clonality
Conjugate
Application
-
-
Binding Specificity
- full length
-
Purification
- Affinity Chromatography
-
Immunogen
- Recombinant full length protein of human Tapasin.
-
Isotype
- IgG
-
-
-
-
Application Notes
- Optimal working dilution should be determined by the investigator.
-
Restrictions
- For Research Use only
-
-
-
Format
- Liquid
-
Buffer
- 0.42 % Potassium phosphate, 0.87 % Sodium chloride, pH 7.3, 30 % glycerol, and 0.01 % sodium azide.
-
Preservative
- Sodium azide
-
Precaution of Use
- This product contains Sodium azide: a POISONOUS AND HAZARDOUS SUBSTANCE which should be handled by trained staff only.
-
Storage
- -20 °C
-
Storage Comment
- Aliquot and store at -20°C for one year. Avoid freeze/thaw cycles.
-
-
- TAPBP (TAP Binding Protein (Tapasin) (TAPBP))
-
Alternative Name
- Tapasin
-
Gene ID
- 6892, 21356
-
UniProt
- O15533
Target
-