PYCARD antibody (AA 31-46)
Quick Overview for PYCARD antibody (AA 31-46) (ABIN604911)
Target
See all PYCARD AntibodiesReactivity
Host
Clonality
Conjugate
Application
-
-
Binding Specificity
- AA 31-46
-
Specificity
- A mixture of synthetic peptides corresponding to amino acid residues 31-46 and 94-110 of human TMS1.
-
Purification
- Protein G purified
-
Immunogen
-
A mixture of synthetic peptides corresponding to amino acid residues 31-46 and 94-110 of human TMS1.
Type of Immunogen: Synthetic peptide -
Isotype
- IgG
-
-
-
-
Application Notes
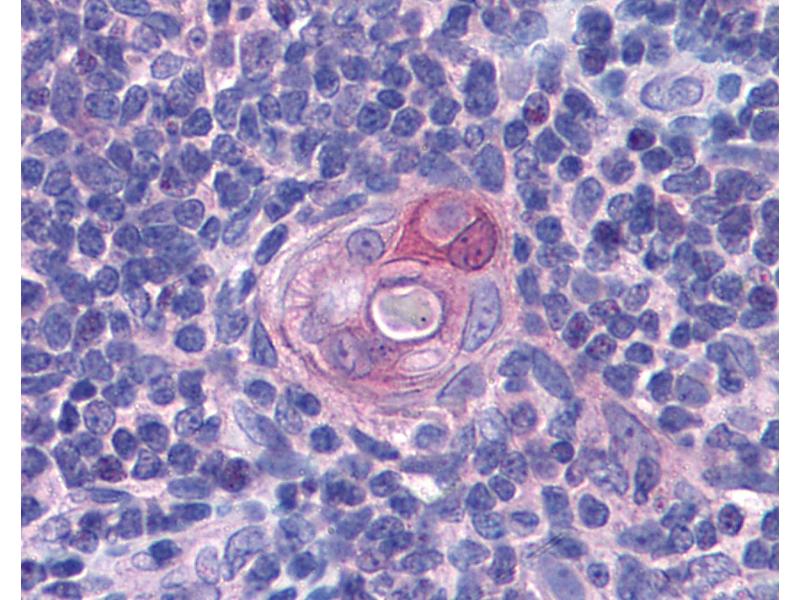
- Approved: IHC, IHC-P (10 μg/mL), WB (1 - 2 μg/mL)
-
Comment
-
Target Species of Antibody: Human
-
Restrictions
- For Research Use only
-
-
-
Format
- Liquid
-
Concentration
- Lot specific
-
Buffer
- 0.02 % sodium azide.
-
Preservative
- Sodium azide
-
Precaution of Use
- This product contains Sodium azide: a POISONOUS AND HAZARDOUS SUBSTANCE which should be handled by trained staff only.
-
Handling Advice
- avoid freeze thaw cycles.
-
Storage
- 4 °C,-20 °C
-
Storage Comment
- Short term 4°C, long term aliquot and store at -20°C, avoid freeze-thaw cycles.
-
-
- PYCARD (PYD and CARD Domain Containing (PYCARD))
-
Alternative Name
- PYCARD / ASC
-
Background
-
Name/Gene ID: PYCARD
Family: Apoptosis
Synonyms: PYCARD, CARD5, HASC, ASC, TMS, TMS-1, PYD and CARD domain containing, TMS1 -
Gene ID
- 29108
-
UniProt
- Q9ULZ3
-
Pathways
- Activation of Innate immune Response, Cellular Response to Molecule of Bacterial Origin, Regulation of Actin Filament Polymerization, Positive Regulation of Endopeptidase Activity, Activated T Cell Proliferation, Inflammasome
Target
-