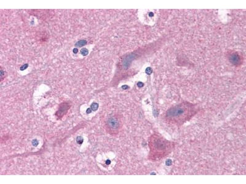
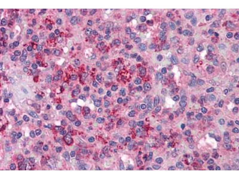
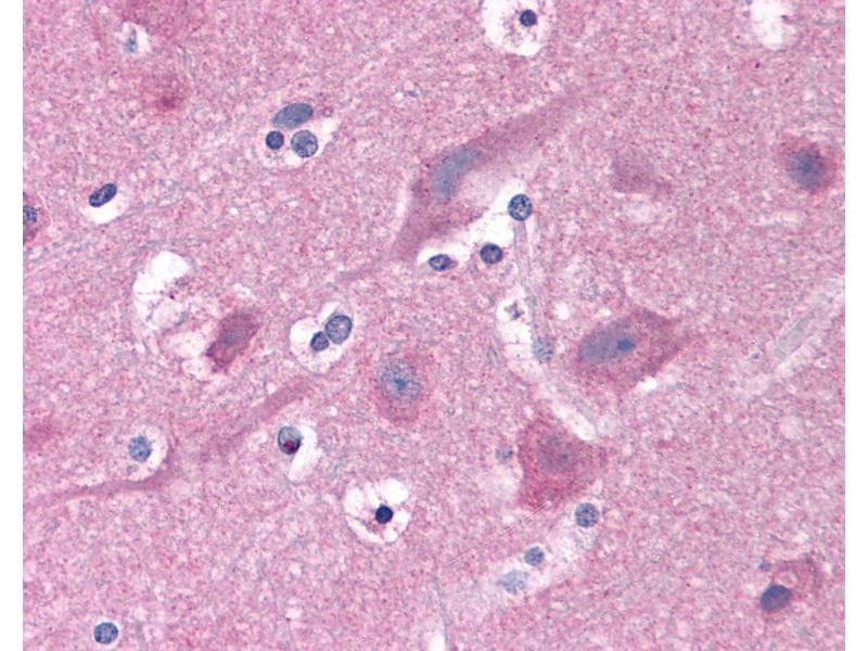
PAK1 antibody (AA 245-490)
Quick Overview for PAK1 antibody (AA 245-490) (ABIN604938)
Target
See all PAK1 AntibodiesReactivity
Host
Clonality
Conjugate
Application
-
-
Binding Specificity
- AA 245-490
-
Specificity
- Human PAK1. Predicted cross-reactivity based on amino acid sequence homology: mouse (100 % ), rat (100 %), bovine (100 %), zebrafish (98 %).
-
Purification
- Immunoaffinity purified
-
Immunogen
-
Recombinant protein fragment containing a sequence corresponding to a region within amino acids 245 and 490 of Human PAK1.
Type of Immunogen: Recombinant protein
-
-
-
-
Application Notes
- Approved: IHC, IHC-P (10 μg/mL), WB (1:500 - 1:3000)
-
Comment
-
Target Species of Antibody: Human
-
Restrictions
- For Research Use only
-
-
-
Format
- Liquid
-
Concentration
- Lot specific
-
Buffer
- 0.1 M Tris-glycine, pH 7, 10 % Glycerol, 0.01 % Thimerosal
-
Preservative
- Thimerosal (Merthiolate)
-
Precaution of Use
- This product contains Thimerosal (Merthiolate): a POISONOUS AND HAZARDOUS SUBSTANCE which should be handled by trained staff only.
-
Handling Advice
- Minimize freezing and thawing.
-
Storage
- -20 °C
-
Storage Comment
- Aliquot and store at -20°C. Avoid freeze-thaw cycles.
-
-
- PAK1 (P21-Activated Kinase 1 (PAK1))
-
Alternative Name
- PAK1
-
Background
-
Name/Gene ID: PAK1
Subfamily: PAK (STE20)
Family: Protein Kinase
Synonyms: PAK1, Alpha-PAK, p21-activated kinase 1, p65-PAK, Rac/p21-activated kinase, STE20 homolog, yeast, PAKalpha, PAK-1 -
Gene ID
- 5058
-
UniProt
- Q13153
-
Pathways
- MAPK Signaling, RTK Signaling, TCR Signaling, Fc-epsilon Receptor Signaling Pathway, Intracellular Steroid Hormone Receptor Signaling Pathway, Regulation of Intracellular Steroid Hormone Receptor Signaling, Skeletal Muscle Fiber Development, CXCR4-mediated Signaling Events, Signaling Events mediated by VEGFR1 and VEGFR2, Signaling of Hepatocyte Growth Factor Receptor, Embryonic Body Morphogenesis
Target
-