Phone:
+1 877 302 8632
Fax:
+1 888 205 9894 (Toll-free)
E-Mail:
orders@antibodies-online.com

ATL1 antibody (AA 1-280)

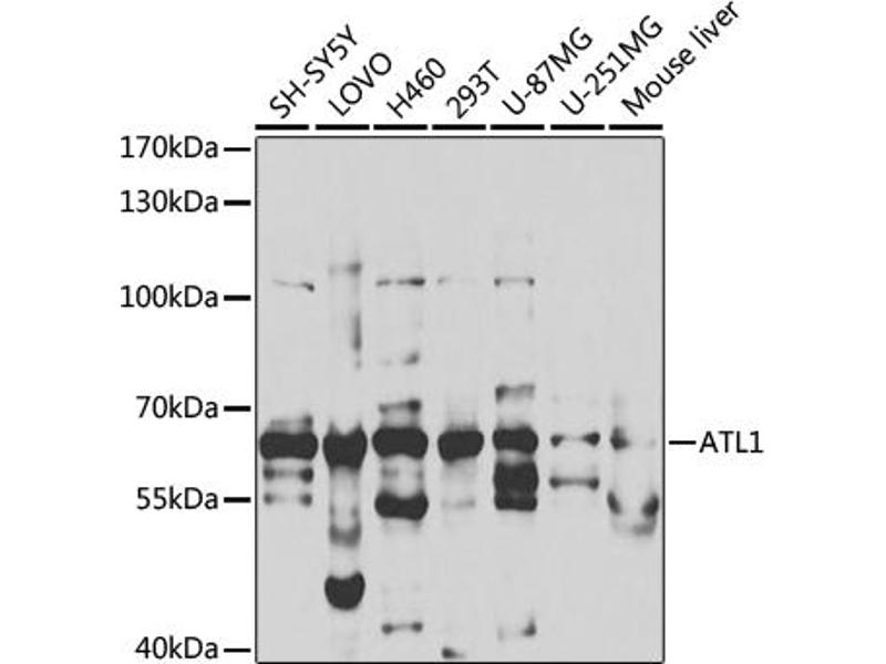
The Rabbit Polyclonal anti-ATL1 antibody has been validated for WB and IF. It is suitable to detect ATL1 in samples from Human.
Catalog No. ABIN6137275

Quick Overview for ATL1 antibody (AA 1-280) (ABIN6137275)

Target

See all ATL1 Antibodies
ATL1 (Atlastin GTPase 1 (ATL1))

Reactivity

  • 31
  • 19
  • 19
  • 2
  • 2
  • 2
  • 2
  • 1
  • 1
  • 1
Human

Host

  • 43
  • 3
Rabbit

Clonality

  • 43
  • 3
Polyclonal

Conjugate

  • 17
  • 4
  • 3
  • 3
  • 1
  • 1
  • 1
  • 1
  • 1
  • 1
  • 1
  • 1
  • 1
  • 1
  • 1
  • 1
  • 1
  • 1
  • 1
  • 1
  • 1
  • 1
  • 1
This ATL1 antibody is un-conjugated

Application

  • 34
  • 19
  • 13
  • 13
  • 3
  • 3
  • 3
  • 3
  • 3
  • 2
  • 1
  • 1
Western Blotting (WB), Immunofluorescence (IF)
  • Binding Specificity

    • 15
    • 8
    • 5
    • 5
    • 2
    • 2
    • 1
    • 1
    • 1
    • 1
    AA 1-280

    Sequence

    MAKNRRDRNS WGGFSEKTYE WSSEEEEPVK KAGPVQVLIV KDDHSFELDE TALNRILLSE AVRDKEVVAV SVAGAFRKGK SFLMDFMLRY MYNQESVDWV GDYNEPLTGF SWRGGSERET TGIQIWSEIF LINKPDGKKV AVLLMDTQGT FDSQSTLRDS ATVFALSTMI SSIQVYNLSQ NVQEDDLQHL QLFTEYGRLA MEETFLKPFQ SLIFLVRDWS FPYEFSYGAD GGAKFLEKRL KVSGNQHEEL QNVRKHIHSC FTNISCFLLP HPGLKVATNP

    Cross-Reactivity

    Human, Mouse

    Characteristics

    Polyclonal Antibodies

    Purification

    Affinity purification

    Immunogen

    Recombinant fusion protein containing a sequence corresponding to amino acids 1-280 of human ATL1 (NP_056999.2).

    Isotype

    IgG
  • Application Notes

    WB,1:500 - 1:2000,IF,1:50 - 1:200

    Comment

    HIGH QUALITY

    Restrictions

    For Research Use only
  • Format

    Liquid

    Buffer

    PBS with 0.02 % sodium azide,50 % glycerol, pH 7.3.

    Preservative

    Sodium azide

    Precaution of Use

    This product contains Sodium azide: a POISONOUS AND HAZARDOUS SUBSTANCE which should be handled by trained staff only.

    Storage

    -20 °C

    Storage Comment

    Store at -20°C. Avoid freeze / thaw cycles.
  • Target

    ATL1 (Atlastin GTPase 1 (ATL1))

    Alternative Name

    ATL1

    Background

    The protein encoded by this gene is a GTPase and a Golgi body transmembrane protein. The encoded protein can form a homotetramer and has been shown to interact with spastin and with mitogen-activated protein kinase kinase kinase kinase 4. This protein may be involved in axonal maintenance as evidenced by the fact that defects in this gene are a cause of spastic paraplegia type 3. Three transcript variants encoding two different isoforms have been found for this gene.,ATL1,AD-FSP,FSP1,GBP3,HSN1D,SPG3,SPG3A,atlastin1,ATL1

    Molecular Weight

    63 kDa

    Gene ID

    51062

    UniProt

    Q8WXF7
You are here:
Chat with us!