Phone:
+1 877 302 8632
Fax:
+1 888 205 9894 (Toll-free)
E-Mail:
orders@antibodies-online.com

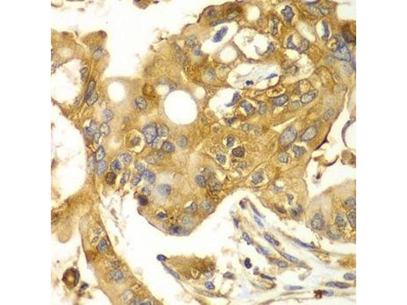
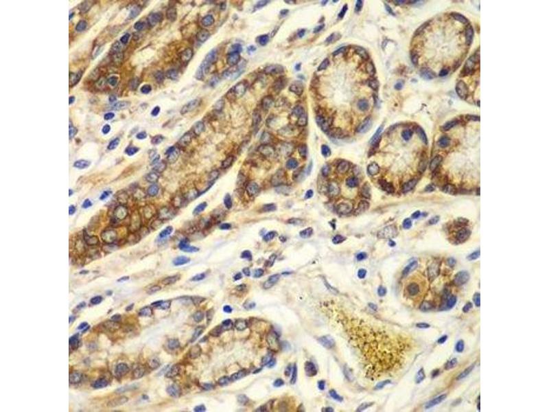
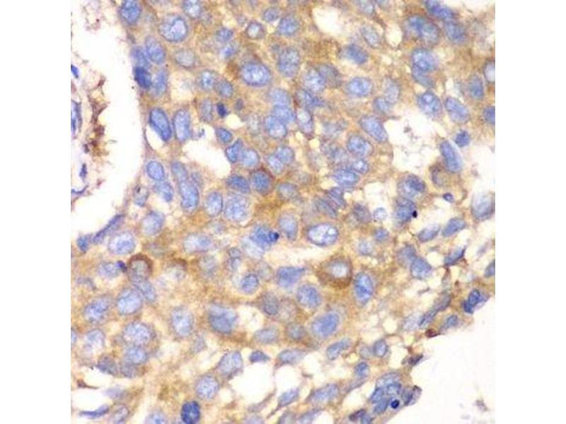
Calpain S1 antibody (AA 69-268)

Cited in 1 publication. The Rabbit Polyclonal anti-Calpain S1 antibody (ABIN6137928) specifically detects Calpain S1 in WB, IHC and IF. The antibody is reactive with Human samples.
Catalog No. ABIN6137928
$383.00
Plus shipping costs $50.00
Shipping to: United States
Delivery in 7 to 10 Business Days

Quick Overview for Calpain S1 antibody (AA 69-268) (ABIN6137928)

Target

See all Calpain S1 (CAPNS1) Antibodies
Calpain S1 (CAPNS1) (Calpain, Small Subunit 1 (CAPNS1))

Reactivity

  • 49
  • 30
  • 21
  • 3
  • 2
  • 2
  • 1
  • 1
  • 1
  • 1
  • 1
  • 1
  • 1
Human

Host

  • 42
  • 8
Rabbit

Clonality

  • 30
  • 20
Polyclonal

Conjugate

  • 23
  • 4
  • 3
  • 3
  • 3
  • 3
  • 3
  • 3
  • 2
  • 1
  • 1
  • 1
This Calpain S1 antibody is un-conjugated

Application

  • 28
  • 17
  • 17
  • 17
  • 11
  • 5
  • 2
  • 1
  • 1
  • 1
Western Blotting (WB), Immunohistochemistry (IHC), Immunofluorescence (IF)
  • Binding Specificity

    • 8
    • 3
    • 2
    • 1
    • 1
    • 1
    • 1
    • 1
    AA 69-268

    Sequence

    ISEAAAQYNP EPPPPRTHYS NIEANESEEV RQFRRLFAQL AGDDMEVSAT ELMNILNKVV TRHPDLKTDG FGIDTCRSMV AVMDSDTTGK LGFEEFKYLW NNIKRWQAIY KQFDTDRSGT ICSSELPGAF EAAGFHLNEH LYNMIIRRYS DESGNMDFDN FISCLVRLDA MFRAFKSLDK DGTGQIQVNI QEWLQLTMYS

    Cross-Reactivity

    Human, Mouse, Rat

    Characteristics

    Polyclonal Antibodies

    Purification

    Affinity purification

    Immunogen

    Recombinant fusion protein containing a sequence corresponding to amino acids 69-268 of human Calpain small subunit 1 (NP_001740.1).

    Isotype

    IgG
  • Application Notes

    WB,1:500 - 1:2000,IHC,1:50 - 1:100,IF,1:50 - 1:100

    Comment

    HIGH QUALITY

    Restrictions

    For Research Use only
  • Format

    Liquid

    Buffer

    PBS with 0.02 % sodium azide,50 % glycerol, pH 7.3.

    Preservative

    Sodium azide

    Precaution of Use

    This product contains Sodium azide: a POISONOUS AND HAZARDOUS SUBSTANCE which should be handled by trained staff only.

    Storage

    -20 °C

    Storage Comment

    Store at -20°C. Avoid freeze / thaw cycles.
  • Liu, Lou, Li, Xu, Ruan, Xiao, Qiu, Bao, Yuan, Huang, Wang, Cao, Chen, Yang, Zhang: "Calpain and AR-V7: Two potential therapeutic targets to overcome acquired docetaxel resistance in castration-resistant prostate cancer cells." in: Oncology reports, Vol. 37, Issue 6, pp. 3651-3659, (2018) (PubMed).

  • Target

    Calpain S1 (CAPNS1) (Calpain, Small Subunit 1 (CAPNS1))

    Alternative Name

    CAPNS1

    Background

    This gene is a member of the calpain small subunit family. Calpains are calcium-dependent cysteine proteinases that are widely distributed in mammalian cells. Calpains operate as heterodimers, comprising a specific large catalytic subunit (calpain 1 subunit in Calpain I, and calpain 2 subunit in Calpain II), and a common small regulatory subunit encoded by this gene. This encoded protein is essential for the stability and function of both calpain heterodimers, whose proteolytic activities influence various cellular functions including apoptosis, proliferation, migration, adhesion, and autophagy. Calpains have been implicated in neurodegenerative processes, such as myotonic dystrophy. A pseudogene of this gene has been defined on chromosome 1. Alternative splicing results in multiple transcript variants.,CAPNS1,CALPAIN4,CANP,CANPS,CAPN4,CDPS,CSS1,Signal Transduction,Immunology & Inflammation,T Cell Receptor Signaling Pathway,Neuroscience,Calcium Signaling,CAPNS1

    Molecular Weight

    28 kDa

    Gene ID

    826

    UniProt

    P04632

    Pathways

    Apoptosis
You are here:
Chat with us!