Phone:
+1 877 302 8632
Fax:
+1 888 205 9894 (Toll-free)
E-Mail:
orders@antibodies-online.com

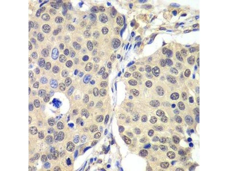
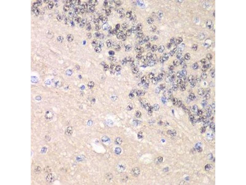
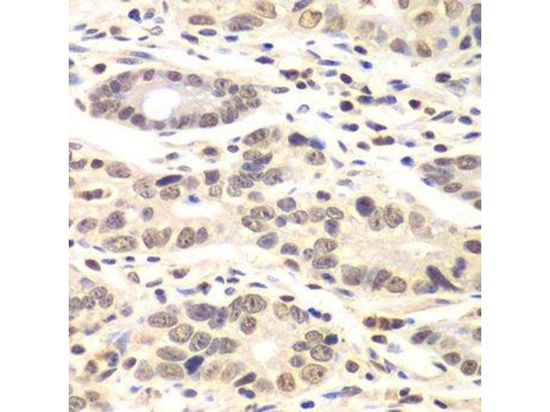
Cyclin C antibody (AA 1-283)

This Rabbit Polyclonal antibody specifically detects Cyclin C in WB and IHC. It exhibits reactivity toward Human.
Catalog No. ABIN6138076
$383.00
Plus shipping costs $50.00
Shipping to: United States
Delivery in 7 to 10 Business Days

Quick Overview for Cyclin C antibody (AA 1-283) (ABIN6138076)

Target

See all Cyclin C (CCNC) Antibodies
Cyclin C (CCNC)

Reactivity

  • 62
  • 31
  • 30
  • 1
  • 1
  • 1
  • 1
  • 1
  • 1
Human

Host

  • 61
  • 1
Rabbit

Clonality

  • 62
Polyclonal

Conjugate

  • 24
  • 4
  • 3
  • 3
  • 2
  • 2
  • 2
  • 2
  • 2
  • 2
  • 2
  • 2
  • 2
  • 2
  • 2
  • 1
  • 1
  • 1
  • 1
  • 1
  • 1
This Cyclin C antibody is un-conjugated

Application

  • 51
  • 26
  • 26
  • 22
  • 7
  • 7
  • 6
  • 4
  • 4
  • 2
  • 2
  • 2
  • 1
  • 1
Western Blotting (WB), Immunohistochemistry (IHC)
  • Binding Specificity

    • 23
    • 15
    • 6
    • 4
    • 3
    • 3
    • 2
    • 2
    • 2
    • 1
    • 1
    • 1
    AA 1-283

    Sequence

    MAGNFWQSSH YLQWILDKQD LLKERQKDLK FLSEEEYWKL QIFFTNVIQA LGEHLKLRQQ VIATATVYFK RFYARYSLKS IDPVLMAPTC VFLASKVEEF GVVSNTRLIA AATSVLKTRF SYAFPKEFPY RMNHILECEF YLLELMDCCL IVYHPYRPLL QYVQDMGQED MLLPLAWRIV NDTYRTDLCL LYPPFMIALA CLHVACVVQQ KDARQWFAEL SVDMEKILEI IRVILKLYEQ WKNFDERKEM ATILSKMPKP KPPPNSEGEQ GPNGSQNSSY SQS

    Cross-Reactivity

    Human, Mouse, Rat

    Characteristics

    Polyclonal Antibodies

    Purification

    Affinity purification

    Immunogen

    Recombinant fusion protein containing a sequence corresponding to amino acids 1-283 of human Cyclin C (NP_005181.2).

    Isotype

    IgG
  • Application Notes

    WB,1:500 - 1:2000,IHC,1:50 - 1:200

    Comment

    HIGH QUALITY

    Restrictions

    For Research Use only
  • Format

    Liquid

    Buffer

    PBS with 0.02 % sodium azide,50 % glycerol, pH 7.3.

    Preservative

    Sodium azide

    Precaution of Use

    This product contains Sodium azide: a POISONOUS AND HAZARDOUS SUBSTANCE which should be handled by trained staff only.

    Storage

    -20 °C

    Storage Comment

    Store at -20°C. Avoid freeze / thaw cycles.
  • Target

    Cyclin C (CCNC)

    Alternative Name

    CCNC

    Background

    The protein encoded by this gene is a member of the cyclin family of proteins. The encoded protein interacts with cyclin-dependent kinase 8 and induces the phophorylation of the carboxy-terminal domain of the large subunit of RNA polymerase II. The level of mRNAs for this gene peaks in the G1 phase of the cell cycle. Two transcript variants encoding different isoforms have been found for this gene.,CCNC,CycC,SRB11,hSRB11,cyclin-C,Epigenetics & Nuclear Signaling,Cell Biology & Developmental Biology,Cell Cycle,Cyclins,CCNC

    Molecular Weight

    22 kDa/33 kDa

    Gene ID

    892

    UniProt

    P24863

    Pathways

    Cell Division Cycle, Regulation of Lipid Metabolism by PPARalpha
You are here:
Chat with us!