×
For best experience we recommend to activate Javascript in your browser.
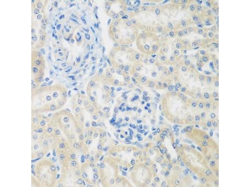
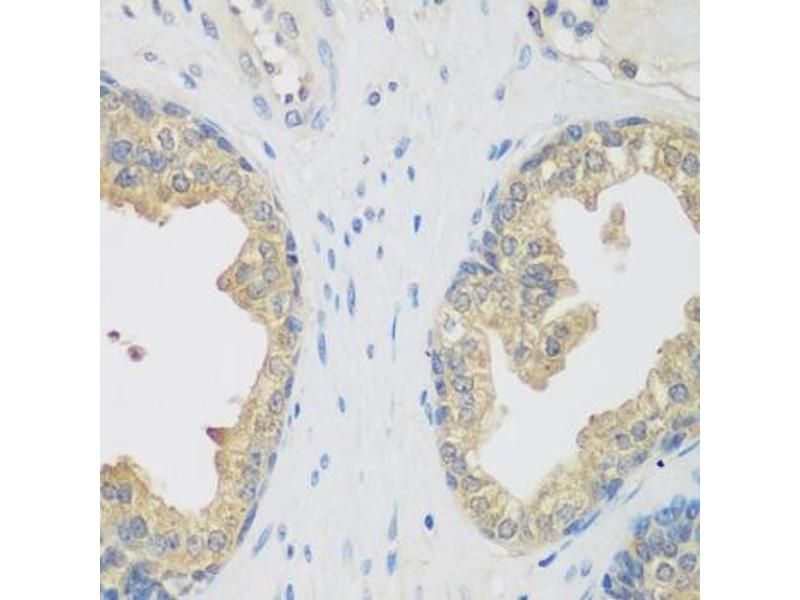
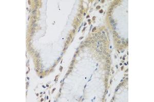
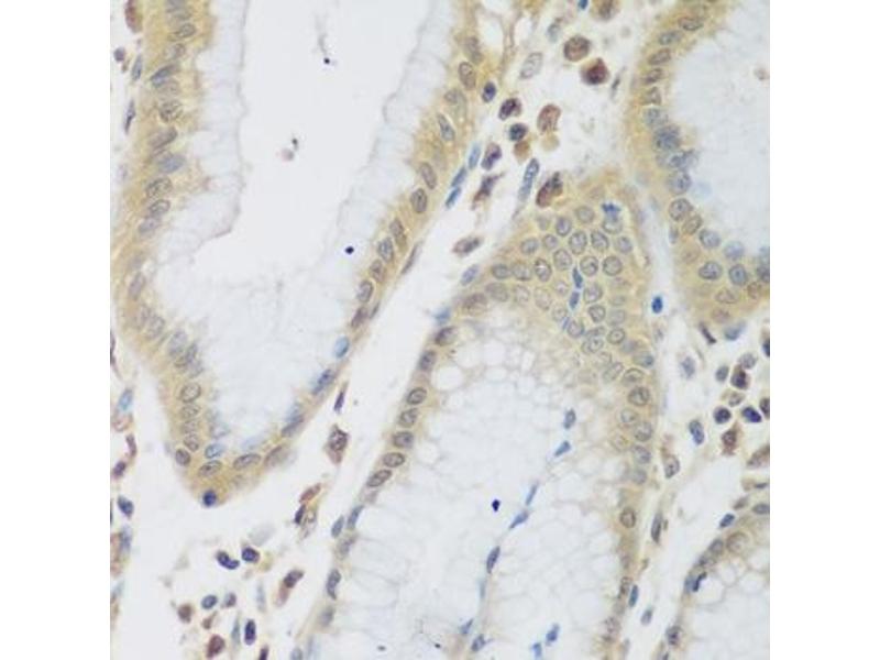
ENPEP antibody (AA 708-957)
The Rabbit Polyclonal anti-ENPEP antibody (ABIN6140180) specifically detects ENPEP in WB and IHC.
The antibody is reactive with Human samples.
Catalog No. ABIN6140180
$383.00
Plus shipping costs $50.00
20 μL ABIN6222637
100 μL ABIN6140180
500 μL ABIN6140182
1000 μL ABIN6131228
20 μL ABIN6222637
100 μL ABIN6140180
500 μL ABIN6140182
1000 μL ABIN6131228
Delivery in 7 to 10 Business Days
Quick Overview for ENPEP antibody (AA 708-957) (ABIN6140180)
Target
See all ENPEP Antibodies
ENPEP
(Glutamyl Aminopeptidase (Aminopeptidase A) (ENPEP))
Reactivity
All reactivities for ENPEP antibodies
Human
Host
All hosts for ENPEP antibodies
Rabbit
Clonality
All clonalities for ENPEP antibodies
Polyclonal
Conjugate
All conjugates for ENPEP antibodies
This ENPEP antibody is un-conjugated
Application
All applications for ENPEP antibodies
Western Blotting (WB), Immunohistochemistry (IHC)
Product Details anti-ENPEP Antibody
(hide)
Binding Specificity
All epitopes for ENPEP antibodies
AA 708-957
Sequence
DDKELYPMIE EYFQGQVKPI ADSLGWNDAG DHVTKLLRSS VLGFACKMGD REALNNASSL FEQWLNGTVS LPVNLRLLVY RYGMQNSGNE ISWNYTLEQY QKTSLAQEKE KLLYGLASVK NVTLLSRYLD LLKDTNLIKT QDVFTVIRYI SYNSYGKNMA WNWIQLNWDY LVNRYTLNNR NLGRIVTIAE PFNTELQLWQ MESFFAKYPQ AGAGEKPREQ VLETVKNNIE WLKQHRNTIR EWFFNLLESG
Cross-Reactivity
Human, Mouse, Rat
Characteristics
Polyclonal Antibodies
Purification
Affinity purification
Immunogen
Recombinant fusion protein containing a sequence corresponding to amino acids 708-957 of human ENPEP (NP_001968.3).
Isotype
IgG
Alternatives
(show)
Application Details
(hide)
Application Notes
WB,1:500 - 1:2000,IHC,1:50 - 1:200
Restrictions
For Research Use only
Handling
(hide)
Format
Liquid
Buffer
PBS with 0.02 % sodium azide,50 % glycerol, pH 7.3.
Preservative
Sodium azide
Precaution of Use
This product contains Sodium azide: a POISONOUS AND HAZARDOUS SUBSTANCE which should be handled by trained staff only.
Storage
-20 °C
Storage Comment
Store at -20°C. Avoid freeze / thaw cycles.
Target Details for ENPEP
(hide)
Target
ENPEP
(Glutamyl Aminopeptidase (Aminopeptidase A) (ENPEP))
Alternative Name
ENPEP
Background
Regulates central hypertension through its calcium-modulated preference to cleave N-terminal acidic residues from peptides such as angiotensin II.,ENPEP,APA,CD249,gp160,Immunology & Inflammation,CD markers,Stem Cells,Hematopoietic Progenitors,Cardiovascular,Angiogenesis,ENPEP
Molecular Weight
109 kDa
Gene ID
2028
UniProt
Q07075
Pathways
Peptide Hormone Metabolism , Regulation of Systemic Arterial Blood Pressure by Hormones
Recently viewed
(hide)
You are here:
Homepage
anti-ENPEP antibody (AA 708-957) (ABIN6140180)
Chat with us , powered by LiveChat