Phone:
+1 877 302 8632
Fax:
+1 888 205 9894 (Toll-free)
E-Mail:
orders@antibodies-online.com

ENPEP antibody

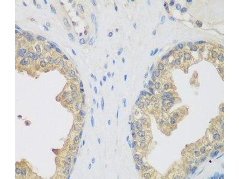
The Rabbit Polyclonal anti-ENPEP antibody (ABIN7262799) specifically detects ENPEP in IHC. The antibody is reactive with Human, Mouse and Rat samples.
Catalog No. ABIN7262799
$696.00
Plus shipping costs $50.00
Shipping to: United States
Delivery in 11 to 15 Business Days

Quick Overview for ENPEP antibody (ABIN7262799)

Target

See all ENPEP Antibodies
ENPEP (Glutamyl Aminopeptidase (Aminopeptidase A) (ENPEP))

Reactivity

  • 65
  • 23
  • 16
  • 2
  • 2
  • 2
  • 1
  • 1
  • 1
  • 1
Human, Mouse, Rat

Host

  • 60
  • 7
  • 6
  • 1
Rabbit

Clonality

  • 49
  • 25
Polyclonal

Conjugate

  • 39
  • 7
  • 6
  • 4
  • 3
  • 2
  • 2
  • 2
  • 2
  • 2
  • 2
  • 1
  • 1
  • 1
This ENPEP antibody is un-conjugated

Application

  • 52
  • 37
  • 26
  • 23
  • 14
  • 9
  • 7
  • 4
  • 2
Immunohistochemistry (IHC)
You are here:
Chat with us!