Phone:
+1 877 302 8632
Fax:
+1 888 205 9894 (Toll-free)
E-Mail:
orders@antibodies-online.com

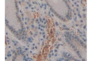
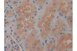
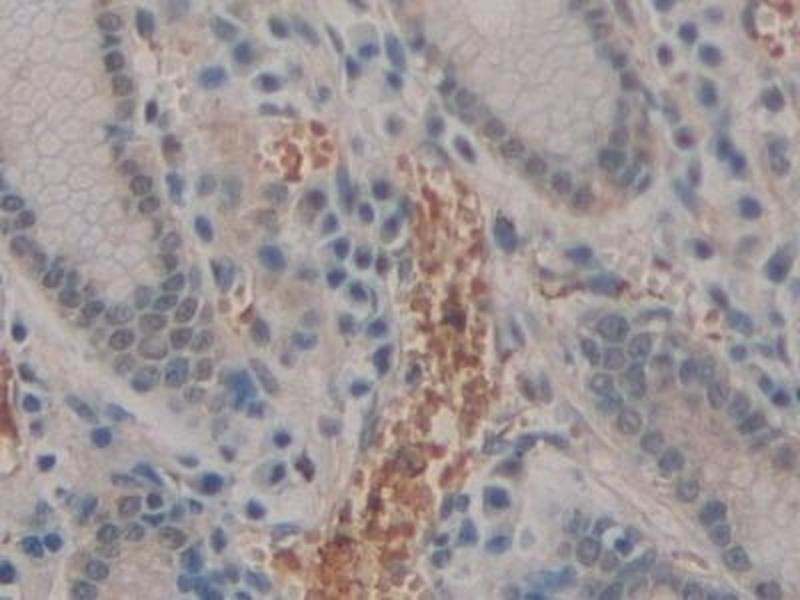
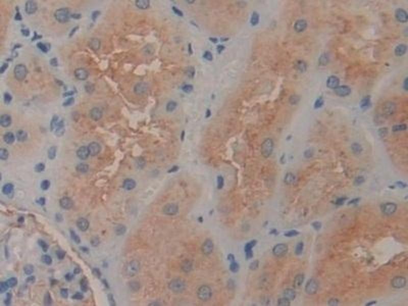
ENPEP antibody (AA 718-948)

The Rabbit Polyclonal anti-ENPEP antibody is suitable to detect ENPEP in samples from Human. It has been validated for WB, IHC, IP and ICC.
Catalog No. ABIN7443356
$301.11
Plus shipping costs $50.00
Shipping to: United States
Delivery in 13 to 17 Business Days

Quick Overview for ENPEP antibody (AA 718-948) (ABIN7443356)

Target

See all ENPEP Antibodies
ENPEP (Glutamyl Aminopeptidase (Aminopeptidase A) (ENPEP))

Reactivity

  • 65
  • 24
  • 17
  • 2
  • 2
  • 2
  • 1
  • 1
  • 1
  • 1
Human

Host

  • 60
  • 7
  • 6
  • 1
Rabbit

Clonality

  • 49
  • 25
Polyclonal

Conjugate

  • 39
  • 7
  • 6
  • 4
  • 3
  • 2
  • 2
  • 2
  • 2
  • 2
  • 2
  • 1
  • 1
  • 1
This ENPEP antibody is un-conjugated

Application

  • 51
  • 37
  • 26
  • 23
  • 14
  • 8
  • 7
  • 3
  • 2
Western Blotting (WB), Immunohistochemistry (IHC), Immunoprecipitation (IP), Immunocytochemistry (ICC)
  • Binding Specificity

    • 8
    • 6
    • 5
    • 3
    • 2
    • 1
    • 1
    • 1
    • 1
    • 1
    • 1
    • 1
    • 1
    • 1
    AA 718-948

    Purpose

    Polyclonal Antibody to Aminopeptidase A (ENPEP)

    Specificity

    The antibody is a rabbit polyclonal antibody raised against ENPEP. It has been selected for its ability to recognize ENPEP in immunohistochemical staining and western blotting.

    Cross-Reactivity

    Mouse, Rat

    Purification

    Antigen-specific affinity chromatography followed by Protein A affinity chromatography

    Immunogen

    Recombinant Aminopeptidase A (ENPEP) corresdonding to Glu718~Glu948 with N-terminal His Tag

    Isotype

    IgG
  • Application Notes

    Western blotting: 0.5-2 μg/mL,Immunohistochemistry: 5-20 μg/mL,Immunocytochemistry: 5-20 μg/mL,Optimal working dilutions must be determined by end user.

    Comment

    The thermal stability is described by the loss rate. The loss rate was determined by accelerated thermal degradation test, that is, incubate the protein at 37°C for 48h, and no obvious degradation and precipitation were observed. The loss rate is less than 5% within the expiration date under appropriate storage condition.

    Restrictions

    For Research Use only
  • Format

    Liquid

    Concentration

    500 μg/mL

    Buffer

    0.01M PBS, pH 7.4, containing 0.05 % Proclin-300, 50 % glycerol.

    Preservative

    ProClin

    Precaution of Use

    This product contains ProClin: a POISONOUS AND HAZARDOUS SUBSTANCE which should be handled by trained staff only.

    Storage

    4 °C,-20 °C

    Storage Comment

    Store at 4°C for frequent use. Stored at -20°C in a manual defrost freezer for two year without detectable loss of activity. Avoid repeated freeze-thaw cycles.

    Expiry Date

    24 months
  • Target

    ENPEP (Glutamyl Aminopeptidase (Aminopeptidase A) (ENPEP))

    Alternative Name

    ENPEP

    Background

    CD249, GluAP, gp160, ATA, EAP, AP-A, Aminopeptidase A, Glutamyl Aminopeptidase

    UniProt

    Q07075

    Pathways

    Peptide Hormone Metabolism, Regulation of Systemic Arterial Blood Pressure by Hormones
You are here:
Chat with us!