Phone:
+1 877 302 8632
Fax:
+1 888 205 9894 (Toll-free)
E-Mail:
orders@antibodies-online.com

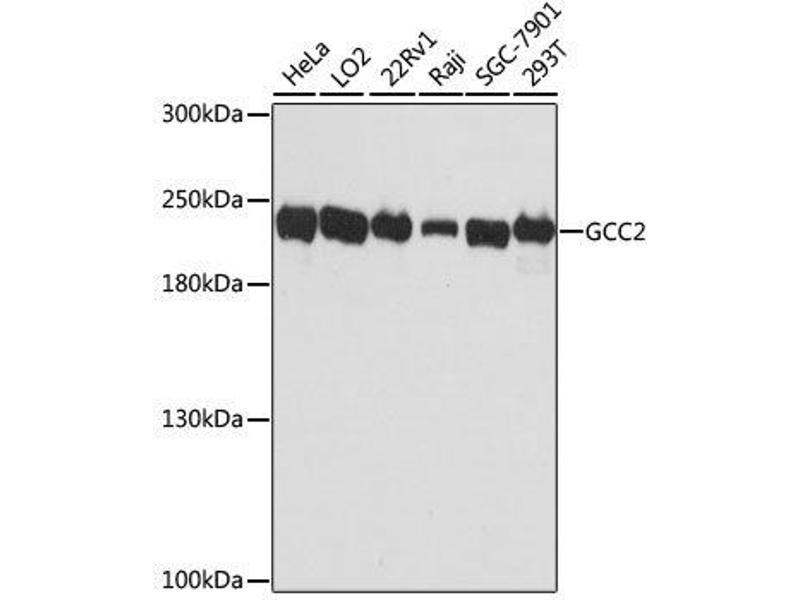
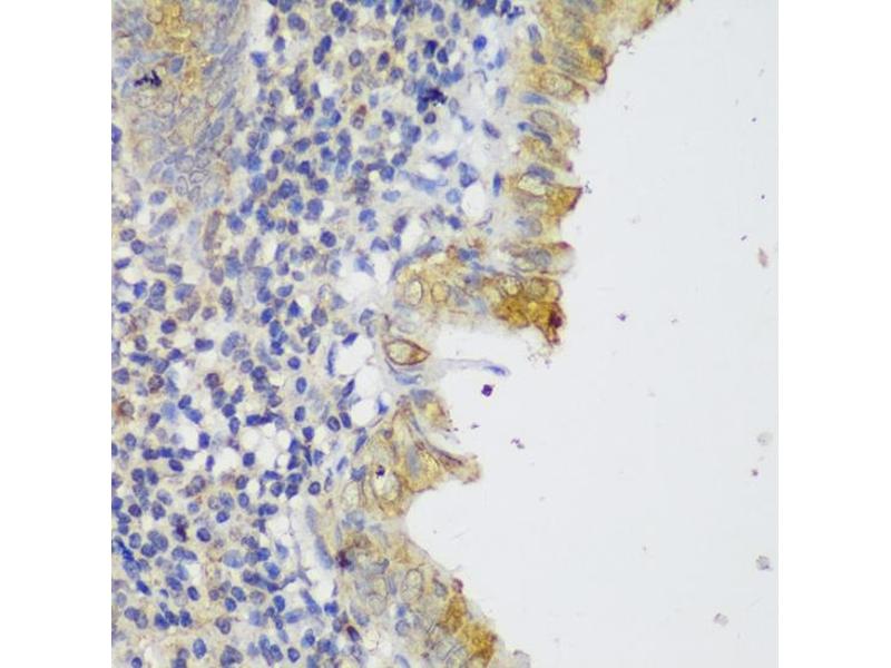
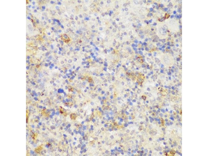
GCC2 antibody (AA 1-300)

This Rabbit Polyclonal antibody specifically detects GCC2 in IHC and WB. It exhibits reactivity toward Human.
Catalog No. ABIN6141007
$383.00
Plus shipping costs $50.00
Shipping to: United States
Delivery in 7 to 10 Business Days

Quick Overview for GCC2 antibody (AA 1-300) (ABIN6141007)

Target

See all GCC2 Antibodies
GCC2 (GRIP and Coiled-Coil Domain Containing 2 (GCC2))

Reactivity

  • 23
  • 19
  • 8
Human

Host

  • 22
  • 1
Rabbit

Clonality

  • 23
Polyclonal

Conjugate

  • 11
  • 2
  • 1
  • 1
  • 1
  • 1
  • 1
  • 1
  • 1
  • 1
  • 1
  • 1
This GCC2 antibody is un-conjugated

Application

  • 13
  • 12
  • 9
  • 3
  • 2
  • 1
Immunohistochemistry (IHC), Western Blotting (WB)
You are here:
Chat with us!