GCC2 antibody
Quick Overview for GCC2 antibody (ABIN7257385)
Target
See all GCC2 AntibodiesReactivity
Host
Clonality
Conjugate
Application
-
-
Characteristics
- Polyclonal Antibody
-
Purification
- Affinity purification
-
Immunogen
- Recombinant fusion protein of human GCC2 (NP_852118.1).
-
Isotype
- IgG
-
-
-
-
Application Notes
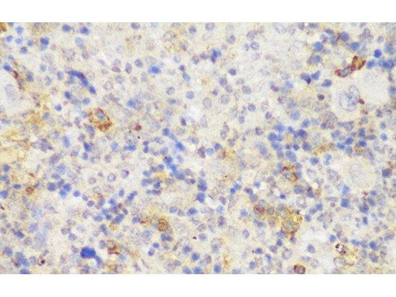
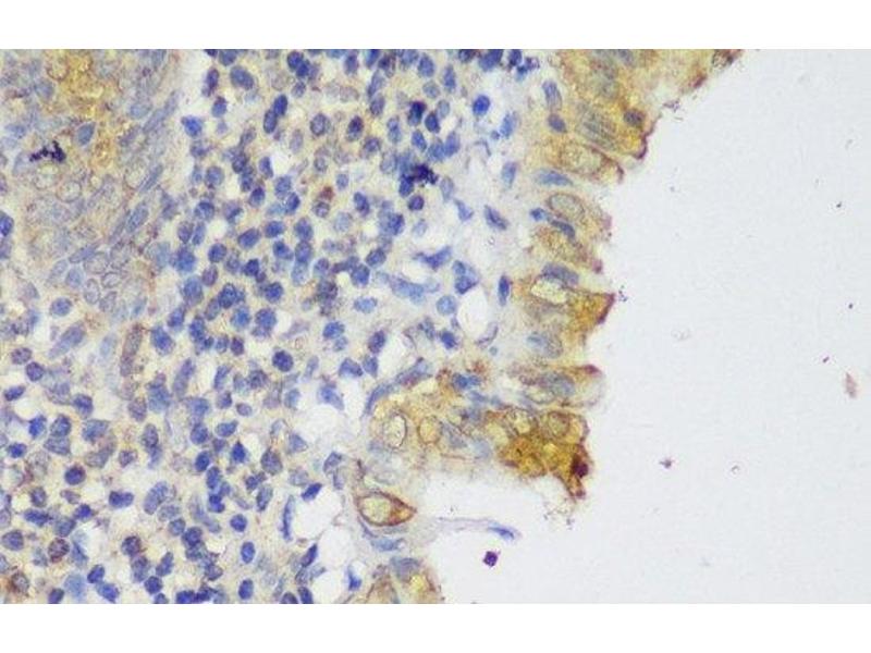
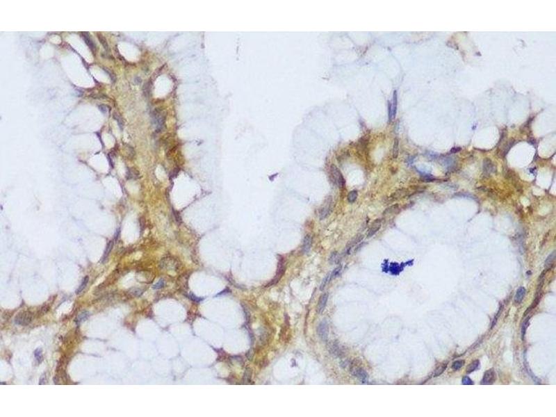
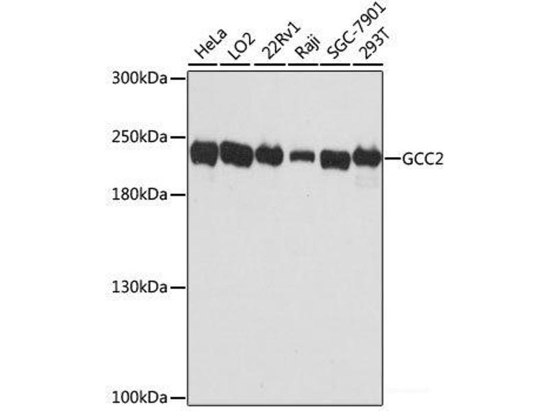
- WB 1:500-1:2000 IHC 1:50-1:200
-
Restrictions
- For Research Use only
-
-
-
Format
- Liquid
-
Concentration
- 1 mg/mL
-
Buffer
- PBS with 0.02 % sodium azide, 50 % glycerol, pH 7.3
-
Preservative
- Sodium azide
-
Precaution of Use
- This product contains Sodium azide: a POISONOUS AND HAZARDOUS SUBSTANCE which should be handled by trained staff only.
-
Storage
- -20 °C
-
Storage Comment
- Store at -20°C. Avoid freeze / thaw cycles.
-
-
- GCC2 (GRIP and Coiled-Coil Domain Containing 2 (GCC2))
-
Alternative Name
- GCC2
-
Background
- The protein encoded by this gene is a peripheral membrane protein localized to the trans-Golgi network. It is sensitive to brefeldin A. This encoded protein contains a GRIP domain which is thought to be used in targeting. Alternative splicing results in multiple transcript variants.
-
Molecular Weight
-
Observed_MW: 196 kDa
Calculated_MW: 5 kDa/195 kDa
-
Gene ID
- 9648
-
UniProt
- Q8IWJ2
-
Pathways
- Maintenance of Protein Location, SARS-CoV-2 Protein Interactome
Target
-