Phone:
+1 877 302 8632
Fax:
+1 888 205 9894 (Toll-free)
E-Mail:
orders@antibodies-online.com

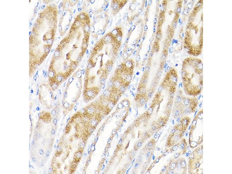
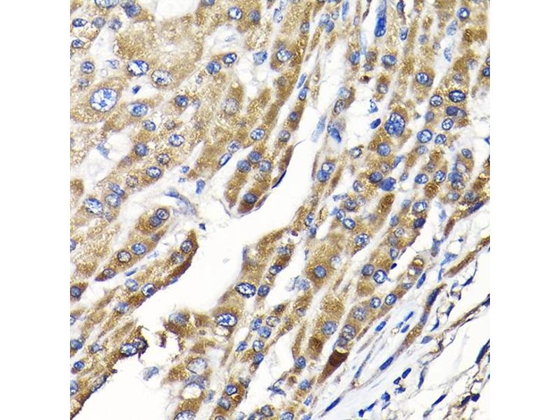
IKAP/p150 antibody (AA 1093-1332)

The Rabbit Polyclonal anti-IKAP/p150 antibody is suitable to detect IKAP/p150 in samples from Human. It has been validated for WB and IHC.
Catalog No. ABIN6142278
$383.00
Plus shipping costs $50.00
Shipping to: United States
Delivery in 7 to 10 Business Days

Quick Overview for IKAP/p150 antibody (AA 1093-1332) (ABIN6142278)

Target

See all IKAP/p150 (ELP1) Antibodies
IKAP/p150 (ELP1) (Elongator Complex Protein 1 (ELP1))

Reactivity

  • 26
  • 25
  • 19
  • 1
  • 1
  • 1
  • 1
  • 1
  • 1
Human

Host

  • 43
  • 3
  • 3
Rabbit

Clonality

  • 46
  • 3
Polyclonal

Conjugate

  • 22
  • 4
  • 4
  • 2
  • 1
  • 1
  • 1
  • 1
  • 1
  • 1
  • 1
  • 1
  • 1
  • 1
  • 1
  • 1
  • 1
  • 1
  • 1
  • 1
  • 1
This IKAP/p150 antibody is un-conjugated

Application

  • 38
  • 18
  • 13
  • 13
  • 9
  • 5
  • 5
  • 4
  • 3
  • 3
  • 1
  • 1
Western Blotting (WB), Immunohistochemistry (IHC)
  • Binding Specificity

    • 15
    • 7
    • 4
    • 2
    • 1
    • 1
    • 1
    • 1
    • 1
    • 1
    AA 1093-1332

    Sequence

    LRLVYKYNRL DIIETNVKPS ILEAQKNYMA FLDSQTATFS RHKKRLLVVR ELKEQAQQAG LDDEVPHGQE SDLFSETSSV VSGSEMSGKY SHSNSRISAR SSKNRRKAER KKHSLKEGSP LEDLALLEAL SEVVQNTENL KDEVYHILKV LFLFEFDEQG RELQKAFEDT LQLMERSLPE IWTLTYQQNS ATPVLGPNST ANSIMASYQQ QKTSVPVLDA ELFIPPKINR RTQWKLSLLD

    Cross-Reactivity

    Human, Mouse, Rat

    Characteristics

    Polyclonal Antibodies

    Immunogen

    Recombinant fusion protein containing a sequence corresponding to amino acids 1093-1332 of human IKBKAP (NP_003631.2).

    Isotype

    IgG
  • Application Notes

    WB,1:1000 - 1:4000,IHC,1:50 - 1:200

    Comment

    HIGH QUALITY

    Restrictions

    For Research Use only
  • Format

    Liquid

    Buffer

    PBS with 0.02 % sodium azide,50 % glycerol, pH 7.3.

    Preservative

    Sodium azide

    Precaution of Use

    This product contains Sodium azide: a POISONOUS AND HAZARDOUS SUBSTANCE which should be handled by trained staff only.

    Storage

    -20 °C

    Storage Comment

    Store at -20°C. Avoid freeze / thaw cycles.
  • Target

    IKAP/p150 (ELP1) (Elongator Complex Protein 1 (ELP1))

    Alternative Name

    IKBKAP

    Background

    The protein encoded by this gene is a scaffold protein and a regulator for three different kinases involved in proinflammatory signaling. The encoded protein can bind NF-kappa-B-inducing kinase and I-kappa-B kinases through separate domains and assemble them into an active kinase complex. Mutations in this gene have been associated with familial dysautonomia. Alternative splicing results in multiple transcript variants encoding different isoforms.,IKBKAP,DYS,ELP1,FD,IKAP,IKI3,TOT1,Epigenetics & Nuclear Signaling,Signal Transduction,IKBKAP

    Molecular Weight

    150 kDa

    Gene ID

    8518

    UniProt

    O95163
You are here:
Chat with us!