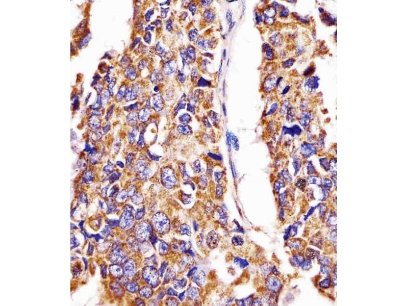
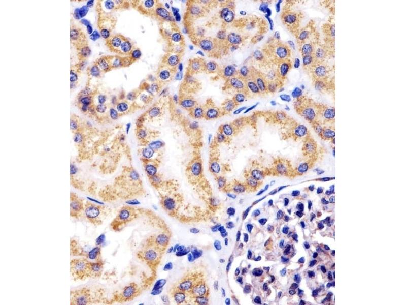
HSPD1 antibody (AA 340-374)
Quick Overview for HSPD1 antibody (AA 340-374) (ABIN6242389)
Target
See all HSPD1 AntibodiesReactivity
Host
Clonality
Conjugate
Application
Clone
-
-
Binding Specificity
- AA 340-374
-
Predicted Reactivity
- B
-
Purification
- This antibody is purified through a protein A column, followed by peptide affinity purification.
-
Immunogen
- This Hsp60 antibody is generated from a rabbit immunized with a KLH conjugated synthetic peptide between 340-374 amino acids from the human region of human Hsp60.
-
Isotype
- Ig Fraction
-
-
-
-
Application Notes
- IF: 1:25. WB: 1:2000. WB: 1:2000. IHC-P: 1:25. IHC-P: 1:25
-
Restrictions
- For Research Use only
-
-
-
Format
- Liquid
-
Buffer
- Purified polyclonal antibody supplied in PBS with 0.09 % (W/V) sodium azide.
-
Preservative
- Sodium azide
-
Precaution of Use
- This product contains Sodium azide: a POISONOUS AND HAZARDOUS SUBSTANCE which should be handled by trained staff only.
-
Storage
- 4 °C,-20 °C
-
Expiry Date
- 6 months
-
-
- HSPD1 (Heat Shock 60kDa Protein 1 (Chaperonin) (HSPD1))
-
Alternative Name
- Hsp60
-
Background
- Implicated in mitochondrial protein import and macromolecular assembly. May facilitate the correct folding of imported proteins. May also prevent misfolding and promote the refolding and proper assembly of unfolded polypeptides generated under stress conditions in the mitochondrial matrix.
-
Molecular Weight
- 61055
-
UniProt
- P10809
-
Pathways
- Activation of Innate immune Response, Regulation of Leukocyte Mediated Immunity, Positive Regulation of Immune Effector Process, Production of Molecular Mediator of Immune Response, Positive Regulation of Endopeptidase Activity
Target
-