Phone:
+1 877 302 8632
Fax:
+1 888 205 9894 (Toll-free)
E-Mail:
orders@antibodies-online.com

RFTN2 antibody (C-Term)

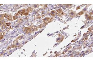
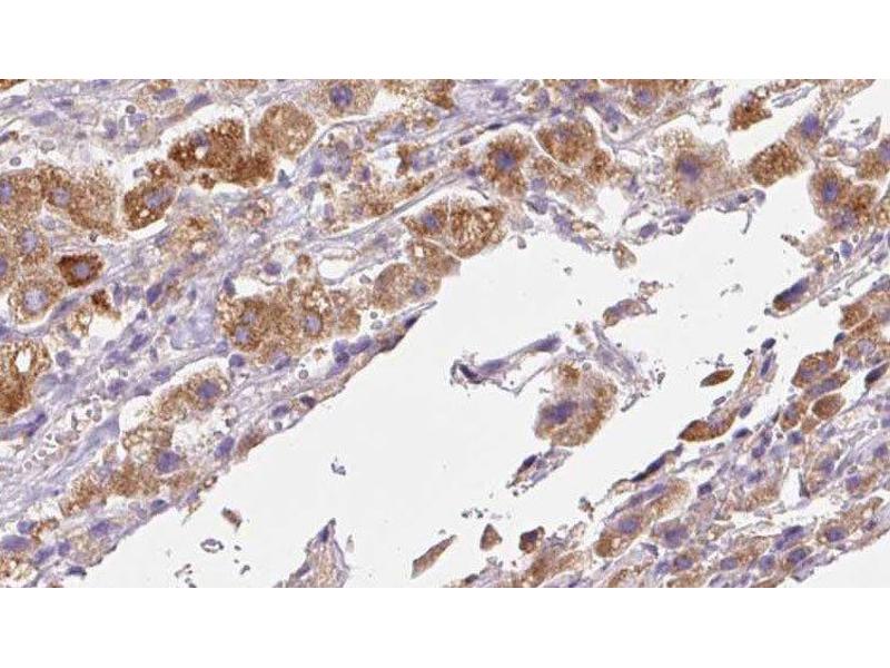
The Rabbit Polyclonal anti-RFTN2 antibody (ABIN6264715) specifically detects RFTN2 in ELISA, WB and IHC. The antibody is reactive with Human, Mouse and Rat samples.
Catalog No. ABIN6264715
$494.77
Plus shipping costs $50.00
Shipping to: United States
Delivery in 11 to 13 Business Days

Quick Overview for RFTN2 antibody (C-Term) (ABIN6264715)

Target

RFTN2 (Raftlin Family Member 2 (RFTN2))

Reactivity

  • 26
  • 4
  • 2
  • 2
  • 2
  • 2
  • 2
  • 2
  • 2
  • 1
  • 1
  • 1
Human, Mouse, Rat

Host

  • 26
Rabbit

Clonality

  • 26
Polyclonal

Conjugate

  • 8
  • 3
  • 2
  • 2
  • 1
  • 1
  • 1
  • 1
  • 1
  • 1
  • 1
  • 1
  • 1
  • 1
  • 1
This RFTN2 antibody is un-conjugated

Application

  • 21
  • 13
  • 13
  • 9
  • 3
  • 3
  • 1
  • 1
ELISA, Western Blotting (WB), Immunohistochemistry (IHC)
  • Binding Specificity

    • 15
    • 5
    • 3
    • 1
    • 1
    C-Term

    Specificity

    RFTN2 Antibody detects endogenous levels of total RFTN2.

    Purification

    The antiserum was purified by peptide affinity chromatography using SulfoLinkTM Coupling Resin (Thermo Fisher Scientific).

    Immunogen

    A synthesized peptide derived from human RFTN2, corresponding to a region within C-terminal amino acids.

    Isotype

    IgG
  • Application Notes

    WB 1:1000-3000, IHC 1:200, ELISA(peptide) 1:20000-1:40000

    Restrictions

    For Research Use only
  • Format

    Liquid

    Concentration

    1 mg/mL

    Buffer

    Rabbit IgG in phosphate buffered saline , pH 7.4, 150 mM NaCl, 0.02 % sodium azide and 50 % glycerol.

    Preservative

    Sodium azide

    Precaution of Use

    This product contains Sodium azide: a POISONOUS AND HAZARDOUS SUBSTANCE which should be handled by trained staff only.

    Storage

    -20 °C

    Storage Comment

    Store at -20 °C. Stable for 12 months from date of receipt.

    Expiry Date

    12 months
  • Target

    RFTN2 (Raftlin Family Member 2 (RFTN2))

    Alternative Name

    RFTN2

    Background

    Description: Upon bacterial lipopolysaccharide stimulation, mediates clathrin-dependent internalization of TLR4 in dendritic cells, resulting in activation of TICAM1-mediated signaling and subsequent IFNB1 production. May regulate B-cell antigen receptor-mediated signaling.

    Gene: RFTN2

    Molecular Weight

    56 kDa

    Gene ID

    130132

    UniProt

    Q52LD8
You are here:
Chat with us!