Phone:
+1 877 302 8632
Fax:
+1 888 205 9894 (Toll-free)
E-Mail:
orders@antibodies-online.com

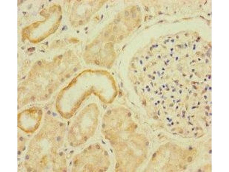
RFTN2 antibody (AA 1-300)

The Rabbit Polyclonal anti-RFTN2 antibody (ABIN7167064) specifically detects RFTN2 in ELISA, IHC and IF. The antibody is reactive with Human samples.
Catalog No. ABIN7167064
$394.68
Plus shipping costs $50.00
Shipping to: United States
Delivery in 13 to 17 Business Days

Quick Overview for RFTN2 antibody (AA 1-300) (ABIN7167064)

Target

RFTN2 (Raftlin Family Member 2 (RFTN2))

Reactivity

  • 26
  • 5
  • 3
  • 2
  • 2
  • 2
  • 2
  • 2
  • 2
  • 1
  • 1
  • 1
Human

Host

  • 26
Rabbit

Clonality

  • 26
Polyclonal

Conjugate

  • 8
  • 3
  • 2
  • 2
  • 1
  • 1
  • 1
  • 1
  • 1
  • 1
  • 1
  • 1
  • 1
  • 1
  • 1
This RFTN2 antibody is un-conjugated

Application

  • 22
  • 13
  • 13
  • 9
  • 3
  • 3
  • 1
ELISA, Immunohistochemistry (IHC), Immunofluorescence (IF)
  • Binding Specificity

    • 15
    • 4
    • 3
    • 1
    • 1
    • 1
    AA 1-300

    Purpose

    RFTN2 Antibody

    Purification

    Protein G purified

    Purity

    >95 %

    Immunogen

    Recombinant Human Raftlin-2 protein (1-300AA)

    Isotype

    IgG
  • Application Notes

    Optimal working dilution should be determined by the investigator.

    Restrictions

    For Research Use only
  • Format

    Liquid

    Buffer

    Preservative: 0.03 % Proclin 300
    Constituents: 50 % Glycerol, 0.01M PBS, PH 7.4

    Preservative

    ProClin

    Precaution of Use

    This product contains ProClin: a POISONOUS AND HAZARDOUS SUBSTANCE which should be handled by trained staff only.

    Storage

    -20 °C,-80 °C

    Storage Comment

    Upon receipt, store at -20°C or -80°C. Avoid repeated freeze.
  • Target

    RFTN2 (Raftlin Family Member 2 (RFTN2))

    Alternative Name

    RFTN2

    Background

    Background: Upon bacterial lipopolysaccharide stimulation, mediates clathrin-dependent internalization of TLR4 in dendritic cells, resulting in activation of TICAM1-mediated signaling and subsequent IFNB1 production. May regulate B-cell antigen receptor-mediated signaling.

    Aliases: Raft-linking protein 2 antibody, Raftlin-2 antibody, Rftn2 antibody, RFTN2_HUMAN antibody

    UniProt

    Q52LD8
You are here:
Chat with us!