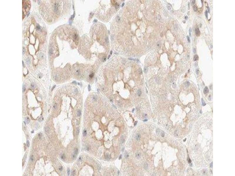
PCK1 antibody (C-Term)
Quick Overview for PCK1 antibody (C-Term) (ABIN6266356)
Target
See all PCK1 AntibodiesReactivity
Host
Clonality
Conjugate
Application
-
-
Binding Specificity
- C-Term
-
Specificity
- PCK1 Antibody detects endogenous levels of total PCK1.
-
Predicted Reactivity
- Bovine,Sheep,Rabbit,Dog
-
Purification
- The antiserum was purified by peptide affinity chromatography using SulfoLinkTM Coupling Resin (Thermo Fisher Scientific).
-
Immunogen
- A synthesized peptide derived from human PCK1, corresponding to a region within C-terminal amino acids.
-
Isotype
- IgG
-
-
-
-
Application Notes
- WB 1:500-1:2000, IHC 1:50-1:200, IF/ICC 1:100-1:500, ELISA(peptide) 1:20000-1:40000
-
Restrictions
- For Research Use only
-
-
-
Format
- Liquid
-
Concentration
- 1 mg/mL
-
Buffer
- Rabbit IgG in phosphate buffered saline , pH 7.4, 150 mM NaCl, 0.02 % sodium azide and 50 % glycerol.
-
Preservative
- Sodium azide
-
Precaution of Use
- This product contains Sodium azide: a POISONOUS AND HAZARDOUS SUBSTANCE which should be handled by trained staff only.
-
Storage
- -20 °C
-
Storage Comment
- Store at -20 °C. Stable for 12 months from date of receipt.
-
Expiry Date
- 12 months
-
-
- PCK1 (phosphoenolpyruvate Carboxykinase 1 (Soluble) (PCK1))
-
Alternative Name
- PCK1
-
Background
-
Description: Catalyzes the conversion of oxaloacetate (OAA) to phosphoenolpyruvate (PEP), the rate-limiting step in the metabolic pathway that produces glucose from lactate and other precursors derived from the citric acid cycle.
Gene: PCK1
-
Molecular Weight
- 69kDa
-
Gene ID
- 5105
-
UniProt
- P35558
-
Pathways
- Positive Regulation of Peptide Hormone Secretion, Carbohydrate Homeostasis
Target
-