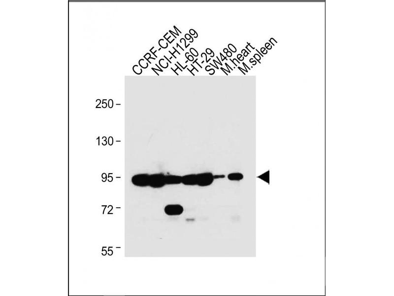
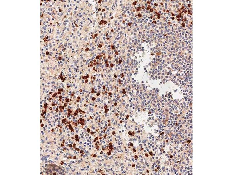
Western Blotting (WB), Immunohistochemistry (Paraffin-embedded Sections) (IHC (p))
Clone
RB29527
Binding Specificity
AA 923-951, C-Term
Purification
This antibody is purified through a protein A column, followed by peptide affinity purification.
Immunogen
This NOD1 antibody is generated from rabbits immunized with a KLH conjugated synthetic peptide between 923-951 amino acids from the C-terminal region of human NOD1.
This gene encodes a member of the NOD (nucleotide-binding oligomerization domain) family. This member is a cytosolic protein. It contains an N-terminal caspase recruitment domain (CARD), a centrally located nucleotide-binding domain (NBD), and 10 tandem leucine-rich repeats (LRRs) in its C terminus. The CARD is involved in apoptotic signaling, LRRs participate in protein-protein interactions, and mutations in the NBD may affect the process of oligomerization and subsequent function of the LRR domain. This protein is an intracellular pattern-recognition receptor (PRR) that initiates inflammation in response to a subset of bacteria through the detection of bacterial diaminopimelic acid. Multiple alternatively spliced transcript variants differring in the 5' UTR have been described, but the full-length nature of these variants has not been determined.