Phone:
+1 877 302 8632
Fax:
+1 888 205 9894 (Toll-free)
E-Mail:
orders@antibodies-online.com

ErbB2/Her2 antibody (Extracellular Domain)

This Rabbit Monoclonal antibody specifically detects ErbB2/Her2 in WB, IHC and ELISA. It exhibits reactivity toward Human.
Rockland
Catalog No. ABIN6655455
Supplier Product No.: 900-c01-b37
$474.00
Plus shipping costs $50.00
100 μL
Shipping to: United States
Delivery in 1 to 3 Business Days

Quick Overview for ErbB2/Her2 antibody (Extracellular Domain) (ABIN6655455)

Target

See all ErbB2/Her2 Antibodies
ErbB2/Her2 (Receptor tyrosine-protein kinase erbB-2 (ErbB2/Her2))

Reactivity

  • 556
  • 125
  • 119
  • 33
  • 8
  • 5
  • 3
  • 3
  • 3
  • 3
  • 1
  • 1
  • 1
  • 1
  • 1
  • 1
  • 1
  • 1
  • 1
Human

Host

  • 305
  • 200
  • 62
  • 10
  • 6
  • 3
  • 2
  • 2
  • 1
Rabbit

Clonality

  • 303
  • 282
  • 3
Monoclonal

Conjugate

  • 349
  • 28
  • 23
  • 8
  • 8
  • 8
  • 8
  • 8
  • 8
  • 8
  • 8
  • 8
  • 8
  • 7
  • 7
  • 7
  • 6
  • 6
  • 6
  • 6
  • 6
  • 6
  • 6
  • 6
  • 6
  • 6
  • 6
  • 6
  • 5
  • 4
  • 3
  • 2
  • 2
This ErbB2/Her2 antibody is un-conjugated

Application

  • 311
  • 140
  • 137
  • 128
  • 128
  • 93
  • 80
  • 60
  • 57
  • 52
  • 48
  • 30
  • 30
  • 12
  • 9
  • 8
  • 6
  • 5
  • 3
  • 3
  • 2
  • 1
  • 1
  • 1
  • 1
  • 1
  • 1
  • 1
  • 1
  • 1
  • 1
Western Blotting (WB), Immunohistochemistry (IHC), ELISA

Clone

SP3
  • Binding Specificity

    • 41
    • 38
    • 34
    • 27
    • 25
    • 24
    • 21
    • 17
    • 17
    • 15
    • 13
    • 12
    • 9
    • 6
    • 5
    • 5
    • 5
    • 5
    • 4
    • 4
    • 4
    • 4
    • 4
    • 4
    • 4
    • 3
    • 3
    • 3
    • 3
    • 3
    • 3
    • 3
    • 3
    • 3
    • 3
    • 2
    • 2
    • 2
    • 2
    • 2
    • 2
    • 2
    • 2
    • 2
    • 2
    • 2
    • 2
    • 2
    • 2
    • 2
    Extracellular Domain

    Supplier Product No.

    900-c01-b37

    Supplier

    Rockland

    Purpose

    c-erbB2 Antibody

    Cross-Reactivity (Details)

    The antibody is specific for human c-erbB2 protein.

    Purification

    Anti-erbB2 Antibody is clarified tissue culture supernate.

    Sterility

    Sterile filtered

    Immunogen

    erbB2 monoclonal antibody was produced by repeated immunizations with a recombinant protein corresponding to amino acid residues encoding the extracellular domain of human c-erbB2 protein. The hybridoma was produced by fusing New Zealand White rabbit splenocytes and myeloma cells using conventional technology.

    Isotype

    IgG
  • Application Notes

    ELISA_Dilution: 1:10,000

    Immunohistochemistry_Dilution: 1:100

    Western_Blot_Dilution: 1:200-1:500

    Comment

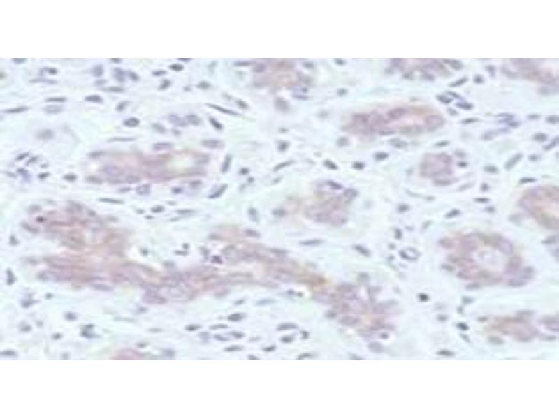
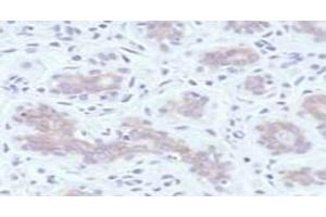
    Anti-erbB2 Antibody monoclonal antibody contains TBS/1% BSA. Anti-erbB2 Antibody is tested with IHC and is suitable for ELISA and western blotting. Specific conditions for reactivity should be optimized by the end user. Expect a band approximately 185 kDa in size corresponding to c-erbB2 protein by western blotting in the appropriate cell lysate or extract. For immunohistochemistry, samples should be formalin fixed and paraffin embedded. Deparaffinize slides using xylene or xylene alternatives and graded alcohols. Staining requires boiling of sections in 10 mM citrate buffer pH 6.0 for 10 min followed by cooling at RT for 20 min. C-erbB2 is found in human breast carcinoma tissue at the cell membrane.

    Restrictions

    For Research Use only
  • Format

    Liquid

    Buffer

    Buffer: See application note.

    Stabilizer: 10 mg/mL Bovine Serum Albumin (BSA) - Immunoglobulin and Protease free

    Preservative: 0.1 % (w/v) Sodium Azide

    Preservative

    Sodium azide

    Precaution of Use

    This product contains Sodium azide: a POISONOUS AND HAZARDOUS SUBSTANCE which should be handled by trained staff only.

    Storage

    4 °C

    Storage Comment

    Store at 2-8°C. Do not freeze. The user must validate any other storage conditions. When properly stored, the reagent is stable to the date indicated on the label. Do not use the reagent beyond the expiration date.

    Expiry Date

    12 months
  • Target

    ErbB2/Her2 (Receptor tyrosine-protein kinase erbB-2 (ErbB2/Her2))

    Alternative Name

    c-erbB2

    Background

    Synonyms: rabbit anti-c-erbB2 Antibody, Receptor tyrosine-protein kinase erbB-2, p185erbB2, C-erbB-2, NEU proto-oncogene, tyrosine kinase-type cell surface receptor HER2, MLN 19, CD340

    Background: The ERBB2 gene encodes a member of the tyrosine protein kinase superfamily that is an essential component of a neuregulin-receptor complex called c-erbB2 (also known as Receptor tyrosine-protein kinase erbB-2, p185erbB2, C-erbB-2, NEU proto-oncogene, tyrosine kinase-type cell surface receptor HER2, MLN 19 and CD340), although neuregulins do not interact with it alone. GP30 is a potential ligand for this receptor. C-erbB2 is not activated by EGF, TGF-alpha and amphiregulin. Defects in ERBB2 are associated with gastric cancer, familial glioma of brain (glioblastoma multiforme), ovarian cancer and lung cancer (adenocarcinoma of lung). c-erbB2 antibody is ideal for Cancer and Signal Transduction research.

    Gene Name: ERBB2

    Gene ID

    2064

    NCBI Accession

    NP_001005862

    UniProt

    P04626

    Pathways

    RTK Signaling, Fc-epsilon Receptor Signaling Pathway, EGFR Signaling Pathway, Neurotrophin Signaling Pathway, Skeletal Muscle Fiber Development
You are here:
Chat with us!