Phone:
+1 877 302 8632
Fax:
+1 888 205 9894 (Toll-free)
E-Mail:
orders@antibodies-online.com

TNFAIP3 antibody (C-Term)

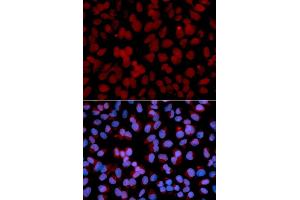
The Mouse Monoclonal anti-TNFAIP3 antibody (Clone 59A426) (ABIN6655643) specifically detects TNFAIP3 in WB, IHC, IF, IP and FACS. The antibody is reactive with Human samples.
Rockland
Catalog No. ABIN6655643
Supplier Product No.: 200-301-h52
$657.00
Plus shipping costs $50.00, if applicable $20.00 dry ice
100 μg
Shipping to: United States
Delivery in 1 to 3 Business Days

Quick Overview for TNFAIP3 antibody (C-Term) (ABIN6655643)

Target

See all TNFAIP3 Antibodies
TNFAIP3 (Tumor Necrosis Factor, alpha-Induced Protein 3 (TNFAIP3))

Reactivity

  • 63
  • 31
  • 25
  • 4
  • 1
Human

Host

  • 59
  • 3
  • 1
Mouse

Clonality

  • 41
  • 22
Monoclonal

Conjugate

  • 21
  • 5
  • 4
  • 3
  • 3
  • 3
  • 3
  • 3
  • 3
  • 2
  • 1
  • 1
  • 1
  • 1
  • 1
  • 1
  • 1
  • 1
  • 1
  • 1
  • 1
  • 1
  • 1
This TNFAIP3 antibody is un-conjugated

Application

  • 28
  • 16
  • 15
  • 14
  • 13
  • 13
  • 12
  • 10
  • 7
  • 4
  • 3
  • 1
  • 1
  • 1
Western Blotting (WB), Immunohistochemistry (IHC), Immunofluorescence (IF), Immunoprecipitation (IP), Flow Cytometry (FACS)

Clone

59A426
  • Binding Specificity

    • 15
    • 5
    • 4
    • 2
    • 1
    • 1
    • 1
    • 1
    • 1
    • 1
    • 1
    • 1
    • 1
    • 1
    C-Term

    Supplier Product No.

    200-301-h52

    Supplier

    Rockland

    Purpose

    A20 Antibody

    Cross-Reactivity (Details)

    A BLAST analysis was used to suggest cross-reactivity with Anti-A20 from Human, Mouse and rat based on 100 % homology with the immunizing sequence.

    Purification

    Anti-A20 Antibody was purified by Protein G chromatography.

    Immunogen

    A20 Antibody was produced in mice by repeated immunizations with recombinant human A20 protein at the c-terminus.

    Isotype

    IgG1 kappa
  • Application Notes

    Immunoprecipitation_Dilution: 1-2 μg/mL

    Western_Blot_Dilution: 2-4 μg/mL

    Comment

    Anti-A20 antibody is tested for use in WB, Flow, Flow-IC, ICC/IF, IHC, IHC-P, and IP. Expect a band approximately 90kDa on specific lysates. Specific conditions for reactivity should be optimized by the end user.

    Restrictions

    For Research Use only
  • Format

    Liquid

    Buffer

    Buffer: 0.02 M Potassium Phosphate, 0.15 M Sodium Chloride, pH 7.2

    Stabilizer: 0.05 % BSA

    Preservative: 0.05 % (w/v) Sodium Azide

    Preservative

    Sodium azide

    Precaution of Use

    This product contains Sodium azide: a POISONOUS AND HAZARDOUS SUBSTANCE which should be handled by trained staff only.

    Storage

    4 °C,-20 °C

    Storage Comment

    Store vial at -20° C prior to opening. Aliquot contents and freeze at -20° C or below for extended storage. Avoid cycles of freezing and thawing. Centrifuge product if not completely clear after standing at room temperature. This product is stable for several weeks at 4° C as an undiluted liquid. Dilute only prior to immediate use.

    Expiry Date

    12 months
  • Target

    TNFAIP3 (Tumor Necrosis Factor, alpha-Induced Protein 3 (TNFAIP3))

    Alternative Name

    TNFAIP3

    Background

    Synonyms: OTUD7C, Tumor necrosis factor alpha-induced protein 3, TNF alpha-induced protein 3, OTU domain-containing protein 7C, A20p50, A20p37

    Background: Anti-A20 antibody detects human A20. A20 (TNFAIP3) is an important regulator of proinflammatory signaling pathways, including NK-kB sginaling. A20 is upregulated through NF-kB (p50/p55) activation, and subsequently down regulates NF-kB through its dual function as a deubiquitinase and ubiquitin ligase. The A20 monoclonal antibody has been instrumental in discovering various nuances of NF-kB regulation and key to defining A20 biology. Anti-A20 antibody is ideal for investigators involved in NFkappaB and Signaling research.

    Gene Name: TNFAIP3

    Gene ID

    7128

    NCBI Accession

    NP_001257436

    UniProt

    P21580

    Pathways

    TLR Signaling, Activation of Innate immune Response, Cellular Response to Molecule of Bacterial Origin, Production of Molecular Mediator of Immune Response
You are here:
Chat with us!