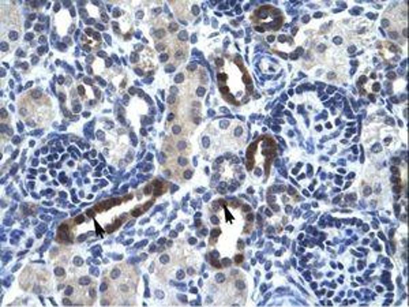
TSFM antibody (AA 76-125)
Quick Overview for TSFM antibody (AA 76-125) (ABIN6735975)
Target
See all TSFM AntibodiesReactivity
Host
Clonality
Conjugate
Application
-
-
Binding Specificity
- AA 76-125
-
Specificity
- Human TSFM
-
Predicted Reactivity
- Percent identity by BLAST analysis: Human (100%) Mouse, Dog, Guinea pig (92%) Rabbit (85%).
-
Purification
- Immunoaffinity purified
-
Immunogen
-
Synthetic peptide located between aa76-125 of human TSFM (P43897-2, NP_005717). Percent identity by BLAST analysis: Human, Chimpanzee, Gorilla, Gibbon, Monkey, Galago, Marmoset, Hamster, Elephant (100%), Mouse, Rat, Panda, Dog, Bovine, Bat, Horse, Guinea pig, Xenopus (92%), Rabbit (85%).
Type of Immunogen: Synthetic peptide -
Isotype
- IgG
-
-
-
-
Application Notes
- Approved: IHC, IHC-P, WB (0.2 - 1 μg/mL)
-
Comment
-
Target Species of Antibody: Human
-
Restrictions
- For Research Use only
-
-
-
Format
- Lyophilized
-
Reconstitution
- After adding water, will consist of PBS buffer with 2 % sucrose
-
Concentration
- Lot specific
-
Buffer
- Lyophilized from PBS with 2 % sucrose
-
Handling Advice
- Avoid repeat freeze-thaw cycles.
-
Storage
- 4 °C,-20 °C
-
Storage Comment
-
Long term: -20°C, the use of 50% glycerol is recommended if storing aliquots in -20°C for long term use (up to 1 year)
Short term (less than 1 week): 4°C. Avoid freeze-thaw cycles.
-
-
-