TSFM antibody
Quick Overview for TSFM antibody (ABIN7258914)
Target
See all TSFM AntibodiesReactivity
Host
Clonality
Conjugate
Application
-
-
Characteristics
- Polyclonal Antibody
-
Purification
- Affinity purification
-
Immunogen
- Recombinant fusion protein of human TSFM (NP_001166167).
-
Isotype
- IgG
-
-
-
-
Application Notes
- WB 1:500-1:2000 IF 1:50-1:100
-
Restrictions
- For Research Use only
-
-
-
Format
- Liquid
-
Concentration
- 1 mg/mL
-
Buffer
- PBS with 0.02 % sodium azide, 50 % glycerol, pH 7.3
-
Preservative
- Sodium azide
-
Precaution of Use
- This product contains Sodium azide: a POISONOUS AND HAZARDOUS SUBSTANCE which should be handled by trained staff only.
-
Storage
- -20 °C
-
Storage Comment
- Store at -20°C. Avoid freeze / thaw cycles.
-
-
- TSFM (Ts Translation Elongation Factor, Mitochondrial (TSFM))
-
Alternative Name
- TSFM
-
Background
- This gene encodes a mitochondrial translation elongation factor. The encoded protein is an enzyme that catalyzes the exchange of guanine nucleotides on the translation elongation factor Tu during the elongation step of mitchondrial protein translation. Mutations in this gene are associated with combined oxidative phosphorylation deficiency-3 syndrome. Alternate splicing results in multiple transcript variants.
-
Molecular Weight
-
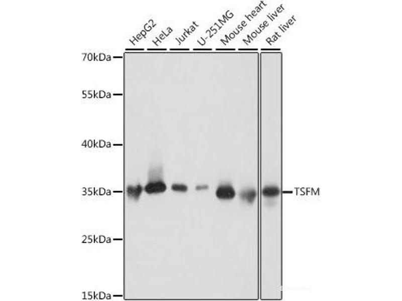
Observed_MW: 35 kDa
Calculated_MW: 18 kDa/23 kDa/35 kDa/37 kDa
-
Gene ID
- 10102
-
UniProt
- P43897
Target
-