×
For best experience we recommend to activate Javascript in your browser.
TSFM antibody
The Rabbit Monoclonal anti-TSFM antibody is suitable to detect TSFM in samples from Human. It has been validated for WB, IF and IP.
Catalog No. ABIN7271021
$393.00
Plus shipping costs $50.00
20 μL ABIN7758396
100 μL ABIN7271021
500 μL ABIN7758391
1000 μL ABIN7758393
20 μL ABIN7758396
100 μL ABIN7271021
500 μL ABIN7758391
1000 μL ABIN7758393
Delivery in 7 to 10 Business Days
Quick Overview for TSFM antibody (ABIN7271021)
Target
See all TSFM Antibodies
TSFM
(Ts Translation Elongation Factor, Mitochondrial (TSFM))
Reactivity
All reactivities for TSFM antibodies
Human
Host
All hosts for TSFM antibodies
Rabbit
Clonality
All clonalities for TSFM antibodies
Monoclonal
Conjugate
All conjugates for TSFM antibodies
This TSFM antibody is un-conjugated
Application
All applications for TSFM antibodies
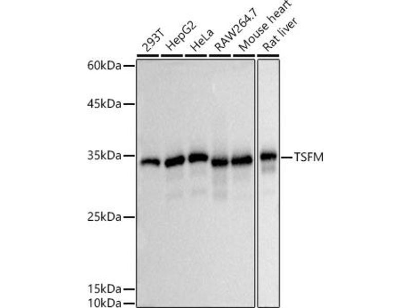
Western Blotting (WB), Immunofluorescence (IF), Immunoprecipitation (IP)
Product Details anti-TSFM Antibody
(hide)
Purpose
TSFM Rabbit mAb
Cross-Reactivity
Human, Mouse, Rat
Characteristics
Monoclonal Antibodies
Purification
Affinity purification
Immunogen
Recombinant protein of Human TSFM.
Isotype
IgG
Alternatives
(show)
Application Details
(hide)
Application Notes
WB,1:500 - 1:2000,IF,1:50 - 1:200,IP,1:50 - 1:200
Restrictions
For Research Use only
Handling
(hide)
Format
Liquid
Buffer
PBS with 0.02 % sodium azide,0.05 % BSA,50 % glycerol, pH 7.3.
Preservative
Sodium azide
Precaution of Use
This product contains Sodium azide: a POISONOUS AND HAZARDOUS SUBSTANCE which should be handled by trained staff only.
Storage
-20 °C
Storage Comment
Store at -20°C. Avoid freeze / thaw cycles.
Target Details for TSFM
(hide)
Target
TSFM
(Ts Translation Elongation Factor, Mitochondrial (TSFM))
Alternative Name
TSFM
Background
This gene encodes a mitochondrial translation elongation factor. The encoded protein is an enzyme that catalyzes the exchange of guanine nucleotides on the translation elongation factor Tu during the elongation step of mitchondrial protein translation. Mutations in this gene are associated with combined oxidative phosphorylation deficiency-3 syndrome. Alternate splicing results in multiple transcript variants.,TSFM,EFTS,EFTSMT,Epigenetics & Nuclear Signaling,Endocrine & Metabolism,Mitochondrial metabolism,TSFM
Molecular Weight
18kDa/23kDa/35kDa/37kDa
Gene ID
10102
UniProt
P43897
Recently viewed
(hide)
You are here:
Homepage
anti-TSFM antibody (ABIN7271021)
Chat with us , powered by LiveChat