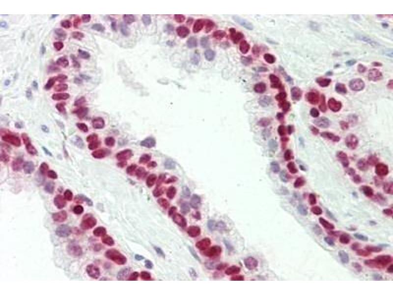
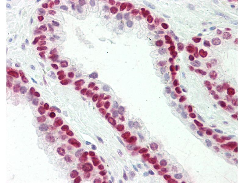
HMGN1 antibody (C-Term)
Quick Overview for HMGN1 antibody (C-Term) (ABIN6754888)
Target
See all HMGN1 AntibodiesReactivity
Host
Clonality
Conjugate
Application
-
-
Binding Specificity
- C-Term
-
Specificity
- Human HMGN1
-
Purification
- Immunoaffinity purified
-
Immunogen
-
Synthetic peptide from C-Terminus of human HMGN1 (Q6NSG7, NP_004956). Percent identity by BLAST analysis: Human, Chimpanzee, Gorilla, Gibbon, Baboon, Monkey, Marmoset, Bovine, Horse, Pig (100%), Rabbit, Guinea pig, Armadillo (92%).
Type of Immunogen: Synthetic peptide
-
-
-
-
Application Notes
-
Approved: IHC, IHC-P (5 μg/mL), WB (0.2 - 1 μg/mL)
Usage: Western Blot: Suggested dilution at 1 μg/mL in 5 % skim milk / PBS buffer, and HRP conjugated anti-Rabbit IgG should be diluted in 1: 50,000 - 100,000 as secondary antibody. -
Comment
-
Target Species of Antibody: Human
-
Restrictions
- For Research Use only
-
-
-
Format
- Lyophilized
-
Reconstitution
- Distilled water
-
Concentration
- Lot specific
-
Buffer
- Lyophilized from PBS with 2 % sucrose
-
Handling Advice
- Avoid repeat freeze-thaw cycles.
-
Storage
- 4 °C,-20 °C
-
Storage Comment
-
Long term: -20°C, the use of 50% glycerol is recommended if storing aliquots in -20°C for long term use (up to 1 year)
Short term (less than 1 week): 4°C. Avoid freeze-thaw cycles.
-
-
- HMGN1 (High Mobility Group Nucleosome Binding Domain 1 (HMGN1))
-
Alternative Name
- HMGN1
-
Background
-
Name/Gene ID: HMGN1
Synonyms: HMGN1, HMG14 -
Gene ID
- 3150
-
NCBI Accession
- NP_004956
-
Pathways
- Chromatin Binding
Target
-