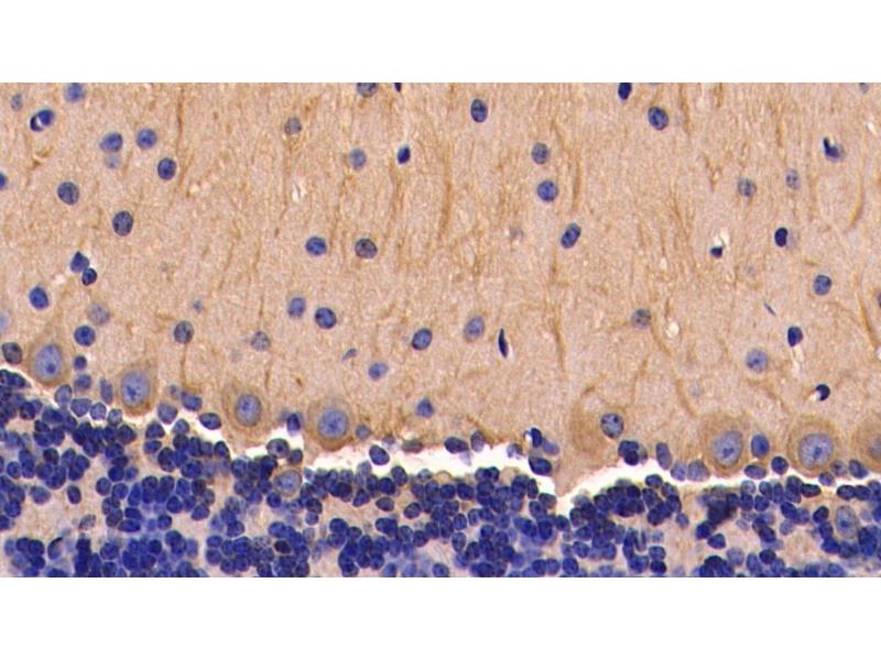
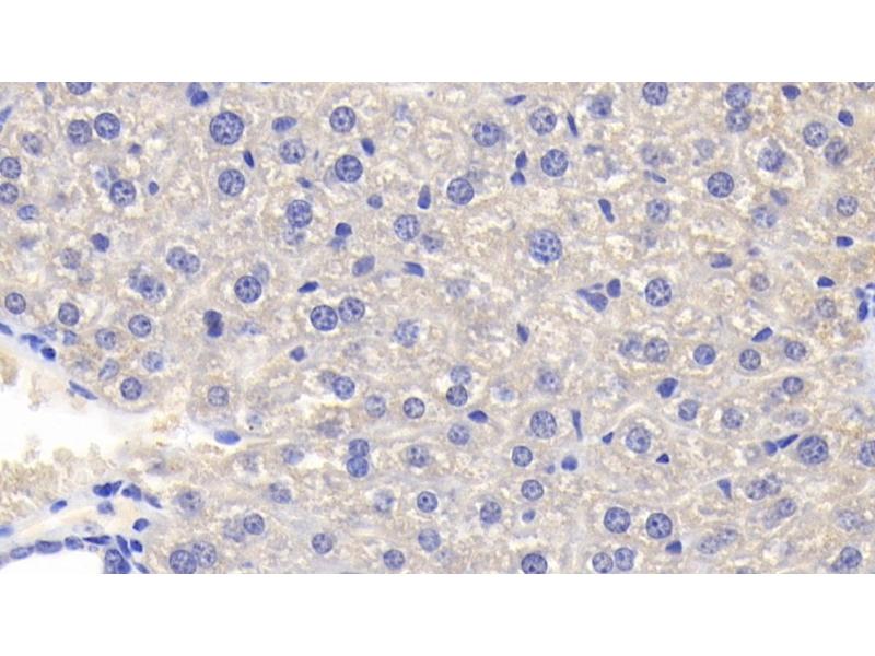
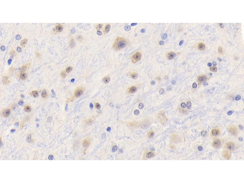
TNF alpha antibody (AA 80-235)
Quick Overview for TNF alpha antibody (AA 80-235) (ABIN7429991)
Target
See all TNF alpha AntibodiesReactivity
Host
Clonality
Conjugate
Application
-
-
Binding Specificity
- AA 80-235
-
Purpose
- Polyclonal Antibody to Tumor Necrosis Factor Alpha (TNFa)
-
Specificity
- The antibody is a rabbit polyclonal antibody raised against TNFa. It has been selected for its ability to recognize TNFa in immunohistochemical staining and western blotting.
-
Cross-Reactivity
- Human, Rat
-
Purification
- Antigen-specific affinity chromatography followed by Protein A affinity chromatography
-
Immunogen
- Recombinant Tumor Necrosis Factor Alpha (TNFa) corresdonding to Leu80~Leu235 with N-terminal His Tag
-
Isotype
- IgG
-
-
-
-
Application Notes
- Western blotting: 0.01-2 μg/mL,Immunohistochemistry: 5-40 μg/mL,Immunocytochemistry: 5-40 μg/mL,Optimal working dilutions must be determined by end user.
-
Comment
-
The thermal stability is described by the loss rate. The loss rate was determined by accelerated thermal degradation test, that is, incubate the protein at 37°C for 48h, and no obvious degradation and precipitation were observed. The loss rate is less than 5% within the expiration date under appropriate storage condition.
-
Restrictions
- For Research Use only
-
-
-
Format
- Liquid
-
Concentration
- 0.5 mg/mL
-
Buffer
- 0.01M PBS, pH 7.4, containing 0.05 % Proclin-300, 50 % glycerol.
-
Preservative
- ProClin
-
Precaution of Use
- This product contains ProClin: a POISONOUS AND HAZARDOUS SUBSTANCE which should be handled by trained staff only.
-
Storage
- 4 °C,-20 °C
-
Storage Comment
- Store at 4°C for frequent use. Stored at -20°C in a manual defrost freezer for two year without detectable loss of activity. Avoid repeated freeze-thaw cycles.
-
Expiry Date
- 24 months
-
-
- TNF alpha (Tumor Necrosis Factor alpha (TNF alpha))
-
Alternative Name
- TNFa
-
Background
- DIF, TNF-A, TNFSF2, Cachectin, Tumor Necrosis Factor Ligand Superfamily Member 2
-
UniProt
- P06804
-
Pathways
- NF-kappaB Signaling, Apoptosis, Caspase Cascade in Apoptosis, TLR Signaling, Cellular Response to Molecule of Bacterial Origin, Regulation of Leukocyte Mediated Immunity, Positive Regulation of Immune Effector Process, Production of Molecular Mediator of Immune Response, Positive Regulation of Endopeptidase Activity, Hepatitis C, Protein targeting to Nucleus, Inflammasome
Target
-