Phone:
+1 877 302 8632
Fax:
+1 888 205 9894 (Toll-free)
E-Mail:
orders@antibodies-online.com

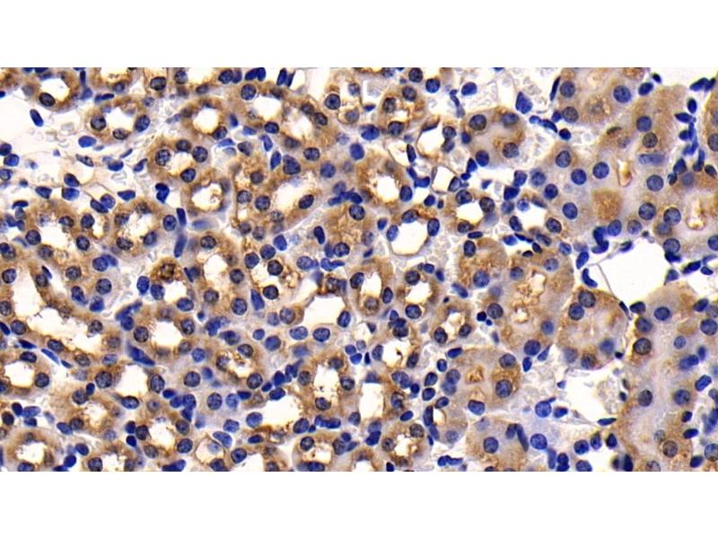
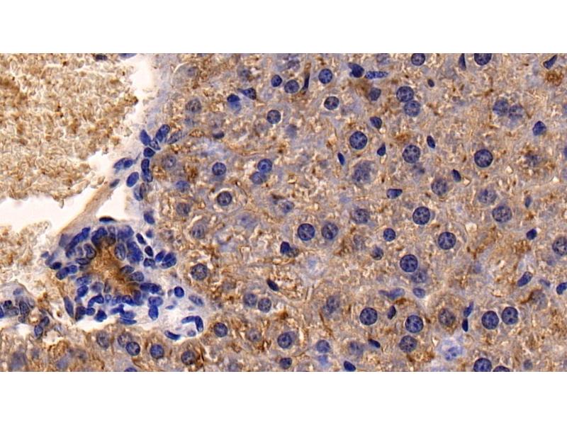
DPP4 antibody (AA 631-760)

The Rabbit Polyclonal anti-DPP4 antibody is suitable to detect DPP4 in samples from Mouse. It has been validated for WB, IHC, IP and ICC.
Catalog No. ABIN7438238
$308.12
Plus shipping costs $50.00
Shipping to: United States
Delivery in 13 to 17 Business Days

Quick Overview for DPP4 antibody (AA 631-760) (ABIN7438238)

Target

See all DPP4 Antibodies
DPP4 (Dipeptidyl-Peptidase 4 (DPP4))

Reactivity

  • 138
  • 56
  • 49
  • 5
  • 4
  • 4
  • 3
  • 3
  • 3
  • 3
  • 2
  • 2
  • 2
  • 1
  • 1
  • 1
Mouse

Host

  • 91
  • 74
  • 17
  • 2
  • 1
  • 1
Rabbit

Clonality

  • 103
  • 81
  • 1
Polyclonal

Conjugate

  • 94
  • 24
  • 17
  • 15
  • 8
  • 4
  • 3
  • 2
  • 2
  • 2
  • 2
  • 2
  • 2
  • 1
  • 1
  • 1
  • 1
  • 1
  • 1
  • 1
  • 1
  • 1
This DPP4 antibody is un-conjugated

Application

  • 76
  • 71
  • 50
  • 35
  • 34
  • 30
  • 28
  • 21
  • 7
  • 5
  • 4
  • 4
  • 2
  • 1
  • 1
  • 1
  • 1
Western Blotting (WB), Immunohistochemistry (IHC), Immunoprecipitation (IP), Immunocytochemistry (ICC)
  • Binding Specificity

    • 11
    • 9
    • 7
    • 6
    • 6
    • 6
    • 5
    • 4
    • 3
    • 3
    • 2
    • 2
    • 2
    • 2
    • 1
    • 1
    • 1
    • 1
    • 1
    • 1
    • 1
    • 1
    • 1
    • 1
    • 1
    AA 631-760

    Purpose

    Polyclonal Antibody to Cluster Of Differentiation 26 (CD26)

    Specificity

    The antibody is a rabbit polyclonal antibody raised against CD26. It has been selected for its ability to recognize CD26 in immunohistochemical staining and western blotting.

    Cross-Reactivity

    Chicken, Chinese Hamster, Goat, Human, Pig, Rat, Sheep

    Purification

    Antigen-specific affinity chromatography followed by Protein A affinity chromatography

    Immunogen

    Recombinant Cluster Of Differentiation 26 (CD26) corresdonding to Ser631~His760 (Accession # P28843)

    Isotype

    IgG
  • Application Notes

    Western blotting: 0.5-2 μg/mL,Immunohistochemistry: 5-20 μg/mL,Immunocytochemistry: 5-20 μg/mL,Optimal working dilutions must be determined by end user.

    Comment

    The thermal stability is described by the loss rate. The loss rate was determined by accelerated thermal degradation test, that is, incubate the protein at 37°C for 48h, and no obvious degradation and precipitation were observed. The loss rate is less than 5% within the expiration date under appropriate storage condition.

    Restrictions

    For Research Use only
  • Format

    Liquid

    Concentration

    500 μg/mL

    Buffer

    PBS, pH 7.4, containing 0.02 % Sodium azide, 50 % glycerol.

    Preservative

    Sodium azide

    Precaution of Use

    This product contains Sodium azide: a POISONOUS AND HAZARDOUS SUBSTANCE which should be handled by trained staff only.

    Storage

    4 °C,-20 °C

    Storage Comment

    Store at 4°C for frequent use. Stored at -20°C in a manual defrost freezer for two year without detectable loss of activity. Avoid repeated freeze-thaw cycles.

    Expiry Date

    24 months
  • Target

    DPP4 (Dipeptidyl-Peptidase 4 (DPP4))

    Alternative Name

    CD26

    Background

    CD26, ADA, DPPIV, DPP-IV, DPP4, ADABP, ADCP2, TP103, Adenosine Deaminase Complexing Protein 2, T-cell activation antigen CD26, Dipeptidyl Peptidase IV

    UniProt

    P28843

    Pathways

    Peptide Hormone Metabolism, Regulation of Leukocyte Mediated Immunity
You are here:
Chat with us!