Phone:
+1 877 302 8632
Fax:
+1 888 205 9894 (Toll-free)
E-Mail:
orders@antibodies-online.com

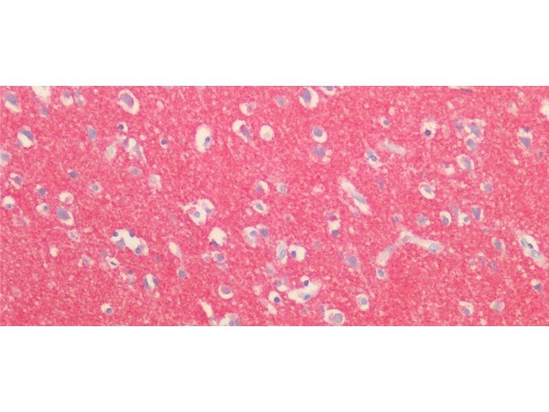
SYN1 antibody (AA 113-420)

The Rabbit Polyclonal anti-SYN1 antibody (ABIN7440944) specifically detects SYN1 in WB, IHC, ICC and IP. The antibody is reactive with Mouse samples.
Catalog No. ABIN7440944
$333.16
Plus shipping costs $50.00
Shipping to: United States
Delivery in 13 to 17 Business Days

Quick Overview for SYN1 antibody (AA 113-420) (ABIN7440944)

Target

See all SYN1 Antibodies
SYN1 (Synapsin I (SYN1))

Reactivity

  • 128
  • 104
  • 84
  • 15
  • 5
  • 4
  • 3
  • 2
  • 2
  • 1
  • 1
Mouse

Host

  • 135
  • 8
Rabbit

Clonality

  • 115
  • 28
Polyclonal

Conjugate

  • 87
  • 7
  • 5
  • 5
  • 5
  • 5
  • 5
  • 5
  • 4
  • 2
  • 1
  • 1
  • 1
  • 1
  • 1
  • 1
  • 1
  • 1
  • 1
  • 1
  • 1
  • 1
  • 1
This SYN1 antibody is un-conjugated

Application

  • 106
  • 55
  • 54
  • 25
  • 13
  • 13
  • 10
  • 8
  • 8
  • 7
  • 3
  • 3
  • 2
  • 1
  • 1
Western Blotting (WB), Immunohistochemistry (IHC), Immunocytochemistry (ICC), Immunoprecipitation (IP)
  • Binding Specificity

    • 38
    • 15
    • 13
    • 10
    • 6
    • 6
    • 4
    • 4
    • 3
    • 3
    • 3
    • 2
    • 2
    • 2
    • 2
    • 2
    • 2
    • 2
    • 1
    • 1
    • 1
    • 1
    • 1
    • 1
    • 1
    • 1
    • 1
    • 1
    • 1
    • 1
    • 1
    • 1
    • 1
    AA 113-420

    Purpose

    Polyclonal Antibody to Synapsin I (SYN1)

    Specificity

    The antibody is a rabbit polyclonal antibody raised against SYN1. It has been selected for its ability to recognize SYN1 in immunohistochemical staining and western blotting.

    Cross-Reactivity

    Human, Rat

    Purification

    Antigen-specific affinity chromatography followed by Protein A affinity chromatography

    Immunogen

    Recombinant Synapsin I (SYN1) corresdonding to Ala113~Arg420 with N-terminal His Tag

    Isotype

    IgG
  • Application Notes

    Western blotting: 0.01-3 μg/mL,Immunohistochemistry: 5-30 μg/mL,Immunocytochemistry: 5-30 μg/mL,Optimal working dilutions must be determined by end user.

    Comment

    The thermal stability is described by the loss rate. The loss rate was determined by accelerated thermal degradation test, that is, incubate the protein at 37°C for 48h, and no obvious degradation and precipitation were observed. The loss rate is less than 5% within the expiration date under appropriate storage condition.

    Restrictions

    For Research Use only
  • Format

    Liquid

    Concentration

    0.5 mg/mL

    Buffer

    PBS, pH 7.4, containing 0.02 % Sodium azide, 50 % glycerol.

    Preservative

    Sodium azide

    Precaution of Use

    This product contains Sodium azide: a POISONOUS AND HAZARDOUS SUBSTANCE which should be handled by trained staff only.

    Storage

    4 °C,-20 °C

    Storage Comment

    Store at 4°C for frequent use. Stored at -20°C in a manual defrost freezer for two year without detectable loss of activity. Avoid repeated freeze-thaw cycles.

    Expiry Date

    24 months
  • Target

    SYN1 (Synapsin I (SYN1))

    Alternative Name

    SYN1

    Background

    SYN1a, SYN1b, SYNI, Brain protein 4.1

    UniProt

    O88935
You are here:
Chat with us!