Phone:
+1 877 302 8632
Fax:
+1 888 205 9894 (Toll-free)
E-Mail:
orders@antibodies-online.com

SYN1 antibody

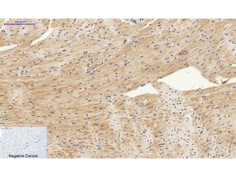
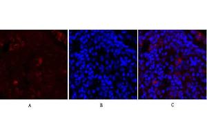
The Rabbit Polyclonal anti-SYN1 antibody (ABIN7210003) specifically detects SYN1 in WB, ELISA, IHC and IF. The antibody is reactive with Human, Rat and Mouse samples.
Catalog No. ABIN7210003
$367.10
Plus shipping costs $50.00
100 μL
Shipping to: United States
Delivery in 12 to 16 Business Days

Quick Overview for SYN1 antibody (ABIN7210003)

Target

See all SYN1 Antibodies
SYN1 (Synapsin I (SYN1))

Reactivity

  • 127
  • 103
  • 84
  • 15
  • 5
  • 4
  • 3
  • 2
  • 2
  • 1
  • 1
Human, Rat, Mouse

Host

  • 135
  • 8
Rabbit

Clonality

  • 115
  • 28
Polyclonal

Conjugate

  • 87
  • 7
  • 5
  • 5
  • 5
  • 5
  • 5
  • 5
  • 4
  • 2
  • 1
  • 1
  • 1
  • 1
  • 1
  • 1
  • 1
  • 1
  • 1
  • 1
  • 1
  • 1
  • 1
This SYN1 antibody is un-conjugated

Application

  • 106
  • 55
  • 53
  • 24
  • 13
  • 13
  • 10
  • 9
  • 9
  • 7
  • 3
  • 3
  • 2
  • 1
  • 1
Western Blotting (WB), ELISA, Immunohistochemistry (IHC), Immunofluorescence (IF)
  • Purpose

    Rabbit Anti-Synapsin I Polyclonal Antibody

    Specificity

    Synapsin I Polyclonal Antibody detects endogenous levels of Synapsin I protein.

    Purification

    The antibody was affinity-purified from rabbit antiserum by affinity-chromatography using epitope-specific immunogen.

    Immunogen

    Synthesized peptide derived from human Synapsin I around the non-phosphorylation site of S9

    Isotype

    IgG
  • Application Notes

    Optimal working dilutions should be determined experimentally by the investigator. Suggested starting dilutions are as follows: WB 1:500-1:2000,IHC 1:100-1:300,IF 1:200-1:1000,ELISA 1:20000,Not yet tested in other applications.

    Restrictions

    For Research Use only
  • Format

    Liquid

    Concentration

    1 mg/mL

    Buffer

    Liquid in PBS containing 50 % glycerol, 0.5 % BSA and 0.02 % sodium azide.

    Preservative

    Sodium azide

    Precaution of Use

    This product contains Sodium azide: a POISONOUS AND HAZARDOUS SUBSTANCE which should be handled by trained staff only.

    Storage

    -20 °C

    Storage Comment

    Stable for one year at -20°C from date of shipment. For maximum recovery of product, centrifuge the original vial after thawing and prior to removing the cap. Aliquot to avoid repeated freezing and thawing.

    Expiry Date

    12 months
  • Target

    SYN1 (Synapsin I (SYN1))

    Alternative Name

    Synapsin I

    Background

    SYN1, Synapsin-1, Brain protein 4.1, Synapsin ISYN1 is a member of the synapsin gene family. Synapsins encode neuronal phosphoproteins which associate with the cytoplasmic surface of synaptic vesicles. Family members are characterized by common protein domains, and they are implicated in synaptogenesis and the modulation of neurotransmitter release, suggesting a potential role in several neuropsychiatric diseases. This member of the synapsin family plays a role in regulation of axonogenesis and synaptogenesis. Synapsin-1 encoded serves as a substrate for several different protein kinases and phosphorylation may function in the regulation of this protein in the nerve terminal. Mutations in this gene may be associated with X-linked disorders with primary neuronal degeneration such as Rett syndrome. Alternatively spliced transcript variants encoding different isoforms have been identified.

    Molecular Weight

    74kD

    Gene ID

    6853

    UniProt

    P17600
You are here:
Chat with us!