CDKN1B antibody (AA 1-198)
Quick Overview for CDKN1B antibody (AA 1-198) (ABIN7445387)
Target
See all CDKN1B AntibodiesReactivity
Host
Clonality
Conjugate
Application
-
-
Binding Specificity
- AA 1-198
-
Purpose
- Polyclonal Antibody to Cyclin Dependent Kinase Inhibitor 1B (CDKN1B)
-
Specificity
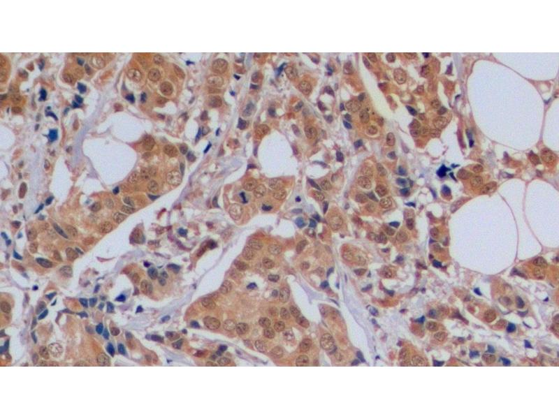
- The antibody is a rabbit polyclonal antibody raised against CDKN1B. It has been selected for its ability to recognize CDKN1B in immunohistochemical staining and western blotting.
-
Cross-Reactivity
- Mouse, Rat
-
Purification
- Antigen-specific affinity chromatography followed by Protein A affinity chromatography
-
Immunogen
- Recombinant Cyclin Dependent Kinase Inhibitor 1B (CDKN1B) corresdonding to Met1~Thr198
-
Isotype
- IgG
-
-
-
-
Application Notes
- Western blotting: 0.01-2 μg/mL,Immunohistochemistry: 5-20 μg/mL,Optimal working dilutions must be determined by end user.
-
Comment
-
The thermal stability is described by the loss rate. The loss rate was determined by accelerated thermal degradation test, that is, incubate the protein at 37°C for 48h, and no obvious degradation and precipitation were observed. The loss rate is less than 5% within the expiration date under appropriate storage condition.
-
Restrictions
- For Research Use only
-
-
-
Format
- Liquid
-
Concentration
- 0.5 mg/mL
-
Buffer
- 0.01M PBS, pH 7.4, containing 0.05 % Proclin-300, 50 % glycerol.
-
Preservative
- ProClin
-
Precaution of Use
- This product contains ProClin: a POISONOUS AND HAZARDOUS SUBSTANCE which should be handled by trained staff only.
-
Storage
- 4 °C,-20 °C
-
Storage Comment
- Store at 4°C for frequent use. Stored at -20°C in a manual defrost freezer for two year without detectable loss of activity. Avoid repeated freeze-thaw cycles.
-
Expiry Date
- 24 months
-
-
- CDKN1B (Cyclin-Dependent Kinase Inhibitor 1B (p27, Kip1) (CDKN1B))
-
Alternative Name
- CDKN1B
-
Background
- CDKN4, KIP1, P27KIP1, p27, Cyclin-dependent kinase inhibitor p27
-
UniProt
- P46527
-
Pathways
- Cell Division Cycle, Fc-epsilon Receptor Signaling Pathway, EGFR Signaling Pathway, Neurotrophin Signaling Pathway, Positive Regulation of Peptide Hormone Secretion, Negative Regulation of Hormone Secretion, Sensory Perception of Sound, Mitotic G1-G1/S Phases, DNA Replication, Positive Regulation of Endopeptidase Activity, Synthesis of DNA, Autophagy
Target
-