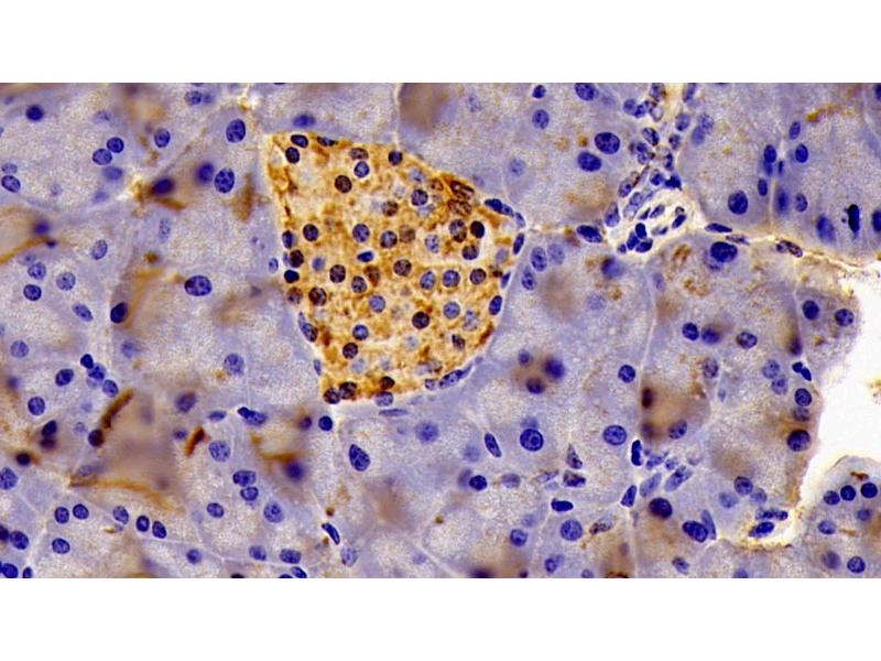
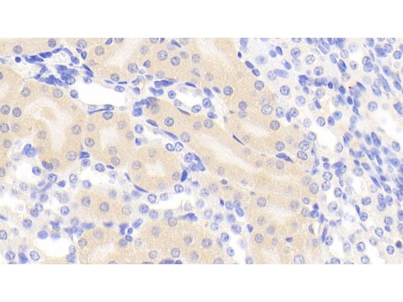
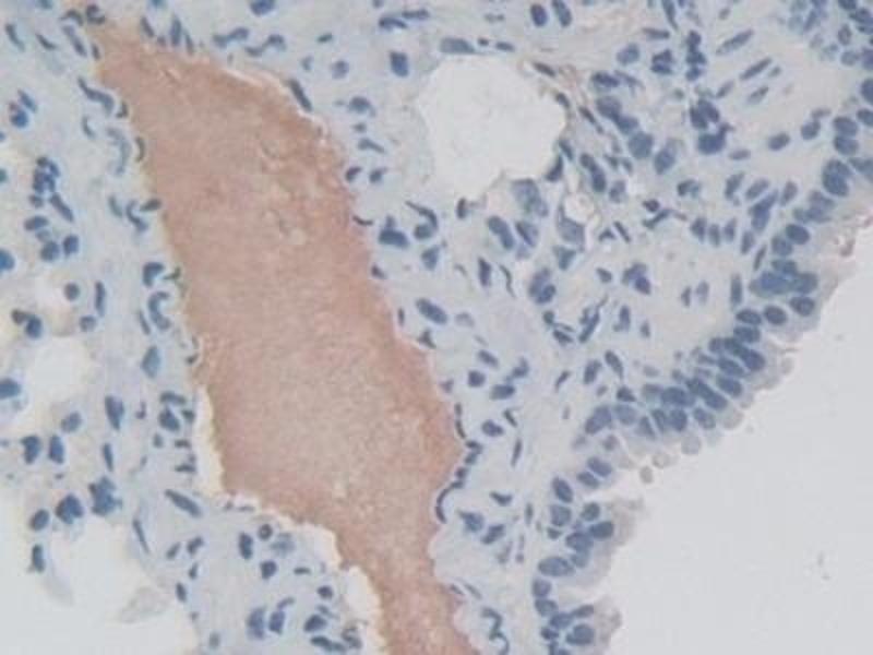
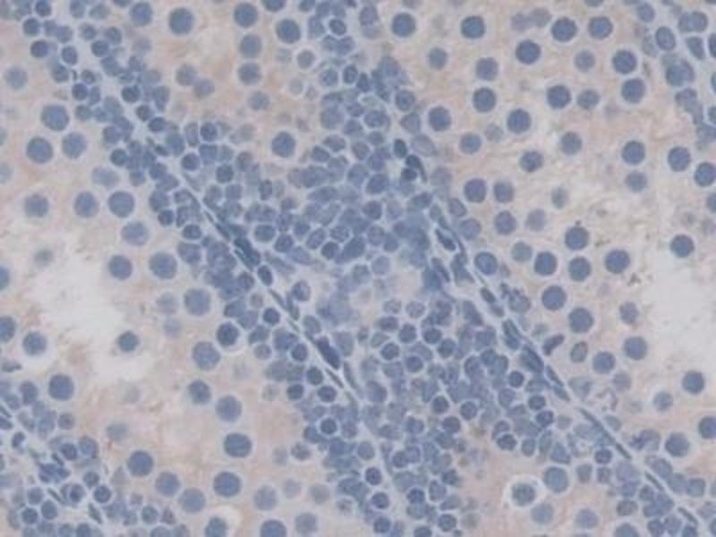
PERK antibody (AA 973-1114)
Quick Overview for PERK antibody (AA 973-1114) (ABIN7441241)
Target
See all PERK (EIF2AK3) AntibodiesReactivity
Host
Clonality
Conjugate
Application
-
-
Binding Specificity
- AA 973-1114
-
Purpose
- Polyclonal Antibody to Eukaryotic Translation Initiation Factor 2 Alpha Kinase 3 (EIF2aK3)
-
Specificity
- The antibody is a rabbit polyclonal antibody raised against EIF2aK3. It has been selected for its ability to recognize EIF2aK3 in immunohistochemical staining and western blotting.
-
Cross-Reactivity
- Human, Pig
-
Purification
- Antigen-specific affinity chromatography followed by Protein A affinity chromatography
-
Immunogen
- Recombinant Eukaryotic Translation Initiation Factor 2 Alpha Kinase 3 (EIF2aK3) corresdonding to Met973~Asn1114
-
Isotype
- IgG
-
-
-
-
Application Notes
- Western blotting: 0.01-2 μg/mL,Immunohistochemistry: 5-20 μg/mL,Immunocytochemistry: 5-20 μg/mL,Optimal working dilutions must be determined by end user.
-
Comment
-
The thermal stability is described by the loss rate. The loss rate was determined by accelerated thermal degradation test, that is, incubate the protein at 37°C for 48h, and no obvious degradation and precipitation were observed. The loss rate is less than 5% within the expiration date under appropriate storage condition.
-
Restrictions
- For Research Use only
-
-
-
Format
- Liquid
-
Concentration
- 0.5 mg/mL
-
Buffer
- 0.01M PBS, pH 7.4, containing 0.05 % Proclin-300, 50 % glycerol.
-
Preservative
- ProClin
-
Precaution of Use
- This product contains ProClin: a POISONOUS AND HAZARDOUS SUBSTANCE which should be handled by trained staff only.
-
Storage
- 4 °C,-20 °C
-
Storage Comment
- Store at 4°C for frequent use. Stored at -20°C in a manual defrost freezer for two year without detectable loss of activity. Avoid repeated freeze-thaw cycles.
-
Expiry Date
- 24 months
-
-
- PERK (EIF2AK3) (Eukaryotic Translation Initiation Factor 2-alpha Kinase 3 (EIF2AK3))
-
Alternative Name
- EIF2aK3
-
Background
- WRS, PEK, PERK, HsPEK, PRKR-like endoplasmic reticulum kinase, Pancreatic eIF2-alpha kinase
-
UniProt
- Q9Z2B5
-
Pathways
- Hormone Transport, ER-Nucleus Signaling, Positive Regulation of Endopeptidase Activity, Hepatitis C, Unfolded Protein Response
Target
-