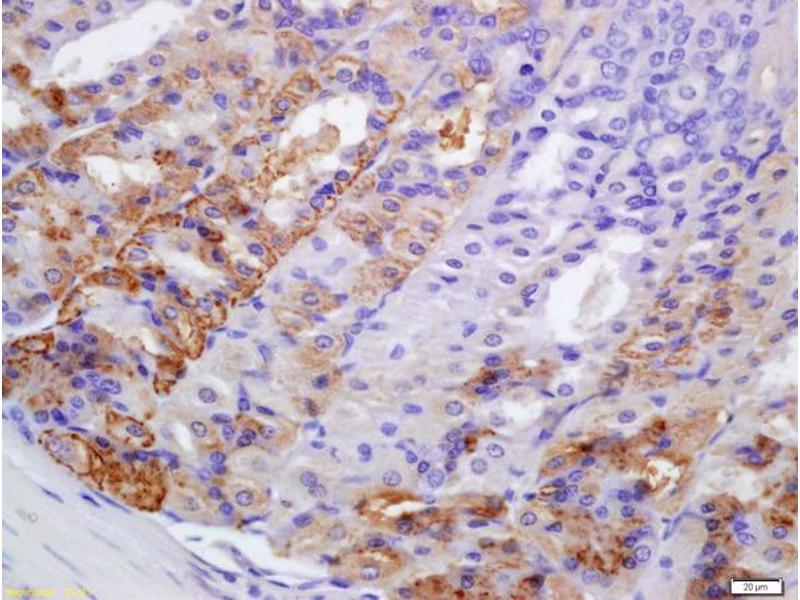
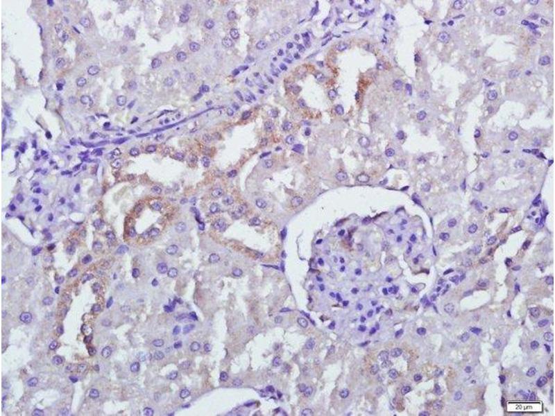
PERK antibody (AA 1001-1116)
Quick Overview for PERK antibody (AA 1001-1116) (ABIN740715)
Target
See all PERK (EIF2AK3) AntibodiesReactivity
Host
Clonality
Conjugate
Application
-
-
Binding Specificity
- AA 1001-1116
-
Cross-Reactivity
- Human, Mouse, Rat
-
Purification
- Purified by Protein A.
-
Immunogen
- KLH conjugated synthetic peptide derived from human PER
-
Isotype
- IgG
-
-
-
-
Application Notes
-
WB 1:300-5000
ELISA 1:500-1000
FCM 1:20-100
IHC-P 1:200-400
IHC-F 1:100-500
IF(IHC-P) 1:50-200
IF(IHC-F) 1:50-200
IF(ICC) 1:50-200 -
Restrictions
- For Research Use only
-
-
-
Format
- Liquid
-
Concentration
- 1 μg/μL
-
Buffer
- 0.01M TBS( pH 7.4) with 1 % BSA, 0.02 % Proclin300 and 50 % Glycerol.
-
Preservative
- ProClin
-
Precaution of Use
- This product contains ProClin: a POISONOUS AND HAZARDOUS SUBSTANCE, which should be handled by trained staff only.
-
Storage
- 4 °C,-20 °C
-
Storage Comment
- Shipped at 4°C. Store at -20°C for one year. Avoid repeated freeze/thaw cycles.
-
Expiry Date
- 12 months
-
-
-
: "Gypenoside Protects against Myocardial Ischemia-Reperfusion Injury by Inhibiting Cardiomyocytes Apoptosis via Inhibition of CHOP Pathway and Activation of PI3K/Akt Pathway In Vivo and In Vitro." in: Cellular physiology and biochemistry : international journal of experimental cellular physiology, biochemistry, and pharmacology, Vol. 39, Issue 1, pp. 123-36, (2016) (PubMed).
: "Sustained endoplasmic reticulum stress inhibits hepatocyte proliferation via downregulation of c-Met expression." in: Molecular and cellular biochemistry, Vol. 389, Issue 1-2, pp. 151-8, (2014) (PubMed).
-
-
- PERK (EIF2AK3) (Eukaryotic Translation Initiation Factor 2-alpha Kinase 3 (EIF2AK3))
-
Alternative Name
- PERK
-
Background
-
Synonyms: PEK, WRS, PERK, Eukaryotic translation initiation factor 2-alpha kinase 3, PRKR-like endoplasmic reticulum kinase, Pancreatic eIF2-alpha kinase, HsPEK, EIF2AK3
Background: Phosphorylates the alpha subunit of eukaryotic translation-initiation factor 2 (EIF2), leading to its inactivation and thus to a rapid reduction of translational initiation and repression of global protein synthesis. Serves as a critical effector of unfolded protein response (UPR)-induced G1 growth arrest due to the loss of cyclin-D1 (CCND1). Involved in control of mitochondrial morphology and function (By similarity).
-
Gene ID
- 9451
-
UniProt
- Q9NZJ5
-
Pathways
- Hormone Transport, ER-Nucleus Signaling, Positive Regulation of Endopeptidase Activity, Hepatitis C, Unfolded Protein Response
Target
-