Phone:
+1 877 302 8632
Fax:
+1 888 205 9894 (Toll-free)
E-Mail:
orders@antibodies-online.com

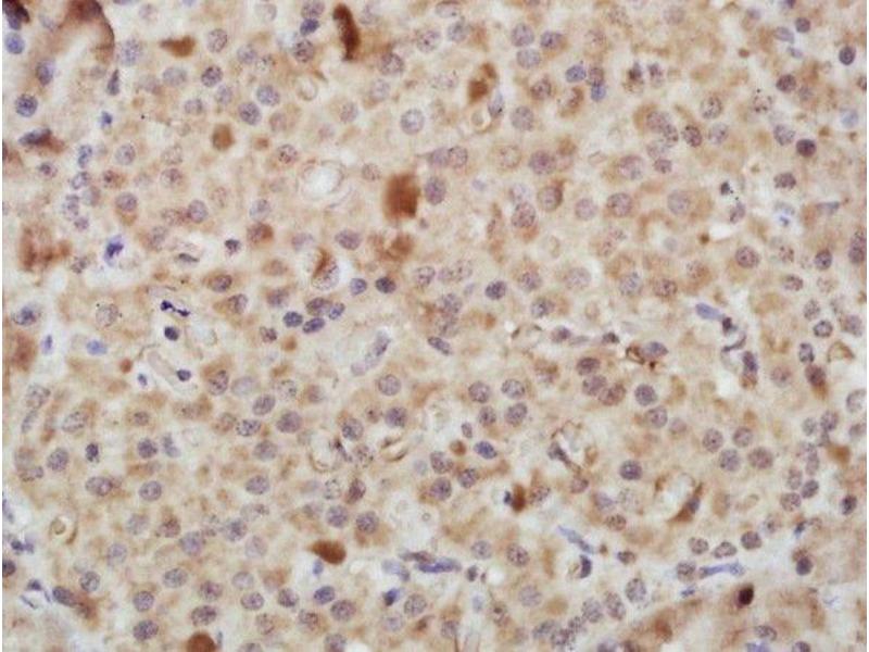
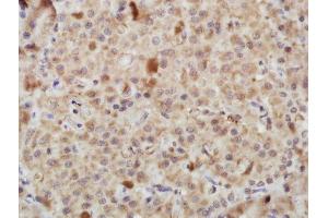
PERK antibody (pThr980)

There are 14+ publications for this product available. The Rabbit Polyclonal anti-PERK antibody is suitable to detect PERK in samples from Human, Mouse, Rat, Dog and Pig. It has been validated for WB, ELISA, IHC (p), FACS, IF (cc), IF (p) and IHC (fro).
Catalog No. ABIN744713
$384.62
Plus shipping costs $50.00
100 μL
Shipping to: United States
Delivery in 4 to 7 Business Days

Quick Overview for PERK antibody (pThr980) (ABIN744713)

Target

See all PERK (EIF2AK3) Antibodies
PERK (EIF2AK3) (Eukaryotic Translation Initiation Factor 2-alpha Kinase 3 (EIF2AK3))

Reactivity

  • 104
  • 62
  • 59
  • 15
  • 15
  • 1
Human, Mouse, Rat, Dog, Pig

Host

  • 93
  • 9
  • 3
  • 1
Rabbit

Clonality

  • 94
  • 12
Polyclonal

Conjugate

  • 48
  • 9
  • 8
  • 5
  • 5
  • 3
  • 2
  • 2
  • 2
  • 2
  • 2
  • 2
  • 2
  • 2
  • 2
  • 2
  • 2
  • 1
  • 1
  • 1
  • 1
  • 1
  • 1
This PERK antibody is un-conjugated

Application

  • 78
  • 54
  • 43
  • 28
  • 25
  • 25
  • 12
  • 10
  • 9
  • 6
  • 5
  • 4
  • 1
  • 1
Western Blotting (WB), ELISA, Immunohistochemistry (Paraffin-embedded Sections) (IHC (p)), Flow Cytometry (FACS), Immunofluorescence (Cultured Cells) (IF (cc)), Immunofluorescence (Paraffin-embedded Sections) (IF (p)), Immunohistochemistry (Frozen Sections) (IHC (fro))
  • Binding Specificity

    • 16
    • 15
    • 11
    • 8
    • 7
    • 7
    • 6
    • 5
    • 2
    • 2
    • 2
    • 2
    • 2
    • 1
    • 1
    • 1
    • 1
    • 1
    • 1
    • 1
    • 1
    pThr980

    Cross-Reactivity

    Dog, Human, Mouse, Pig, Rat

    Predicted Reactivity

    Cow,Rabbit

    Purification

    Purified by Protein A.

    Immunogen

    KLH conjugated synthetic phosphopeptide derived from mouse PERK around the phosphorylation site of Thr980

    Isotype

    IgG
  • Application Notes

    WB 1:300-5000
    ELISA 1:500-1000
    FCM 1:20-100
    IHC-P 1:200-400
    IHC-F 1:100-500
    IF(IHC-P) 1:50-200
    IF(IHC-F) 1:50-200
    IF(ICC) 1:50-200

    Restrictions

    For Research Use only
  • Format

    Liquid

    Concentration

    1 μg/μL

    Buffer

    0.01M TBS( pH 7.4) with 1 % BSA, 0.02 % Proclin300 and 50 % Glycerol.

    Preservative

    ProClin

    Precaution of Use

    This product contains ProClin: a POISONOUS AND HAZARDOUS SUBSTANCE, which should be handled by trained staff only.

    Storage

    4 °C,-20 °C

    Storage Comment

    Shipped at 4°C. Store at -20°C for one year. Avoid repeated freeze/thaw cycles.

    Expiry Date

    12 months
  • Kao, Lai, Chow, Liao, Zheng, Tsai, Hsia, Lai, Lee, Chuang, Whang-Peng, Yao: "Opposite Regulation of CHOP and GRP78 and Synergistic Apoptosis Induction by Selenium Yeast and Fish Oil via AMPK Activation in Lung Adenocarcinoma Cells." in: Nutrients, Vol. 10, Issue 10, (2019) (PubMed).

    Ju, Su, Chen, Ma, Ji, Wang, Li, Li: "Protective effects of Astragaloside IV on endoplasmic reticulum stress-induced renal tubular epithelial cells apoptosis in type 2 diabetic nephropathy rats." in: Biomedicine & pharmacotherapy, Vol. 109, pp. 84-92, (2019) (PubMed).

    Gerbino, Bottillo, Milano, Lipari, Zio, Morlino, Mola, Procino, Re, Zachara, Grammatico, Svelto, Carmosino: "Functional Characterization of a Novel Truncating Mutation in Lamin A/C Gene in a Family with a Severe Cardiomyopathy with Conduction Defects." in: Cellular physiology and biochemistry : international journal of experimental cellular physiology, biochemistry, and pharmacology, Vol. 44, Issue 4, pp. 1559-1577, (2018) (PubMed).

    Fang, Liu, Wu, Liu, Pan, Li: "Upregulation of long noncoding RNA CCAT1-L promotes epithelial-mesenchymal transition in gastric adenocarcinoma." in: OncoTargets and therapy, Vol. 11, pp. 5647-5655, (2018) (PubMed).

    Fang, Yan, Teng, Wen, Li, Peng, Liu, Donadeu, Zhao, Hua: "Melatonin prevents senescence of canine adipose-derived mesenchymal stem cells through activating NRF2 and inhibiting ER stress." in: Aging, Vol. 10, Issue 10, pp. 2954-2972, (2018) (PubMed).

    Mak, Yu, Sun, He, Liu, Yang: "Tetramethylpyrazine suppresses angiotensin II-induced soluble epoxide hydrolase expression in coronary endothelium via anti-ER stress mechanism." in: Toxicology and applied pharmacology, Vol. 336, pp. 84-93, (2017) (PubMed).

    Chen, Holstein, Aime, Bollo, Lechleiter: "Calcineurin β protects brain after injury by activating the unfolded protein response." in: Neurobiology of disease, Vol. 94, pp. 139-56, (2016) (PubMed).

    Carmosino, Gerbino, Schena, Procino, Miglionico, Forleo, Favale, Svelto: "The expression of Lamin A mutant R321X leads to endoplasmic reticulum stress with aberrant Ca(2+) handling." in: Journal of cellular and molecular medicine, Vol. 20, Issue 11, pp. 2194-2207, (2016) (PubMed).

    Yu, Zhang, Zhao, Guo, Li, Li, Zhang, Sun: "Gypenoside Protects against Myocardial Ischemia-Reperfusion Injury by Inhibiting Cardiomyocytes Apoptosis via Inhibition of CHOP Pathway and Activation of PI3K/Akt Pathway In Vivo and In Vitro." in: Cellular physiology and biochemistry : international journal of experimental cellular physiology, biochemistry, and pharmacology, Vol. 39, Issue 1, pp. 123-36, (2016) (PubMed).

    Santanam, Banach-Petrosky, Abate-Shen, Shen, White, DiPaola: "Atg7 cooperates with Pten loss to drive prostate cancer tumor growth." in: Genes & development, Vol. 30, Issue 4, pp. 399-407, (2016) (PubMed).

    Xu, Su, Song, Shi, Fu, Hu, Xia, Song, Song: "Polychlorinated biphenyl quinone induces endoplasmic reticulum stress, unfolded protein response, and calcium release." in: Chemical research in toxicology, Vol. 28, Issue 6, pp. 1326-37, (2015) (PubMed).

    He, Long, Zhong, Fu, Li, Lin: "Sustained endoplasmic reticulum stress inhibits hepatocyte proliferation via downregulation of c-Met expression." in: Molecular and cellular biochemistry, Vol. 389, Issue 1-2, pp. 151-8, (2014) (PubMed).

    Kucuksayan, Konuk, Demir, Mutus, Aslan: "Neutral sphingomyelinase inhibition decreases ER stress-mediated apoptosis and inducible nitric oxide synthase in retinal pigment epithelial cells." in: Free radical biology & medicine, Vol. 72, pp. 113-23, (2014) (PubMed).

    Aslan, Basaranlar, Unal, Ciftcioglu, Derin, Mutus: "Inhibition of neutral sphingomyelinase decreases elevated levels of inducible nitric oxide synthase and apoptotic cell death in ocular hypertensive rats." in: Toxicology and applied pharmacology, (2014) (PubMed).

  • Target

    PERK (EIF2AK3) (Eukaryotic Translation Initiation Factor 2-alpha Kinase 3 (EIF2AK3))

    Alternative Name

    PERK

    Background

    Synonyms: Pek, Perk, AI427929, Eukaryotic translation initiation factor 2-alpha kinase 3, PRKR-like endoplasmic reticulum kinase, Pancreatic eIF2-alpha kinase, Eif2ak3

    Background: Phosphorylates the alpha subunit of eukaryotic translation-initiation factor 2 (EIF2), leading to its inactivation and thus to a rapid reduction of translational initiation and repression of global protein synthesis. Serves as a critical effector of unfolded protein response (UPR)-induced G1 growth arrest due to the loss of cyclin-D1 (CCND1). Involved in control of mitochondrial morphology and function.

    Gene ID

    13666

    UniProt

    Q9Z2B5

    Pathways

    Hormone Transport, ER-Nucleus Signaling, Positive Regulation of Endopeptidase Activity, Hepatitis C, Unfolded Protein Response
You are here:
Chat with us!