Phone:
+1 877 302 8632
Fax:
+1 888 205 9894 (Toll-free)
E-Mail:
orders@antibodies-online.com

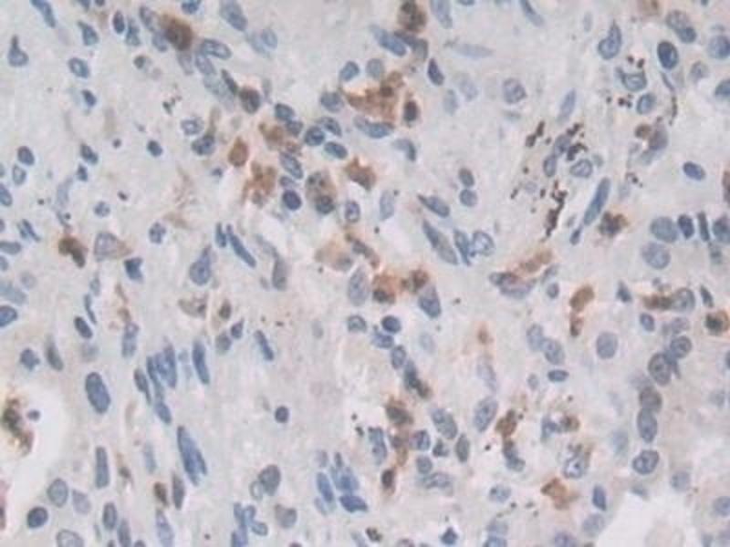
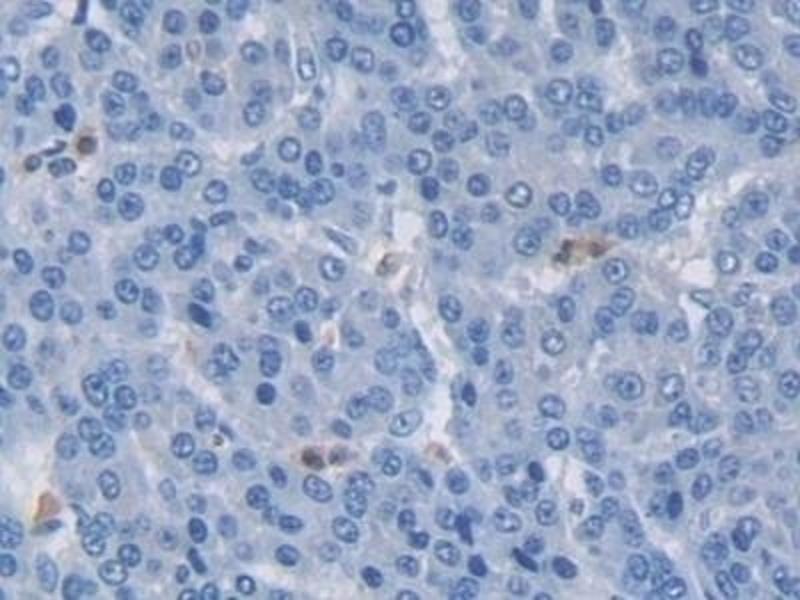
MIB2 antibody (AA 687-930)

This Rabbit Polyclonal antibody specifically detects MIB2 in WB, IHC, IP and ICC. It exhibits reactivity toward Human.
Catalog No. ABIN7439483
$350.18
Plus shipping costs $50.00
Shipping to: United States
Delivery in 13 to 17 Business Days

Quick Overview for MIB2 antibody (AA 687-930) (ABIN7439483)

Target

See all MIB2 Antibodies
MIB2 (E3 ubiquitin-protein ligase MIB2 (MIB2))

Reactivity

  • 20
  • 13
  • 12
Human

Host

  • 23
  • 2
Rabbit

Clonality

  • 23
  • 2
Polyclonal

Conjugate

  • 15
  • 2
  • 1
  • 1
  • 1
  • 1
  • 1
  • 1
  • 1
  • 1
This MIB2 antibody is un-conjugated

Application

  • 13
  • 9
  • 6
  • 3
  • 1
  • 1
  • 1
  • 1
Western Blotting (WB), Immunohistochemistry (IHC), Immunoprecipitation (IP), Immunocytochemistry (ICC)
  • Binding Specificity

    • 4
    • 2
    • 2
    • 1
    • 1
    • 1
    • 1
    • 1
    • 1
    AA 687-930

    Purpose

    Polyclonal Antibody to Mindbomb Homolog 2 (MIB2)

    Specificity

    The antibody is a rabbit polyclonal antibody raised against MIB2. It has been selected for its ability to recognize MIB2 in immunohistochemical staining and western blotting.

    Purification

    Antigen-specific affinity chromatography followed by Protein A affinity chromatography

    Immunogen

    Recombinant Mindbomb Homolog 2 (MIB2) corresdonding to Thr687~Leu930 (Accession # Q96AX9)

    Isotype

    IgG
  • Application Notes

    Western blotting: 0.5-3 μg/mL,Immunohistochemistry: 5-30 μg/mL,Immunocytochemistry: 5-30 μg/mL,Optimal working dilutions must be determined by end user.

    Comment

    The thermal stability is described by the loss rate. The loss rate was determined by accelerated thermal degradation test, that is, incubate the protein at 37°C for 48h, and no obvious degradation and precipitation were observed. The loss rate is less than 5% within the expiration date under appropriate storage condition.

    Restrictions

    For Research Use only
  • Format

    Liquid

    Concentration

    0.5 mg/mL

    Buffer

    PBS, pH 7.4, containing 0.02 % Sodium azide, 50 % glycerol.

    Preservative

    Sodium azide

    Precaution of Use

    This product contains Sodium azide: a POISONOUS AND HAZARDOUS SUBSTANCE which should be handled by trained staff only.

    Storage

    4 °C,-20 °C

    Storage Comment

    Store at 4°C for frequent use. Stored at -20°C in a manual defrost freezer for two year without detectable loss of activity. Avoid repeated freeze-thaw cycles.

    Expiry Date

    24 months
  • Target

    MIB2 (E3 ubiquitin-protein ligase MIB2 (MIB2))

    Alternative Name

    MIB2

    Background

    ZZANK1, SKD, ZZZ5, Skeletrophin, Novelzin, Novel zinc finger protein, Zinc Finger,ZZ Type With Ankyrin Repeat Domain 1, Putative NF-kappa-B-activating protein, Mind bomb 2

    UniProt

    Q96AX9

    Pathways

    Notch Signaling
You are here:
Chat with us!