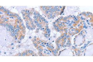
FGF4
Reactivity: Human
IF (cc), IF (p)
Host: Rabbit
Polyclonal
AbBy Fluor® 750
Application Notes
IHC 1:50-1:150
Restrictions
For Research Use only
Format
Liquid
Concentration
0.5 mg/mL
Buffer
PBS with 0.05 % sodium azide and 50 % glycerol, PH7.4
Preservative
Sodium azide
Precaution of Use
This product contains Sodium azide: a POISONOUS AND HAZARDOUS SUBSTANCE which should be handled by trained staff only.
Storage
-20 °C
Storage Comment
Store at -20°C. Avoid freeze / thaw cycles.
Target
FGF4
(Fibroblast Growth Factor 4 (FGF4))
Alternative Name
FGF4
Background
The protein encoded by this gene is a member of the fibroblast growth factor (FGF) family. FGF family members possess broad mitogenic and cell survival activities and are involved in a variety of biological processes including embryonic development, cell growth, morphogenesis, tissue repair, tumor growth and invasion. This gene was identified by its oncogenic transforming activity. This gene and FGF3, another oncogenic growth factor, are located closely on chromosome 11. Co-amplification of both genes was found in various kinds of human tumors. Studies on the mouse homolog suggested a function in bone morphogenesis and limb development through the sonic hedgehog (SHH) signaling pathway.