×
For best experience we recommend to activate Javascript in your browser.
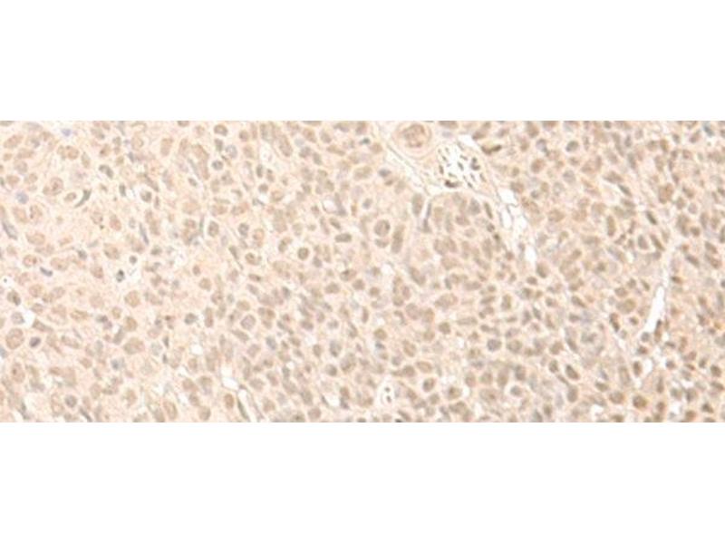
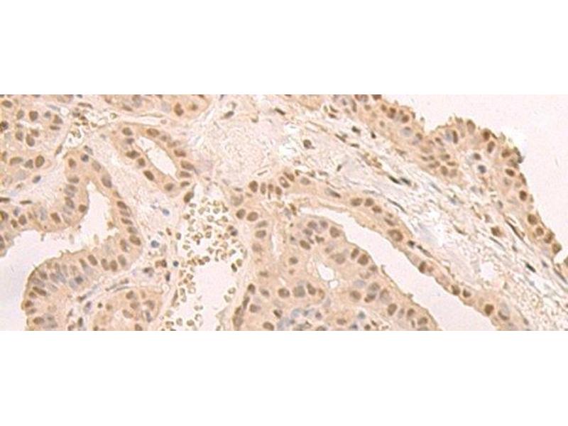
CNOT10 antibody
This Rabbit Polyclonal antibody specifically detects CNOT10 in ELISA and IHC. It exhibits reactivity toward Human, Mouse and Rat.
Catalog No. ABIN7246406
$538.80
Plus shipping costs $50.00
20 μL ABIN7004081
60 μL ABIN7246404
120 μL ABIN7246405
200 μL ABIN7246406
20 μL ABIN7004081
60 μL ABIN7246404
120 μL ABIN7246405
200 μL ABIN7246406
Delivery in 11 to 15 Business Days
Quick Overview for CNOT10 antibody (ABIN7246406)
Target
CNOT10
(CCR4-NOT Transcription Complex, Subunit 10 (CNOT10))
Reactivity
All reactivities for CNOT10 antibodies
Human, Mouse, Rat
Host
All hosts for CNOT10 antibodies
Rabbit
Clonality
All clonalities for CNOT10 antibodies
Polyclonal
Conjugate
All conjugates for CNOT10 antibodies
This CNOT10 antibody is un-conjugated
Application
All applications for CNOT10 antibodies
ELISA, Immunohistochemistry (IHC)
Product Details anti-CNOT10 Antibody
(hide)
Characteristics
Polyclonal Antibody
Purification
Antigen affinity purification
Immunogen
Fusion protein of human CNOT10
Isotype
IgG
Alternatives
(show)
Application Details
(hide)
Application Notes
IHC 1:50-1:300, ELISA 1:5000-1:10000
Restrictions
For Research Use only
Handling
(hide)
Format
Liquid
Concentration
0.9 mg/mL
Buffer
PBS with 0.05 % Sodium azide and 40 % Glycerol, pH 7.4
Preservative
Sodium azide
Precaution of Use
This product contains Sodium azide: a POISONOUS AND HAZARDOUS SUBSTANCE which should be handled by trained staff only.
Storage
-20 °C
Storage Comment
Store at -20°C. Avoid freeze / thaw cycles.
Target Details for CNOT10
(hide)
Target
CNOT10
(CCR4-NOT Transcription Complex, Subunit 10 (CNOT10))
Alternative Name
CNOT10
Background
CNOT10 (CCR4-NOT Transcription Complex Subunit 10) is a Protein Coding gene. Among its related pathways are Gene Expression and TP53 Regulates Transcription of Cell Cycle Genes.
UniProt
Q9H9A5
Recently viewed
(hide)
You are here:
Homepage
anti-CNOT10 antibody (ABIN7246406)
Chat with us , powered by LiveChat